Introdução e objectivos: A isquémia do miocárdio pode ser avaliada através da ressonância magnética de perfusão (RMp). O objetivo do trabalho foi avaliar o uso clínico da RMp no estudo da doença cardíaca isquémica (DCI).
MétodosForam estudados 55 doentes através de RMp, num aparelho de 1,5 T (Siemens Symphony), através da injeção de quelato de gadolínio (0,10 mmol/kg), utilizando uma sequência IR-SSFP. O stress foi induzido pela adenosina (140μg/kg/min durante 4 min). Os resultados foram comparados com os das coronariografias e das cintigrafias de perfusão do miocárdio. A concordância entre as variáveis qualitativas foi a avaliada através do coeficiente kappa. Foi considerada significância estatística a 95%. Efetuou-se um follow-up clínico mínimo de 12 meses.
ResultadosDas 55 ressonâncias magnéticas (RM) efetuadas, em 19 (34,5%) não se detetou isquemia ou necrose do miocárdio, em 17 (30,9%) foi diagnosticada área de necrose sem isquemia, em 7 (12,7%) isquemia isolada e em 12 (21,8%) isquemia em doente com enfarte prévio. A comparação específica em função do território de irrigação coronária entre a RMp e a coronariografia foi muito boa: descendente anterior e coronária direita – k = 0,8571; intervalo 0,59-1, circunflexa – k = 0,8108; intervalo 0,59-1. Não se conseguiu obter qualquer razão de concordância entre as RMp e as cintigrafias realizadas.
ConclusõesNuma população com elevada prevalência de doença coronária, a RMp mostrou ser um exame capaz de diagnosticar doença coronária significativa, através da identificação de isquemia do miocárdio.
Myocardial ischemia can be assessed with cardiac magnetic resonance perfusion imaging (MRPI). This study aimed to analyze the clinical utility of MRPI in the diagnosis of significant coronary artery disease.
MethodsFifty-five patients were examined with a 1.5 T MR scanner (Siemens Symphony), with a first pass of 0.10 mmol/kg gadolinium chelate, at rest and during adenosine vasodilatation (140μg/kg/min for 4min) using an inversion recovery steady-state free precession sequence. The results were compared with coronary angiography and with SPECT myocardial perfusion images. Agreement for qualitative diagnosis was measured by the kappa coefficient, taking statistical significance as 95%. Minimum clinical follow-up was 12 months.
ResultsIn 19 patients (34.5%) MRPI was negative for myocardial ischemia and necrosis, in 17 (30.9%) it was negative for ischemia but positive for necrosis, in 7 (12.7%) only ischemia was present and in 12 (21.8%) the ischemic area was larger than the necrotic area. The correlation between MRPI and coronary angiography for ischemia detection by coronary artery territory was very good: left anterior descending and right coronary – k=0.8571 (0.59-1), circumflex – k=0.8108 (0.59-1). By contrast, there was no correlation in terms of myocardial ischemia detection between MRPI and SPECT.
ConclusionsMRPI is able to diagnose significant coronary disease in a high risk population, by detection of myocardial ischemia.
As primeiras imagens obtidas por ressonância magnética (RM) ao coração com sincronização eletrocardiográfica têm cerca de 30 anos. Inicialmente, a RM era apenas utilizada no estudo cardíaco morfológico e funcional. Desde há cerca de 12 anos que os desenvolvimentos técnicos possibilitaram a avaliação do realce tardio e da perfusão do miocárdio, potenciando o valor da RM no estudo doença cardíaca isquémica (DCI)1.
As características operativas da ressonância magnética de perfusão (RMp) na deteção de estenose coronária significativa foram investigadas, desde então, através de múltiplos trabalhos de comparação com a coronariografia. Os valores de sensibilidade encontrados variam entre 70-93% e de especificidade entre 71-97%2–15.
Atualmente, entre nós, há uma maior divulgação dos exames de RM com estudo do realce tardio do miocárdio, nomeadamente para avaliação da viabilidade do miocárdio16–20, do que dos estudos de perfusão por RM.
A diminuição da perfusão do miocárdio está diretamente relacionada com a isquemia do miocárdio. Na prática clínica, a avaliação imagiológica da perfusão do miocárdio é efetuada essencialmente através métodos cintigráficos, tendo maior divulgação o single photon emission computed tomography (SPECT).
A perfusão do miocárdio em repouso está mantida até o estreitamento do lúmen coronário ser superior a 90%3. Para detetar isquemia através de exames imagiológicos que estudem a perfusão do miocárdio, é necessário exercício físico ou agentes farmacológicos que aumentem as necessidades de oxigénio do miócito. Em RM, o aumento do fluxo sanguíneo nas coronárias é conseguido através de agentes farmacológicos vasodilatadores, como a adenosina.
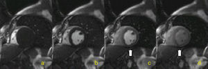
A perfusão do miocárdio é avaliada por RM em sequências ponderadas em T1 com imagens dinâmicas aquando da administração rápida de quelato de gadolínio por via endovenosa (Figura 1).
O objetivo do trabalho foi avaliar os resultados do uso clínico da RMp no estudo da DCI.
MétodosForam incluídos neste estudo 55 doentes consecutivos referenciados para a realização de RMp nos Hospitais da Universidade de Coimbra (HUC) desde janeiro de 2004 até novembro de 2010. A seleção dos pacientes coube aos cardiologistas responsáveis em consultas hospitalares de doença coronária. Na altura da consulta, foram excluídos doentes com contraindicação para a realização de RM (presença de desfibrilhador, pacemaker, implantes cocleares, corpos estranhos, material ferromagnético e claustrofobia incapacitante), com contraindicação para a administração endovenosa de quelato de gadolínio (história de alergia prévia ao gadolínio, insuficiência renal com taxa de filtração glomerular inferior a 30ml/min/1,73 m2) ou com contraindicação para a administração de adenosina (história de broncoespasmo ou asma, hipotensão persistente com pressão sistólica inferior a 90mmHg, angina instável, enfarte do miocárdio (EM) há menos de 2 d, bloqueio auriculoventricular de alto grau, arritmias não controladas, estenose aórtica crítica). De assinalar que, depois da seleção dos doentes para a realização da RMp em consulta, nenhum doente foi excluído.
A RMp foi solicitada com o objetivo de avaliar a presença de doença cardíaca isquémica em casos de suspeita ou nos doentes com doença conhecida para estratificação de risco e/ou avaliação da viabilidade miocárdica. Dos 55 doentes selecionados para a realização da RMp, em 28 (51%) havia antecedentes conhecidos de doença coronária, em 25 (45%) por diagnóstico prévio de EM e em 16 (29%) havia antecedentes de revascularização coronária. De assinalar que três doentes previamente revascularizados não tinham antecedentes de EM. Os restantes 27 doentes (49%), sem antecedentes conhecidos de doença coronária, apresentavam uma probabilidade pré-teste intermédia ou alta de doença coronária. A população foi caracterizada relativamente à idade, data de realização da RM de perfusão, sexo e fatores de risco para a DCI. Foram pesquisados quais os territórios submetidos a revascularização quer ela fosse cirúrgica quer fosse por terapêutica endovascular, para correlação com os resultados da RMp.
Os resultados das RMp foram comparados com as SPECT realizadas nos seis meses prévios e as coronariografias efetuadas nos seis meses seguintes, desde que não tivesse ocorrido qualquer evento coronário durante esses períodos (angina instável ou enfarte). Não foi efetuada comparação com a coronariografia em dois doentes com miocardiopatia hipertrófica.
Foi considerado resultado positivo para isquemia a presença de defeito de perfusão em local diferente ou coincidente com o de necrose, desde que com uma área superior.
Foi avaliada a concordância dos territórios miocárdicos afetados segundo os relatórios das RMp com os registados nas SPECT e coronariografias. Os resultados considerados na comparação entre as técnicas englobaram todos os territórios atingidos, pela isquemia e pela necrose. Na análise comparativa dos resultados da RMp, em relação à coronariografia, foi considerado território da descendente anterior (DA) os segmentos da parede anterior, septal e ápex; território da circunflexa (Cx) os segmentos da parede lateral do ventrículo esquerdo; e território da coronária direita (CD) os segmentos da parede inferior do ventrículo esquerdo21.
As angiografias coronárias foram efetuadas de acordo com a prática corrente no serviço de cardiologia dos Hospitais Universitários de Coimbra, com observação angiográfica em dois planos, tendo sido considerada uma estenose significativa uma redução maior do que 50% do lúmen de uma artéria epicárdica major ou de um dos seus principais ramos (com calibre maior ou igual a 2mm).
Nos estudos de SPECT, as imagens de perfusão miocárdica foram obtidas através de duas injeções em veia periférica de Tecnécio 99m-tetrafosmina – protocolo esforço-repouso. A aquisição tomográfica das imagens, sincronizada com o ecocardiograma, foi realizada cerca de 30 a 45 min após a injeção com utilização de câmara-gama de 2 detetores, equipada com colimador de baixa energia e alta resolução. Através de uma trajetória de 180°, foram adquiridas 32 projeções de 30 s. Na aquisição de imagens foi usada uma matriz de 64 × 64 pixels. Foi feita a análise visual das alterações da perfusão e a quantificação da fração de ejeção ventricular esquerda.
Os exames de RM foram realizados num aparelho Siemens Symphony Maestro Class 1,5 T. Em todos, efetuámos avaliação de duas «passagens» (em stress e em repouso) e pesquisámos o realce tardio do miocárdio. A sequência utilizada para o estudo de perfusão é ponderada em T1, «SSFP» com pulso de inversão (ângulo de báscula de 15°, tempo de inversão de 100 ms, tempo de eco de 1,11ms, tempo de repetição de 182ms; matriz de 78 x 128 pixels), com obtenção de quatro imagens (três no eixo curto cardíaco e um no eixo longo) por batimento cardíaco ou por 2.° batimento cardíaco (dependendo da frequência cardíaca).
A adenosina foi administrada em infusão durante 4 minutos a uma dose de 140μg/kg/min. Os estudos de perfusão foram efetuados após a injeção por via endovenosa de quelato de gadolínio a um fluxo de 4ml/s e a uma dose de 0,10 mmol/kg. Em todos os doentes, avaliámos a função ventricular esquerda.
Foi efetuado um follow-up clínico durante um período médio 33 meses, num mínimo de 12 meses após a realização da RMp, através de consulta do processo clínico hospitalar e/ou por contacto telefónico com o doente ou familiar. Foram pesquisados apenas os eventos major, nomeadamente a existência de novo EM ou de angina instável e/ou a necessidade de revascularização coronária.
Na análise estatística, para as variáveis quantitativas (contínuas), foram determinadas medidas de tendência central (média) e de dispersão (desvio-padrão e intervalo de confiança da média de 95%). As variáveis qualitativas (nominais) foram descritas através da sua frequência de observação (n) e do cálculo da sua frequência relativa (%). A concordância entre as variáveis qualitativas foi a avaliada através do coeficiente kappa. Foi considerada significância estatística a 95%.
ResultadosOs dados demográficos e os fatores de risco referentes à população dos 55 pacientes consecutivos que efetuaram RMp estão descritos na Tabela 1.
Características demográficas e clínicas da população
| Número de doentes | 55 |
| Média de idades (anos) | 57 (± 14) |
| Sexo | |
| Masculino | 47 (86%) |
| Feminino | 8 (14%) |
| Fatores de risco | |
| Hipertensão arterial | 16 (29%) |
| Diabetes Mellitus | 10 (18%) |
| Dislipidemia | 20 (36%) |
| Obesidade | 3 (6%) |
| Tabagismo | |
| Fumadores | 2 (3%) |
| Ex-fumadores | 12 (22%) |
| Revascularização coronária prévia | 16 (29%) |
| Por cateterismo | 8 (14,5%) |
| Por cirurgia | 8 (14,5%) |
Os dados são apresentados sob a forma de média ± desvio padrão ou n (%).
As RM efetuadas nos 55 doentes permitiram efetuar uma análise morfofuncional do ventrículo esquerdo. O volume telediastólico do ventrículo esquerdo (VTVE) médio foi calculado em 189,49 (± 55,44) ml, apresentando-se dilatado em 22 doentes (40% dos casos). A massa miocárdica do ventrículo esquerdo média foi calculada em 170,25 (± 44,27) g, apresentando um valor aumentado em cinco casos (9%) (dois casos de miocardiopatia hipertrófica diagnosticada). A fração de ejeção ventricular esquerda média foi calculada em 59,53 (±14,35) %, estando diminuída em 21 casos (38% dos casos) (ver Tabela 2).
Medições obtidas das RM de perfusão
| Parâmetros | Média | Valor máx. | Valor mín. | VA (↑) | VA (↓) |
| VTVE (ml) | 189,49 (± 55,44) | 402 | 132 | 22 (40%) | - |
| MMVE (g) | 170,25 (± 44,27) | 277 | 85 | 5 (9%) | - |
| FEVE (%) masculino | 59,53 (± 14,35) | 78 | 17 | 0 (0%) | 21 (38%) |
As médias são apresentadas sob as formas descritas ou média ± desvio padrão; os valores anormais (VA) sob a forma n (%).
FEVE: fração de ejeção ventricular esquerda; MMVE: massa miocárdica ventricular esquerda; VTVE: volume telediastólico ventrículo esquerdo.
Foram considerados achados complementares nos exames de RM seis casos de estenose aórtica (10,9%), sete de insuficiência mitral (12,7%), quatro de insuficiência aórtica (7,3%), dois com estenose mitral (3,6%) e um com lesões de miocardite prévia (1,8%).
Das 55 RM efetuadas, em 19 (34,5%) não se detetou isquemia nem necrose do miocárdio (exame negativo); em 17 (30,9%) o defeito de perfusão em stress era coincidente com a área de necrose (exame negativo para isquemia); em sete (12,7%) existia apenas defeito de perfusão em stress (exame positivo para isquemia); e, em 12 (21,8%) o defeito de perfusão em stress apresentava dimensões superiores à área de necrose (exame positivo para isquemia do miocárdio em doente com enfarte prévio) (ver Tabela 3).
Dos 36 doentes com RMp negativo, nenhum apresentou durante o follow-up clínico eventos clínicos major que se pudessem relacionar com doença coronária. Apenas três deles efetuaram coronariografia e em todos foi negativa para lesões coronárias significativas.
Nos 19 doentes RMp positivo, em dois não foi efetuada comparação com o resultado da coronariografia por corresponderem a miocardiopatias hipertróficas e existir uma causa para isquémia para além da presença de doença coronária significativa. Dos restantes 17 doentes, em 11 foi efetuada coronariografia, que detetou lesões coronárias significativas em nove.
Dos seis doentes com RMp positiva para isquémia do miocárdio e que não foram submetidos a coronariografia nos seis meses seguintes, em nenhum ocorreu evento agudo do foro coronário.
Na análise comparativa dos resultados da RMp, verificámos que 14 doentes foram submetidos a coronariografia nos seis meses subsequentes sem que tenha havido cirurgia de revascularização e ou EM entre os exames.
Em dois doentes considerados com RMp positiva para isquemia do miocárdio, o resultado da coronariografia foi considerado negativo. Num deles, embora existisse lesão coronária responsável por área de enfarte também diagnosticada por RM, a lesão não era concordante com o território suspeito de isquemia.
A concordância global entre as técnicas foi boa (k = 0,6585; intervalo de 0,2467-1).
A comparação específica em função do território de irrigação coronária entre as técnicas foi muito boa, em qualquer dos territórios considerados: descendente anterior – k = 0,8571; intervalo 0,59-1, circunflexa – k = 0,8108; intervalo 0,59-1, coronária direita – k = 0,8571; intervalo 0,59-1 (ver Tabela 4).
Comparação dos resultados da RMp e coronariografia global e por território de irrigação coronária (n = 14)
| Coronariografia | ||
| RMp | Positivos | Negativos |
| Positivos | 9 | 2 |
| Negativos | - | 3 |
| Descendente anterior | ||
| Positivos | 7 | 1 |
| Negativos | - | 6 |
| Circunflexa | ||
| Positivos | 3 | - |
| Negativos | 1 | 10 |
| Coronária direita | ||
| Positivos | 7 | 1 |
| Negativos | - | 6 |
Dos 55 doentes que realizaram RMp, 16 tinham efetuado SPECT nos seis meses prévios, sem que tenha havido revascularização nem qualquer evento coronário major entre os exames.
Não se conseguiu obter qualquer razão de concordância entre as RMp e as SPECT realizadas, uma vez que a probabilidade de os resultados entre ambos os exames serem coincidentes foi inferior à probabilidade aleatória (ver Tabela 5).
Apenas dois doentes efetuaram sequencialmente a SPECT, a RMp e a coronariografia, sem que tenham existido eventos coronários major nem revascularização entre os exames. Tratava-se de um paciente com SPECT positiva e RMp negativa, cuja coronariografia não mostrou lesões coronárias e de outro com SPECT negativa, RMp positiva e coronariografia concordante com a RMp.
No follow-up clínico efetuado a todos os doentes incluídos no estudo (n = 55), nenhum que tivesse uma RMp negativa para isquemia do miocárdio (n = 36) apresentou qualquer evento coronário major. No entanto, nos doentes em que a RMp foi positiva e em que não houve registo da realização de nova coronariografia (n = 6) também não se registaram eventos coronários major. Na população estudada registou-se um óbito, por neoplasia maligna.
A adenosina não necessitou de ser suspensa antes dos 4 min previstos no protocolo, em nenhum dos 55 doentes. Todas as reações atribuídas à sua administração (flush, sensação de opressão torácica, tonturas, bloqueio A-V) foram transitórias, tendo terminado logo após a administração.
DiscussãoA acuidade diagnóstica da RMp na deteção de estenose coronária significativa foi investigada através de múltiplos trabalhos de comparação com a coronariografia. A maioria destes estudos foi efetuada em centros únicos e através da realização de RMp em doentes referenciados para angiografia coronária3–15.
Em 2007 Nandalur et al. efetuaram uma meta-análise das características operativas da RM cardíaca de stress. Incluiu 14 estudos de centros únicos na avaliação da RMp no diagnóstico de doença coronária significativa, num total de 1183 doentes e encontrou uma boa especificidade (81%) e uma boa sensibilidade (91%)2.
Wolff conduziu um estudo multicêntrico de aferição da dose de gadolínio a administrar, com 99 doentes que tinham coronariografia agendada, tendo encontrado uma área sob a curva ROC de 0,90±0,04 e bons valores de sensibilidade (93%) e especificidade (75%)9.
O presente estudo foi realizado em doentes consecutivos referenciados por consulta hospitalar de cardiologia, com suspeita ou diagnóstico de doença cardíaca isquémica. A população estudada apresenta uma elevada prevalência de doença coronária, tendo mesmo 16 doentes (29%) já antecedentes de revascularização coronária previamente à RMp.
A elevada prevalência de doença coronária na população estudada relaciona-se seguramente com o elevado número de pacientes que apresentaram volume telediastólico aumentado (n = 22; 40% da população) e que tinham uma função sistólica diminuída (n = 21; 38%).
A RM identificou imagens de realce tardio compatíveis com enfartes prévios em 29 doentes (53%), dos quais em 25 havia antecedentes clínicos conhecidos de prévio enfarte. Avaliámos, pois, as características da RMp numa população com uma elevada prevalência de doença coronária e em que mais de metade dos doentes apresentou imagens compatíveis com enfartes prévios.
As características operativas encontradas na literatura da RMp parecem comparáveis com as da SPECT no diagnóstico de doença coronária significativa. Os valores de sensibilidade e de especificidade no diagnóstico de doença coronária significativa encontrados na literatura variam entre 83-95% e 53-95% para o SPECT e, entre 70-93% e 71-97% para a RMp1,3–15,22.
No entanto, no presente estudo não se conseguiu estabelecer uma razão de concordância nos resultados entre as duas técnicas. Esta ausência de concordância, entre a RMp e a SPECT, deve-se, julgamos, ao viés na seleção de doentes referenciados para RMp e ao reduzido número da amostra. De referir que, por vezes, a RMp foi solicitada por a suspeita clínica não ser concordante com o resultado da SPECT disponível. Dezasseis doentes tinham realizado a SPECT nos 12 meses antes da RMp, tendo nestes casos a RMp sido solicitada por o resultado da SPECT ter suscitado dúvidas ao cardiologista assistente. Na maioria dos doentes em que a SPECT foi positiva e a RMp efetuada posteriormente negativa, a investigação imagiológica terminou com o exame de RMp, não existindo coronariografia como gold standard.
Em apenas dois doentes, efetuaram-se sequencialmente a SPECT, a RMp e a coronariografia, sem que tenham existido eventos coronários major nem revascularização entre os exames. Tomando a coronariografia como gold standard, esses doentes foram um falso positivo e um falso negativo para doença coronária significativa para a SPECT enquanto se revelaram verdadeiros positivo e negativo na RMp.
É conhecida a dificuldade de valorização das imagens de SPECT quando estão afetados vasos de mais do que um território coronário. Neste estudo dos 11 doentes com RMp positiva para isquemia do miocárdio e que efetuaram coronariografia, em sete havia lesões significativas em dois ou nos três territórios. Provavelmente devido à elevada resolução anatómica da RM, a existência de lesões significativas em vasos de diferentes territórios não pareceu ser um problema na identificação dos defeitos de perfusão.
Ao contrário da SPECT, a RMp é isenta de radiação. Esta característica pode ter particular importância nos doentes revascularizados que podem necessitar de múltiplos exames de follow-up.
A RMp tem ainda como vantagens conhecidas relativamente à SPECT a ausência de artefactos de atenuação e uma maior resolução anatómica, possibilitando a visualização de defeitos subendocárdicos, o que pode ter contribuído para a falta de concordância entre estes exames numa população já muito «triada» pelo método cintigráfico.
De salientar que a RM possibilita uma avaliação funcional precisa e, através do realce tardio, identifica com elevada acuidade a presença do tecido miocárdico não viável16–19. Para além da caracterização funcional com cálculo dos volumes telediastólicos e da função sistólica, a RM permitiu identificar outros achados, especialmente valvulopatias (17 doentes), e a análise do realce tardio permitiu uma caracterização morfológica adicional, possibilitando, num caso, a identificação de cicatriz cuja localização era compatível com prévia miopericardite.
A RMp com stress induzido pela adenosina é um método diagnóstico seguro, não tendo havido qualquer complicação importante nos nossos exames.
A boa concordância global obtida entre a RMp e a coronariografia, mesmo no nosso pequeno grupo de doentes, que apresentava uma prevalência de doença coronária tão grande, salienta as qualidades diagnósticas da RMp. A muito boa concordância que obtivemos quando a comparação foi efetuada por território de irrigação coronária foi possível por a resolução espacial da técnica ser elevada.
A RMp, pelas suas características intrínsecas – ausência de radiação, boa resolução espacial, sequências rápidas (permitindo tempos de aquisição com uma duração compatível com uma apneia) e curta duração de execução (cerca de 30 min) com obtenção de um grande volume de informação – aliadas às suas especificidades neste campo de estudo – avaliação morfofuncional, de perfusão e de viabilidade miocárdicas – pode ter um papel cada vez mais importante no diagnóstico e avaliação da DCI16–19.
A principal limitação à maior divulgação da RMp advém da pouca disponibilidade da técnica numa patologia com tantos doentes e em que é necessária uma resposta em tempo útil.
Nesta população com uma elevada prevalência de doença coronária, nenhum doente com RMp negativa para isquemia do miocárdio apresentou lesões na coronariografia quando efetuada ou apresentou qualquer evento major de origem coronária durante o follow-up clínico. No entanto, há que referir que houve um grupo de doentes (n = 6) com a RMp positiva sem registo de coronariografia posterior e também sem registo de eventos major de origem coronária. Assim, nesta amostra de reduzidas dimensões, o valor prognóstico do resultado da RMp dificilmente poderia ser considerado para análise.
A inexistência de coronariografia em todos os doentes impossibilitou o estabelecimento de um gold standard, o que foi uma das principais limitações sentidas na realização deste trabalho. O reduzido número da amostra e o reduzido número de SPECT disponíveis para comparação também foram limitantes para uma adequada validação da técnica através deste estudo.
ConclusãoNuma população com elevada prevalência de doença coronária, a RMp mostrou ser um exame capaz de diagnosticar doença coronária significativa, através da identificação de isquemia do miocárdio.
Responsabilidades éticasProteção de pessoas e animaisOs autores declaram que para esta investigação não se realizaram experiências em seres humanos e/ou animais.
Confidencialidade dos dadosOs autores declaram ter seguido os protocolos de seu centro de trabalho acerca da publicação dos dados de pacientes e que todos os pacientes incluídos no estudo receberam informações suficientes e deram o seu consentimento informado por escrito para participar nesse estudo.
Direito à privacidade e consentimento escritoOs autores declaram que não aparecem dados de pacientes neste artigo.
Conflito de interessesOs autores declaram não haver conflito de interesses.










