O pseudoaneunisma da aorta ascendente é uma complicação rara da cirurgia cardíaca. A sua elevada mortalidade torna importante o seu diagnóstico atempado e intervenção precoce.
Os autores apresentam o caso de uma doente do sexo feminino, submetida a valvuloplastia mitral 12 dias antes, internada com o diagnóstico de fibrilhação auricular com resposta ventricular rápida.
O ecocardiograma transtorácico inicial mostrou imagem sugestiva de trombo na aurícula direita, iniciou‐se anticoagulação, seguida de terapêutica antibiótica.
Investigação adicional com recurso a TC de tórax com contraste endovenoso permitiu concluir que se tratava de um pseudoaneurisma da aorta ascendente, pelo que a doente foi submetida a correção cirúrgica do mesmo, seguida de seis semanas de terapêutica antibiótica dirigida.
A doente foi reinternada seis meses depois por abcesso na porção inferior do externo e mediastino. Após falha da terapêutica conservadora, com antibiótico e drenagem local, com agravamento clínico da doente, documentou‐se reaparecimento de pseudoaneurisma de grandes dimensões com compressão da veia cava superior. Foi então submetida a terceira intervenção cirúrgica com desbridamento do tecido infetado e implantação de homoenxerto aórtico. O pós‐operatório decorreu sem intercorrências.
Pseudoaneurysms of the ascending aorta are a rare complication of cardiac surgery. However, the poor prognosis associated with this condition if untreated makes early diagnosis and treatment important.
We present the case of a 66‐year‐old woman who had undergone mitral valvuloplasty 12 days previously, who was admitted with a diagnosis of new‐onset atrial fibrillation.
The transthoracic echocardiogram showed a clot in the right atrium and anticoagulation was initiated, followed by antibiotic therapy.
After further investigation, the patient was diagnosed with a pseudoaneurysm of the ascending aorta and underwent surgical repair, followed by six weeks of antibiotic therapy.
She was readmitted six months later for an abscess of the lower sternum and mediastinum. After a conservative approach with antibiotics and local drainage failed, recurrence of a large pseudoaneurysm compressing the superior vena cava was documented. A third operation was performed to debride the infected tissue and to place an aortic allograft. There were no postoperative complications.
Os pseudoaneurismas da aorta ascendente são uma complicação rara da cirurgia cardíaca. A gravidade desta patologia é demonstrada não só pelas suas consequências potencialmente fatais, mas também pela complexidade e pelo elevado número de complicações do seu tratamento cirúrgico1.
Os autores apresentam um caso que ilustra o desafio diagnóstico desta doença na ausência de sintomas típicos e após uma cirurgia raramente associada a esta complicação.
Caso clínicoDoente de 66 anos, sexo feminino, que recorre ao hospital por quadro de tonturas, taquicardia e hipotensão de início súbito. A doente tinha história de regurgitação mitral grave e insuficiência cardíaca congestiva, tendo sido submetida a valvulopastia mitral com anuloplastia com anel rígido, com encerramento do pericárdio, 12 dias antes do internamento. O pós‐operatório imediato decorreu sem complicações com exceção de episódio autolimitado de fibrilhação auricular com resposta ventricular rápida, pelo que a doente teve alta ao sétimo dias após a cirurgia sob anticoagulação oral (iniciada dois dias após a cirurgia). Ecocardiograma transtorácico após cirurgia e radiografia de tórax à data da alta não apresentavam alterações.
No serviço de urgência foi diagnosticada fibrilhação auricular com resposta ventricular rápida (120bpm). A doente manteve‐se assintomática, foi medicada com amiodarona endovenosa com conversão a flutter auricular com resposta ventricular de 105bpm.
O ecocardiograma transtorácico (Figura 1) excluiu disfunção do anel mitral ou insuficiência mitral residual, com boa função sistólica global e imagem hiperecogénica (interpretada como trombo) no teto da aurícula direita, com 3,3x2cm.
Iniciou‐se terapêutica com enoxaparina (60mg, duas vezes ao dia) e titulou‐se a dose de acenocumarol para atingir INR entre 2‐3 (INR encontrava‐se infraterapêutico à data do internamento).
Doze dias depois a doente desenvolveu febre, acompanhada de elevação dos parâmetros inflamatórios, após investigação etiológica foi medicada com piperacilina‐tazobactam, assumindo‐se o diagnóstico presuntivo de mediastinite.
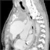
Ecocardiogramas transtorácicos seriados mantiveram‐se sobreponíveis pelo que foi realizada tomografia computorizada (TC) torácica que revelou pseudoaneurisma (4,5x4,5x8cm) face anterior da aorta ascendente, provavelmente com origem no local de canulação prévia (Figura 2).
A doente foi então submetida a cirurgia para terapêutica do pseudoaneurisma. Na cirurgia instituiu‐se circulação extracorporal através dos vasos femorais e arrefecimento a 16°C, seguindo‐se reesternotomia mediana. Identificou‐se deiscência da sutura no local da anterior canulação aórtica, contida pelo pericárdio e parede posterior do esterno, provavelmente com processo infecioso local. Sob paragem circulatória, foi realizada resseção do pseudoaneurisma e encerramento da aorta com enxerto de pericárdio heterólogo.
O pós‐operatório decorreu novamente sem intercorrências, com suspensão do suporte inotrópico e extubação cerca de 12 horas após a cirurgia.
A avaliação microbiológica do pseudoaneurisma permitiu isolamento de Pseudomonas aeruginosa (P. aeruginosa). Todas a hemoculturas, realizadas antes e depois da cirurgia, foram negativas. Após a cirurgia foi implementada terapêutica antibiótica endovenosa dirigida durante seis semanas, após as quais a doente teve alta clinicamente bem e sem alterações radiológicas ou ecocardiográficas.
A doente manteve‐se assintomática até cerca de seis meses após a segunda cirurgia, altura em que é novamente internada por osteomilite com abcesso no terço inferior do externo. TC de tórax com contraste endovenoso revelou coleção heterogénea localizada no espaço pré‐vascular, de aspeto inflamatório, estendendo‐se pela parede anterior do tórax, onde se identifica outra coleção na vertente anterior do corpo do esterno. Levantou ainda a suspeita de recorrência do pseudoaneurisma, ainda com dimensões reduzidas.
A punção da coleção permitiu novo isolamento de P. aeruginosa, iniciando‐se terapêutica antibiótica dirigida com gentamicina e piperacilina/tazobactam.
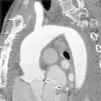
Uma vez que a cintigrafia com marcação de leucócitos sugeria que o processo infecioso se limitava ao 1/3 distal do corpo do esterno, foi tentado tratamento conservador com antibioticoterapia e drenagem. A doente desenvolveu síndrome da veia cava superior pelo que repetiu angioTC revelou «pseudoaneurisma gigante, em rotura contida e fazendo corpo com o esterno» (Figura 3).
A doente foi então submetida a uma terceira cirurgia, é novamente instituída circulação extracorporal através dos vasos femorais seguida de hipotermia. Dada a impossibilidade de proceder à esternotomia sem rutura do aneurisma, quando esta ocorre, localizou‐se a solução de continuidade na aorta e introduziu‐se uma algália (calibre 24) que, orientada para a aorta descendente, funcionou como endoclamp aórtico e permitiu estabilizar a circulação da doente. De seguida, para garantir perfusão cerebral contínua, foram colocadas duas cânulas nos ostia do tronco arterial braquiocefálico e da carótida esquerda. Intraoperatoriamente verifica‐se que o pseudoaneurisma se encontrava já em rotura, com o sangue contido pelas aderências resultantes das duas intervenções anteriores. As estruturas cardíacas eram de difícil acesso por estarem emblobadas por carapaças fibrosas composta pelas aderências e hematomas organizados. Procedeu‐se a desbridamento do tecido infetado e lavagem de toda a área, incluindo alargamento do orifício aórtico infetado. Desta vez procedeu‐se ao encerramento da aorta com recurso a homoenxerto sobre a aorta nativa.
A doente manteve‐se bem durante o pós‐operatório, necessitando de suporte ventilatório durante três dias. Após cirurgia, foi realizado novo ciclo de seis semanas de antibioticoterapia dirigida, com franca regressão dos parâmetros inflamatórios. TC de tórax com contraste endovenoso (não realizada ressonância magnética por dificuldades técnica, dados os artefactos resultantes dos fios de sutura) após estas seis semanas mostrou uma aorta ascendente dilatada (47x49mm), mas sem evidência de soluções de continuidade ou pseudoaneurismas (Figura 4).
A doente mantém‐se sob seguimento médico, com intenção de reavaliação aórtica em seis meses e seguimento imagiológico anual desde então.
DiscussãoFalsos aneurismas ou pseudoaneurismas da aorta são o resultado da rutura de pelo menos uma camada da parede aórtica, rodeada e contida pelas restantes paredes da aorta e estruturas mediastínicas adjacentes2. Embora se trate de uma complicação rara após manipulação cirúrgica da aorta, estimando‐se que ocorram em menos que 0,5% das cirurgias cardíacas, constituem uma importante causa de morte, tendo sido reportadas como responsáveis por 3% das mortes tardias numa série de 1000 cirurgias de revascularização coronária por bypass (CABG) consecutivas3.
Os pseudoaneurismas da aorta ascendente ocorrem normalmente em locais de disrupção da parede da aorta, como o local de aortotomia (na cirurgia de substituição da válvula aórtica), no local da anastomose proximal do enxerto venoso na cirurgia de revascularização coronária, no local de injeção com agulha (usado para medição de pressão ou administração de soluções cardioplégicas) e, como no caso reportado acima, no local de canulação da aorta para instituir circulação extracorporal3.
Consequentemente, esta complicação foi descrita predominantemente após CABG, cirurgia da válvula aórtica ou cirurgias envolvendo a aorta ascendente (para correção de dissecção tipo A, por exemplo)1,3. Embora o local de canulação aórtica para indução de circulação extracorporal tenha sido, inicialmente, reportado como o local mais comum de aparecimento dos pseudoaneurismas3, nas séries mais recentes, a cirurgia aórtica, com utilização de condutos, parece ser a cirurgia mais frequentemente complicada por esta patologia2,4. Assim, o seu aparecimento após cirurgia mitral constitui uma raridade.
Estão descritas múltiplas formas de apresentação clínica para esta patologia, uma percentagem significativa (53%) de doentes pode ser assintomática, tal como o inicialmente descrito para esta doente2,4. Com o aumento das dimensões do pseudoaneurisma podem desenvolver‐se sintomas, predominantemente por compressão das estruturas adjacentes, incluindo dor torácica, dispneia, síndrome da veia cava superior, síndrome coronária aguda ou quadros de baixo débito semelhantes a tamponamento (por compressão do ventrículo direito). Esta patologia pode ainda manifestar‐se como massa torácica pulsátil ou por embolização periférica, insuficiência aórtica, mediastinite ou sépsis1,2,4.
Embora a etiologia desta complicação não esteja inteiramente esclarecida, os fatores predisponentes descritos incluem cirurgia por disseção da aorta nativa, alterações degenerativas da aorta, canulação aórtica, deficiências na técnica anastomótica, hipertensão pré‐operatória e presença de infeção (manifestando‐se quer como febre pós‐operatória sem foco identificável, mediastinite ou por infeção da ferida operatória)1,2,4,5. A maioria dos autores descreve a presença de infeção concomitante como o principal fator etiológico1–3, a presença de leak no local da anterior canulação tem também grande importância sendo o principal fator etiológico numa dessas séries consultadas4. O caso apresentado acima ilustra ambos os mecanismos, no primeiro internamento o leak do local de canulação parece ter tido um papel predominante. A recorrência do pseudoaneurisma esteve, muito provavelmente, associada à presença de infeção que se manteve mesmo após a tentativa terapêutica inicial e foi responsável pelo progressivo agravamento do quadro clínico.
Como foi referido acima, a presença de infeção foi muito frequentemente associada a esta patologia; numa revisão, encontrava‐se presente ou suspeita em 18 de 31 casos de pseudoaneurisma da aorta ascendente2. Diversos microrganismos foram implicados, incluindo P. aeruginosa. Há ainda casos descritos em que, tal como no nosso caso, foi possível isolar o agente bacteriano no coágulo retirado do pseudoaneurisma coexistindo hemoculturas sempre negativas1.
No que diz respeito ao diagnóstico, este caso ilustra a importância de multimodalidade na imagem cardíaca, o uso da TC foi vital, permitindo estabelecer o diagnóstico, caracterizar o pseudoaneurisma e estabelecer o seu ponto de origem. A TC e a aortografia são consideradas as melhores técnicas imagiológicas para esta patologia, permitindo estabelecer o diagnóstico e caracterizar o pseudoaneurisma antes da cirurgia, possibilitando um melhor planeamento cirúrgico2.
Foram realizados avanços no tratamento desta doença, nomeadamente o desenvolvimento da terapêutica endovascular, mas a utilidade desta técnica é ainda limitada pela anatomia e a sua utilização restrita a pequenos falsos aneurismas não infetados5. Assim, a terapêutica cirúrgica, com bypass cardiopulmonar através dos vasos femorais (tal descrito neste caso), ou a combinação entre a artéria subclávia e as veias femorais, seguida de hipotermia, com baixo débito ou paragem cardíaca, antes da esternotomia, é ainda considerada a melhor abordagem na maioria dos casos2,4–6.
A resolução cirúrgica desta patologia deve ser realizada com recurso a conduto, de homoenxerto ou Dacron, é a resolução cirúrgica mais frequente nas séries consultadas, utilizada em 70% das casos e a recomendada pelo respetivos autores1,2,4. Esta estratégia é particularmente vantajosa nos pseudoneurismas de grandes dimensões ou associados a infeção. A reparação local com recurso a patch de pericárdio pode ser realizada em defeitos de menores dimensões, com infeção localizada e após cuidadoso desbridamento da infeção, no entanto, esta técnica associa‐se a um maior risco de recidiva, sobretudo em casos de pseudoaneurismas infetados, como fica ilustrado no caso clínico apresentado acima1,2,4. Independentemente da estratégia cirúrgica escolhida, esta deve ser seguida de seis semanas de terapêutica antibiótica sistémica, devendo esta ser mais prolongada nos casos de reparação sem recurso a conduto1,2.
A maioria dos trabalhos publicados sobre esta patologia são casos clínicos ou pequenas séries, sendo a mortalidade associada a terapêutica cirúrgica difícil de estimar, enquanto algumas séries mais antigas reportam valores de mortalidade hospitalar entre 14,2‐46%3,5, séries mais recentes estimam a mortalidade intra‐hospitalar por esta patologias nos 6,7 e os 6,9%2,4. Pseudoaneurismas com mais de 55mm de diâmetro, cirurgia de emergência e a presença de sépsis durante a cirurgia foram ligados a piores resultados5,6. Após a alta hospitalar, a sobrevivência após um ano está acima dos 90% e a ausência de reoperação acima dos 70% aos 5 e 10 anos2,4.
Com o intuito de detetar precocemente esta complicação, permitindo assim a sua resolução cirúrgica em condições ótimas e um melhor prognóstico, alguns autores advogam o seguimento anual dos doentes após cirurgia aórtica com TC de tórax com contraste anual2.
Em conclusão, pseudoaneurismas da aorta ascendente são uma complicação rara mas grave da cirurgia cardiotorácica, associados a elevada mortalidade. Um diagnóstico atempado, com técnicas imagiológicas apropriadas, que permita tratamento cirúrgico fora de situações de emergência e em condições otimizadas é importante no prognóstico destes doentes.
Responsabilidades éticasProteção de pessoas e animaisOs autores declaram que para esta investigação não se realizaram experiências em seres humanos e/ou animais.
Confidencialidade dos dadosOs autores declaram ter seguido os protocolos de seu centro de trabalho acerca da publicação dos dados de pacientes e que todos os pacientes incluídos no estudo receberam informações suficientes e deram o seu consentimento informado por escrito para participar nesse estudo.
Direito à privacidade e consentimento escritoOs autores declaram ter recebido consentimento escrito dos pacientes e/ ou sujeitos mencionados no artigo. O autor para correspondência deve estar na posse deste documento.
Conflito de interessesOs autores declaram não haver conflito de interesses.








