The authors present a case report of successful treatment of pulmonary artery perforation by endovascular stent graft implantation.
Os autores descrevem um caso de sucesso do tratamento da rotura da artéria pulmonar com a implantação de um stent endovascular.
Pulmonary artery catheterization is a useful tool for the diagnosis and management of cardiovascular and pulmonary disease.1,2 A rupture in a branch of the pulmonary artery is a very rare complication of right heart catheterization using a Swan-Ganz catheter; however, it does have a high mortality rate due to immediate and delayed bleeding following pseudoaneurysm formation.3
Case reportA 79-year-old woman with a medical history of atrial fibrillation and rheumatic mitral valve disease underwent closed mitral commissurotomy in 1972. In 2014, the patient had New York Heart Association class III symptoms and moderate mitral stenosis, with a valve area of 1.4 cm2 by planimetry, and moderate pulmonary hypertension. In order to better assess the pulmonary hypertension, and as part of a planned mitral surgery, elective right heart catheterization via the right femoral vein was performed using a 7F Swan-Ganz pulmonary artery catheter. The patient was under anticoagulation (warfarin) and the procedure was performed with bridging therapy (INR of 1.56 on the day of the procedure).
During catheterization, after inflation of the balloon tip of the pulmonary artery catheter in the wedge position, she suddenly developed massive hemoptysis and became hypoxic. She was sedated and given aminocaproic acid and vitamin K. The acute bleeding was stopped and the patient was admitted to the coronary care unit. Intubation or mechanical ventilation were not necessary.
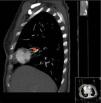
A contrast-enhanced computed tomography scan of the chest showed a pulmonary artery pseudoaneurysm with a maximum diameter of 45 mm at the right middle lobe, which was enhanced by contrast (Figure 1A and B). Pulmonary angiography confirmed the diagnosis (Figure 2A). After consultations with the respiratory medicine and interventional radiology departments, a percutaneous stent graft implantation was planned, in which a 6F multipurpose guiding catheter (Cordis) was placed and a PT2TM guide wire was positioned distal to the aneurysm. Under angiographic control a 3.5 mm×18 mm stent (BeGraft Peripheral Stent Graft System, Bentley Innomed) was placed in the pulmonary artery. This procedure was successful and there were no complications (Figures 2B and C).
Pulmonary angiogram confirming the presence and location of the pulmonary artery pseudoaneurysm (arrow), showing its extent: (A) anteroposterior view, with stent graft implantation (arrow) to treat the pseudoaneurysm; (B) anteroposterior view, showing an excellent result with unrestricted blood flow into the periphery when the bleeding had stopped (arrow); (C) anteroposterior view.
During hospitalization, the patient was hemodynamically stable and had no further hemoptysis. She was discharged 16 days after admission, treated with aspirin 100 mg/day, clopidogrel 75 mg/day, warfarin 5 mg (dose set by the hematology department), furosemide 40 mg/day and pantoprazole 20 mg/day. A follow-up chest computed tomography scan performed two months later showed patency of the stent graft in the pulmonary artery, with a completely thrombotic false aneurysm (Figure 3). At seven months of follow-up, no events were recorded.
DiscussionIatrogenic perforation of a pulmonary artery, followed by pseudoaneurysm formation within minutes or even months, is an uncommon but often catastrophic complication in cases of rupture.3–6 The reported incidence is between 0.01% and 0.47%, with a mortality rate of 50%–75%.1 A pseudoaneurysm contributes to recurrent hemorrhage in 30–40%.6
Risk factors for pulmonary artery rupture include female gender, age over 60 years, pulmonary hypertension, systemic anticoagulation therapy, long-term steroid use, inappropriate catheter placement, peripheral location of the pulmonary artery catheter, surgically induced hypothermia and cardiac manipulation during surgery.5,7 Our patient had at least three risk factors; the question of inappropriate positioning of the catheter is difficult to assess.
Damage to the arterial wall may be due to the catheter tip being advanced too distally, distal migration of the catheter during balloon deflation, retraction of an inflated balloon, or high-pressure inflation of the balloon in excess of the tensile strength of the vessel wall.6,8,9
Preventive measures to reduce the risk of catheter-induced injury during catheter placement are essential, and include inflating the balloon in a large proximal artery; floating the catheter to its wedge position; minimizing the time in wedge position; avoiding excessive catheter manipulation or balloon hyperinflation; inflation of the catheter balloon with air, not fluids; and deflating the balloon while traction is applied on the catheter.7,8
Catheter-induced injury often affects elderly women and occurs mainly on the right side.8,9 Hemoptysis is the hallmark symptom.8 Clinical presentation may also include hypoxemia, hypotension, bronchospasm, pleural effusion, pneumothorax and hemothorax; however, the patient may remain asymptomatic.4,5,8 Death usually occurs secondary to asphyxia.1
Primary management of this injury focuses on the prevention of asphyxia.1 A high level of suspicion, prompt diagnosis and appropriate treatment are essential to avoid mortality. Differential diagnosis includes pulmonary edema, pulmonary infarction, and trauma of the tracheobronchial tree.8
Initial measures include provision of adequate oxygenation and minimization of coughing, airway suctioning, and straining; in certain cases lung isolation with selective bronchial intubation may be necessary.1,8 Before the development of percutaneous endovascular techniques, pulmonary artery pseudoaneurysm would have been treated invasively by surgical lobectomy.3 Currently, coil embolization is commonly used as the first-choice treatment, with success in 75% of cases.4 Embolization also may be performed with n-butyl-cyanoacrylate.6 A successful case was reported using direct injection of thrombin through the distal port of the Swan-Ganz catheter during right heart catheterization.10 Stent graft implantation has been described in two previous case reports.7,8
ConclusionAlthough the incidence of pulmonary artery perforation by the Swan-Ganz catheter is low, the high potential for rapid mortality makes it essential to be familiar with diagnosis and treatment. Coil embolization is commonly used as the first-choice treatment of pulmonary artery rupture and pseudoaneurysm. This case supports stent graft implantation as an alternative interventional approach for the management of a pulmonary pseudoaneurysm.
Ethical disclosuresProtection of human and animal subjectsThe authors declare that no experiments were performed on humans or animals for this study.
Confidentiality of dataThe authors declare that they have followed the protocols of their work center on the publication of patient data.
Right to privacy and informed consentThe authors declare that no patient data appear in this article.
Conflicts of interestThe authors have no conflicts of interest to declare.







