Suggestions
Share
Journal Information
Vol. 32. Issue 3.
Pages 243-246 (March 2013)
Visits
9284
Vol. 32. Issue 3.
Pages 243-246 (March 2013)
Case report
Open Access
Ischemic rupture of the anterolateral papillary muscle
Rutura isquémica do músculo papilar ântero-lateral
Visits
9284
Catarina Vieiraa,
Corresponding author
cfvieira1982@hotmail.com

Corresponding author.
, António Gaspara, Miguel Álvares Pereiraa, Nuno Saloméa, Jorge Almeidab, Mário Jorge Amorimb
a Department of Cardiology, Hospital de Braga, Braga, Portugal
b Department of Cardiothoracic Surgery, Hospital de São João, Oporto, Portugal
This item has received

Under a Creative Commons license
Article information
Abstract
Full Text
Bibliography
Download PDF
Statistics
Figures (4)
Show moreShow less
Additional material (3)
Abstract

We describe the case of a 59-year-old man who presented with chest pain and ST-segment elevation in the inferior leads, R>S in V1 and ST depression in the anterior leads due to proximal occlusion of the first obtuse marginal. Primary coronary angioplasty and stenting of this artery were performed. Twelve hours later the patient became hemodynamically unstable and severe mitral regurgitation due to rupture of one of the heads of the anterolateral papillary muscle was diagnosed. Emergency surgery was performed (papillary muscle head reimplantation, mitral annuloplasty with a rigid ring, tricuspid annuloplasty and coronary artery bypass grafting). On surgical inspection, it was observed that the detached muscle head had become trapped in the left ventricle by a secondary cord attached to the other head.

This case is unusual in presenting two uncommon features of ischemic papillary muscle: rupture of the anterolateral muscle in myocardial infarction involving the inferoposterior walls, and the fact that the ruptured muscle head did not prolapse because it had become trapped in the left ventricle by secondary cord attachment.

Keywords:
Papillary muscle
Rupture
Surgical reimplantation
Echocardiography
Resumo

Apresentamos um caso de um homem, de 59 anos de idade, admitido no Serviço de Urgência por dor torácica e elevação ST nas derivações inferiores, r > s em V1 e depressão ST nas derivações precordiais, devido a oclusão da primeira obtusa marginal. Foi realizada angioplastia primária dessa lesão com implantação de stent revestido. Doze horas depois, o doente desenvolve instabilidade hemodinâmica, tendo sido diagnosticada uma insuficiência mitral grave por rutura de uma das cabeças do músculo papilar ântero-lateral. O doente foi submetido a cirurgia emergente (reimplantação do músculo papilar ântero-lateral, anuloplastia mitral com anel rígido, anuloplastia tricúspide e revascularização miocárdica). A inspeção cirúrgica revelou que a cabeça muscular rompida se mantinha presa ao ventrículo esquerdo por uma corda secundária que a ligava à outra cabeça do músculo papilar ântero-lateral.

Este caso tem a particularidade de apresentar 2 características incomuns da isquemia do músculo papilar: rutura do músculo ântero-lateral num enfarte póstero-inferior e o facto de a cabeça de músculo não prolapsar para a aurícula esquerda, por se encontrar presa ao ventrículo esquerdo por uma corda secundária.

Palavras-chave:
Músculo papilar
Rutura
Reimplantação cirúrgica
Ecocardiograma
Full Text
Introduction

Papillary muscle rupture is an infrequent but often catastrophic mechanical complication of acute myocardial infarction (MI) accounting for approximately 5% of early deaths.1 The condition may result in acute mitral regurgitation, acute pulmonary edema, and/or cardiogenic shock.2 Despite high operative mortality, surgery is indicated as survival of medically treated patients is very low.3

We report an uncommon presentation of an anterolateral papillary muscle rupture successfully repaired by surgical reimplantation of one of the papillary muscle heads.

Case report

A 59-year-old man was admitted to the emergency room with acute chest pain. The 12-lead ECG (Figure 1) showed ST elevation in the inferior leads, R>S in V1 and ST depression in the anterior leads. The patient was hemodynamically stable and cardiac and pulmonary auscultations were normal.

Figure 1.

Electrocardiogram on admission demonstrating slight ST-segment elevation in the inferior leads, R>S in V1 and ST-segment depression in the anterior leads.

Coronary angiography showed obstruction of the proximal segment of the first obtuse marginal and significant stenosis (80%) of the proximal segment of the anterior descending artery. Primary coronary angioplasty of the first obtuse marginal and implantation of a drug-eluting stent were performed. Twelve hours later the patient suddenly became hypotensive and tachycardic. Physical examination revealed a new 3/6 holosystolic murmur at the apex and significant bilateral rales. Transthoracic echocardiography showed severe mitral regurgitation due to posterior mitral leaflet prolapse and an image of a mass in the left ventricle, which did not prolapse totally into the left atrium during systole, suggestive of an anterolateral papillary muscle head. Left ventricular size and function were relatively normal but the posterior and inferior walls were hypokinetic. Moderate tricuspid regurgitation was noticed and pulmonary artery systolic pressure was estimated at 60 mmHg.

The patient became oliguric, with deterioration of renal function, and so an intra-aortic balloon was placed and he was transferred to a cardiothoracic department for emergency surgery.

Intraoperative 2D/3D transesophageal echocardiography confirmed rupture of one of the heads of the anterolateral papillary muscle, leading to extensive prolapse of the P1 and P2 segments and causing severe mitral regurgitation (Figures 2 and 3A and B; videos 1, 2 and 3). On surgical inspection, it was observed that the detached muscle head (Figure 4) had become trapped in the left ventricle by a secondary cord attached to the other head. Papillary muscle head reimplantation, mitral annuloplasty with a rigid ring, tricuspid annuloplasty with a Sovering ring and double coronary artery bypass grafting (CABG) (left internal mammary artery to first obtuse marginal and right internal thoracic artery to anterior descending artery) were performed.

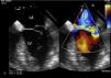
Figure 2.

Two-dimensional transesophageal echocardiogram showing severe mitral regurgitation caused by posterior leaflet prolapse. LA: left atrium; LV: left ventricle.

Figure 3.

Three-dimensional transesophageal echocardiography. (A) Full volume cropped image showing the detached head of the anterior papillary muscle inside the LV (arrow) causing severe prolapse of the posterior leaflet; (B) 3D Zoom of the mitral valve showing prolapse of the P1 and P2 segments. LA: left atrium; LV: left ventricle; Ao: aortic valve; LAA: left atrial appendage.

Figure 4.

Intraoperative view showing the forceps holding the detached muscle head. The two primary cords connecting the muscle head to the edge of the posterior leaflet are clearly seen.

The postoperative period was complicated by nosocomial pneumonia but the patient recovered fully and was discharged home on the 18th day. Transthoracic echocardiography performed 15 days after surgery showed preserved global left ventricular function and mild mitral regurgitation.

Discussion

The posteromedial papillary muscle is supplied with blood from the posterior descending artery, while the anterolateral papillary muscle has a dual blood supply, from the left anterior descending and left circumflex arteries.4–6 This difference in blood supply explains why rupture of the posteromedial papillary muscle is 6–12 times more common. On the other hand, rupture of the anterolateral papillary muscle is usually associated with anterolateral MI, rarely occurring in the context of inferior MI, as happened in the case presented.7

Transthoracic echocardiography is useful in the diagnosis of papillary muscle rupture, with a sensitivity of 65–85%.8 A flail segment of the mitral valve and a severed papillary muscle or chorda can frequently be seen moving freely within the left ventricular cavity. However, in some cases, transthoracic echocardiography is not informative and transesophageal echocardiography is required to establish the diagnosis; this is most likely to occur when the ruptured head does not prolapse into the left atrium, as was observed in our patient, a feature reported in up to 35% of cases.9

Emergency surgical intervention remains the treatment of choice for papillary muscle rupture. Surgery involves significant operative mortality (18%), but there are recent trends for lower operative risk, particularly with associated CABG (8.7%).10 Long-term outcome after surgery is the same as that of similar MI without papillary muscle rupture.10 These encouraging observations emphasize the importance of prompt diagnosis and an aggressive therapeutic approach for patients suffering papillary muscle rupture after MI.

This case is unusual in presenting two uncommon features of ischemic papillary muscle: rupture of the anterolateral muscle in MI involving the inferoposterior walls, and the fact that the ruptured muscle head did not prolapse because it had become trapped in the left ventricle by a cord attachment.

Ethical disclosuresProtection of human and animal subjects

The authors declare that no experiments were performed on humans or animals for this study.

Confidentiality of data

The authors declare that they have followed the protocols of their work center on the publication of patient data and that all the patients included in the study received sufficient information and gave their written informed consent to participate in the study.

Right to privacy and informed consent

The authors have obtained the written informed consent of the patients or subjects mentioned in the article. The corresponding author is in possession of this document.

Conflicts of interest

The authors have no conflicts of interest to declare.

Appendix A
Supplementary data

(5.03MB)
(1.35MB)
(3.08MB)

References
[1]
R.A. Nishimura, H.V. Schaff, C. Shub, B.J. Gersh, W.D. Edwards, A.J. Tajik.
Papillary muscle rupture complicating acute myocardial infarction: analysis of 17 patients.
Am J Cardiol, 51 (1983), pp. 373-377
[2]
R.J. Sanders, K.T. Neubuerger, A. Ravin.
Rupture of papillary muscles: occurrence of rupture of the posterior muscle in posterior myocardial infarction.
Dis Chest, 31 (1957), pp. 316-323
[3]
Y. Kishon, J.K. Oh, H.V. Schaff, C.J. Mullany, A.J. Tajik, B.J. Gersh.
Mitral valve operation in postinfarction rupture of a papillary muscle: immediate results and long-term follow-up of 22 patients.
Mayo Clin Proc, 67 (1992), pp. 1023
[4]
G.S. Reeder.
Identification and treatment of complications of myocardial infarction.
Mayo Clin Proc, 70 (1995), pp. 880
[5]
C.J. Lavie, B.J. Gersh.
Mechanical and electrical complications of acute myocardial infarction.
Mayo Clin Proc, 65 (1990), pp. 709
[6]
T.N. James.
Anatomy of the coronary arteries in health and disease.
Circulation, 32 (1965), pp. 1020
[7]
P. Voci, F. Bilotta, Q. Caretta, C. Mercanti, B. Marino.
Papillary muscle perfusion pattern. A hypothesis for ischemic papillary muscle dysfunction.
Circulation, 91 (1995), pp. 1714-1718
[8]
A. Czarnecki, A. Thakrar, T. Fang, et al.
Acute severe mitral regurgitation: consideration of papillary muscle architecture.
Cardiovasc Ultrasound, 6 (2008), pp. 5
[9]
M.H. Moursi, S.K. Bhatnagar, I. Vilacosta, J.A. San Roman, M.A. Espinal, N.C. Nanda.
Transesophageal echocardiographic assessment of papillary muscle rupture.
Circulation, 94 (1996), pp. 1003
[10]
A. Russo, R.M. Suri, F. Grigioni, et al.
Clinical outcome after surgical correction of mitral regurgitation due to papillary muscle rupture.
Circulation, 118 (2008), pp. 1528-1534
Copyright © 2012. Sociedade Portuguesa de Cardiologia
Download PDF
Idiomas
Revista Portuguesa de Cardiologia (English edition)
Article options
Tools
Supplemental materials
en pt

Are you a health professional able to prescribe or dispense drugs?

Você é um profissional de saúde habilitado a prescrever ou dispensar medicamentos

By checking that you are a health professional, you are stating that you are aware and accept that the Portuguese Journal of Cardiology (RPC) is the Data Controller that processes the personal information of users of its website, with its registered office at Campo Grande, n.º 28, 13.º, 1700-093 Lisbon, telephone 217 970 685 and 217 817 630, fax 217 931 095, and email revista@spc.pt. I declare for all purposes that the information provided herein is accurate and correct.