Os autores descrevem o caso de paciente com transplante renal que desenvolveu endocardite infecciosa tardiamente associada com fragmento de cateter intracardíaco implantado 16 anos antes. A apresentação clínica foi anemia de causa indeterminada e perda de peso. Três hemoculturas foram positivas para Burkholderia cepacia. O ecocardiograma transesofágico revelou um corpo estranho no átrio e ventrículo direitos, que foi confirmado por tomografia computadorizada. A paciente foi submetida a antibioticoterapia intravenosa e posterior cirurgia cardíaca, com remoção do corpo estranho. Evoluiu sem complicações pós‐operatórias, com correção da anemia e estabilização da função renal.
The authors describe the case of a renal transplant patient who developed late infective endocarditis associated with an intracardiac fragment of a catheter inserted 16 years before. Clinical presentation was anemia of undetermined cause and weight loss. Three blood cultures were positive for Burkholderia cepacia. Transesophageal echocardiography revealed a foreign body in the right atrium and right ventricle, confirmed by computed tomography. The patient underwent intravenous antibiotic therapy, followed by cardiac surgery to remove the foreign body. There were no postoperative complications, with improvement of anemia and stabilization of renal function.
Cateter venoso central inserido perifericamente (PICC) é um dispositivo seguro utilizado na prática clínica para administração de fluidos e medicamentos que não podem ser infundidos em veias periféricas1. Fragmentos de cateter deslocados para a circulação podem causar embolia e os sítios mais acometidos são o átrio direito, a veia cava superior e a artéria pulmonar esquerda1,2. Há relato de um corpo estranho intracardíaco que permaneceu por 17 anos sem causar complicações3; entretanto, esses materiais devem ser removidos o mais precocemente possível para prevenir o risco de arritmias, perfuração miocárdica, septicemia ou endocardite1–4.
Endocardite infecciosa é uma condição relativamente incomum na população em geral5. Sua frequência tem aumentado em portadores de PICC e a taxa de mortalidade em pacientes hospitalizados é de 9,6‐26%5. A variante Burkholderia cepacia (B. cepacia, anteriormente designada Pseudomonas cepacia) pertence ao complexo Burkholderia, que inclui uma dezena de variantes genômicas6. Essa bactéria raramente causa endocardite na ausência de condições predisponentes, que incluem imunodepressão, uso de drogas injetáveis, próteses valvares e presença de PICC5,6. Deve‐se enfatizar sua capacidade de contaminar reservatórios de água, soluções desinfetantes ou antissépticas e anestésicas, além de fluidos ou medicamentos para a administração intravenosa6.
O objetivo desse relato é aumentar o índice de suspeita acerca dessa condição pouco descrita.
Relato do casoMulher branca de 40 anos foi admitida com mal‐estar geral, anorexia, emagrecimento (5kg em dois meses), epigastralgia e vómitos pós‐prandiais, iniciados no dia anterior. Utilizava, diariamente, imunossupressores (azatioprina 100mg, tacrolimus 4mg e prednisona 5mg) e fármacos anti‐hipertensores (atenolol 100mg e clonidina 0,400mg).
Aos 24 anos teve diagnóstico de hipertensão arterial e doença renal crónica (DRC) de origem indeterminada em estádio 5 e iniciou hemodiálise crónica. Após quatro meses ficou grávida e, em virtude de pré‐eclâmpsia grave, foi realizada cesariana no 8.° mês de gestação. No puerpério, evoluiu com volumoso sangramento ginecológico, septicemia e choque. Permaneceu por 15 dias na UCI, com cateter venoso em veia central. Após melhora progressiva do quadro clínico, retornou ao programa regular de hemodiálise.
Oito anos mais tarde foi submetida a transplante renal com órgão de dador falecido, ocorrendo rejeição celular aguda esteroide‐resistente, que foi tratada com OKT3. Recebeu alta no 30.° dia pós‐transplante em boas condições clínicas e com creatinina estabilizada em 2,0mg/dL. Manteve função renal inalterada no acompanhamento ambulatório, mas apresentou intercorrências tardias (infecção ocular herpética tratada há sete anos e tromboflebite da fístula arteriovenosa há três anos). Não houve implante de outro cateter venoso central, nem no procedimento cirúrgico nem nos períodos pós‐transplante precoce ou tardio.
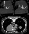
No internamento apresentava‐se em regular estado geral, hipocorada (3+/4+), apirética e pesando 65,5kg. O exame dos pulmões não revelou anormalidades; a pressão arterial era de 110/60mmHg e a frequência cardíaca de 108bpm; sons cardíacos normais e rítmicas com sopro sistólico discreto na região paraesternal direita, sem irradiação. No abdômen não havia visceromegalias palpáveis. As extremidades estavam bem perfundidas e sem edemas. Exames laboratoriais iniciais mostraram queda da hemoglobina, não justificada por perdas gastrointestinais ou ginecológicas, com hematócrito 22%, hemoglobina 7g/dL, VGM 93fL, CMHG 32%, leucócitos 2,7x103/mm3 (neutrófilos 64%, eosinófilos 3%, linfócitos 24%, monócitos 8%) e plaquetas 238x103/mm3. A creatinina (2,1mg/dL) e a ureia (73mg/dL) estavam aumentadas, com os eletrólitos normais; a proteína C reativa (6,8mg/dL) e a ferritina (1.043μg/L) também estavam elevadas. O tempo de protrombina (13,4 segundos), atividade protrombínica (81,9%) e INR (1,14) estavam normais. A urinálise não mostrou alterações significativas e a urocultura foi negativa. Hemoculturas (três amostras) demonstraram o crescimento de B. cepacia sensível apenas a meropenem e a trimetoprim (TMP) com sulfametoxazol (SMZ). Esta associação foi administrada por via endovenosa (TMP 160mg e SMZ 800mg a cada 12 horas). A radiografia de tórax foi normal, mas o ecocardiograma transesofágico revelou a presença de corpo estranho no átrio e ventrículo direitos. A tomografia computadorizada de tórax demonstrou imagem densa e alongada estendendo‐se do átrio direito através da válvula tricúspide até o ventrículo direito, com dobras e emaranhados na cavidade ventricular (Figura 1 A e 1B). Em virtude do posicionamento defeituoso e suspeita de fragmentação o cateter foi retirado por via percutânea; mas a tomografia de controle mostrou uma imagem intracardíaca densa (Figura 1C). Outros procedimentos menos invasivos não foram adotados, pois o fragmento parecia aderido à parede da cavidade em virtude de sua longa permanência, o que propiciaria a origem de êmbolos. No 16.° dia de antibioticoterapia foi realizada cardiotomia, que confirmou a presença de um fragmento do cateter fortemente aderido ao endocárdio. O pós‐operatório decorreu sem intercorrências. A paciente evoluiu com normalização do hemograma e manutenção da função renal e a alta hospitalar ocorreu no 17.° dia do pós‐operatório. O uso do antibiótico foi mantido por via oral mais quatro semanas e ela permanece assintomática em acompanhamento ambulatorial.
Estudo tomográfico do tórax. A e B: imagem densa e alongada estendendo‐se do átrio ao ventrículo direito, com dobras e emaranhados na cavidade ventricular, além de aspecto sugestivo de fragmentação (setas). C: exame de controle após a retirada do cateter, evidenciando imagem compatível com fragmento intracardíaco (setas).
O uso de PICC tem aumentado na prática clínica, com maior frequência nos pacientes recebendo cuidados em UTI1,5,6. Anualmente, instituições de saúde norte‐americanas utilizam cerca de 150 milhões desses dispositivos para administrar fluidos endovenosos, medicamentos, derivados de sangue e nutrição parenteral5,6. Diversas complicações desse procedimento têm sido descritas, predominantemente as infecciosas1,5,6. A ruptura de PICC é uma situação atualmente rara, com incidência entre 0,01‐1%2,7,8. Entretanto, Loughran e Borzatta encontraram 9,7% dessas rupturas no estudo retrospectivo realizado em um hospital da Califórnia, EUA, que envolveu 322 pacientes com PICC9. Além disso, alguns estudos realizados no Brasil indicam que a frequência da complicação em nosso meio poderia chegar a taxas de 4‐15,4%1,10–12. Já a embolia do cateter ocorre em 0,6% dos casos após sua fragmentação e deslocamento para a circulação sistémica1, podendo causar oclusão arterial, arritmia, trombose, septicemia, endocardite ou óbito1–4.
A incidência geral de endocardite varia em torno de 2‐10 casos por 100 000 pessoas/ano5, com aumento da prevalência de agentes gram‐positivos quando está associada com PIC6,13. Prevalência mais elevada de agentes gram‐negativos e de fungos tem sido relacionada com a utilização de drogas injetáveis e com imunodepressão13.
No presente relato as hemoculturas revelaram a presença de uma bactéria gram‐negativa da família Pseudomonadaceae, a B. cepacia6, um importante agente infeccioso em pacientes com fibrose quística e doenças granulomatosas crónicas, mas que usualmente não se relaciona com infecção de PICC ou endocardite6,14,15. O complexo B. cepacia tem potencial para disseminação inter‐humana, dentro e fora do ambiente hospitalar6,16. Soluções e medicamentos contaminados são fontes comuns de infecção hospitalar por essas bactérias6. Infecções por complexo B. cepacia são de difícil controle, pela alta resistência à maioria dos antibióticos6,14,15. Sulfametoxazol‐trimetoprim é uma opção de escolha6,14, utilizada com sucesso no presente caso.
As consequências clínicas de um corpo estranho no coração podem ser imediatas ou tardias, variando desde a ausência de sintomas até instabilidade hemodinâmica grave16. Assim, o diagnóstico pode ser incidental durante a investigação de outras condições clínicas16. A radiografia de tórax não mostrou a presença do corpo estranho intracardíaco, por interferência da superposição de imagens. O ecocardiograma transesofágico é o método de eleição na suspeita de endocardite e revelou o corpo estranho metálico intracardíaco, o que foi fundamental para este diagnóstico. Porém, as respectivas imagens não foram disponibilizadas para ilustrar este relato. Mesmo em pacientes assintomáticos, o risco de complicações graves constitui fator indicativo para remoção do corpo estranho, na maioria dos casos2. Pacientes que apresentarem infecção, arritmia ou acidente cerebrovascular devem ser submetidos à remoção cirúrgica do corpo estranho, seja qual for sua localização16. Com hemoculturas positivas e confirmação do corpo estranho intracardíaco, nossa paciente foi submetida à cardiotomia e retirada do fragmento de cateter com sucesso.
Pelo exposto, em virtude de sua longa história epidemiológica, o exato mecanismo da infecção nessa paciente não pode ser devidamente esclarecido. Digna de nota nesse caso é a permanência de um corpo estranho intracardíaco sem produzir complicações clínicas. O material protésico intracardíaco utilizado não estava previamente infectado; mas com o decorrer do tempo foi colonizado por bactéria que entrou em circulação. O mais provável é que a doente se encontrasse imunodeprimida e, portanto, se tenha tornado mais suscetível a infecções.
No internamento atual, o diagnóstico não foi protelado em razão da rotina de investigação estabelecida para os pacientes transplantados renais, que inclui a pesquisa de eventual foco infeccioso mesmo na ausência de febre. Pacientes transplantados podem exibir quadro clínico diferente do padrão clássico, em especial na vigência de infecção com localização cardiovascular inaparente.
Responsabilidades éticasProteção de pessoas e animaisOs autores declaram que para esta investigação não se realizaram experiências em seres humanos e/ou animais.
Confidencialidade dos dadosOs autores declaram ter seguido os protocolos de seu centro de trabalho acerca da publicação dos dados de pacientes e que todos os pacientes incluídos no estudo receberam informações suficientes e deram o seu consentimento informado por escrito para participar nesse estudo.
Direito à privacidade e consentimento escritoOs autores declaram ter recebido consentimento escrito dos pacientes e/ ou sujeitos mencionados no artigo. O autor para correspondência deve estar na posse deste documento.
Conflito de interessesOs autores declaram não haver conflito de interesses.





