Percutaneous closure of paravalvular leaks (PVLs) after aortic valve replacement has emerged as an effective – and often first-line – choice for patients with significant paravalvular regurgitation requiring intervention. The defect can be approached via different routes (antegrade transseptal, retrograde transaortic, or transapical) based on the position of the valve, location of the defect and operator expertise.
Several imaging modalities have been used, but predicting the number and size of devices to be implanted remains challenging.
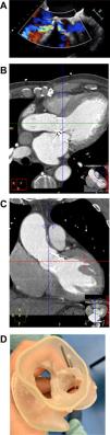
We present the case of a 73-year-old man admitted for heart failure due to severe PVL of a bioprosthetic aortic valve (Figure 1A). After cardiac computed tomography (Figure 1B and C), a three-dimensional (3D) printed model of the heart (Figure 1D–F) was made and the PVL was closed in a patient-specific simulation with three Amplatzer Vascular Plugs (AVP) (5-mm AVP III 14, 5-mm AVP III 10 and 5-mm AVP II). The procedure was replicated in the patient without significant residual regurgitation on color 3D transesophageal echocardiography (Figure 1G).
(A) Transesophageal echocardiography showing severe paravalvular leak (PVL) of the bioprosthetic aortic valve; (B and C) cardiac computed tomography images used to construct the three-dimensional (3D) printed models of the heart; (D–F) 3D printed model of the heart with simulation of PVL closure using three Amplatzer Vascular Plugs (AVP) (5-mm AVP III 14, 5-mm AVP III 10 and 5-mm AVP II); (G) fluoroscopy image of the procedure.
This case demonstrates that 3D printed models can be extremely useful for detailed preprocedural planning of percutaneous closure of PVLs, and enable bench-testing to help identify the location and optimal type, number, and size of device(s) to be used. This is especially useful in difficult anatomies and in cases with failed previous attempts. Additionally, 3D printing enhances doctor-patient communication and ultimately empowers patient decisions.
Conflicts of interestThe authors have no conflicts of interest to declare.





