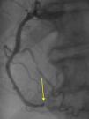
The authors present the case of an 83-year-old male with a history of hypertension, appendectomy and cervical spine surgery who presented at the emergency department with epigastric pain and dyspnea at rest for six hours. The physical examination was compatible with refractory acute pulmonary edema requiring endotracheal intubation and ventilation. The electrocardiogram showed sinus rhythm with ST-segment elevation in the inferior leads. The emergent coronary angiography revealed three-vessel disease with distal occlusion of the right coronary artery (Figure 1, Videos 1 and 2). Primary angioplasty was performed successfully (Figure 2, Video 3). During the procedure a contrast retention image was observed apparently synchronous with the cardiac/respiratory cycle (Figure 3, Video 4). The first possibility that came to mind was an aortic dissection, which was excluded by an anteroposterior projection, which showed that the image was in the midline (Figure 4, Videos 5 and 6). A chest computed tomography scan was then requested to rule out the presence of a fistula (esophageal or bronchial), which revealed that the image corresponded to retention of contrast in the medullary canal from myelography performed in the 1980s (Figure 5A and B).
Myelography is still used in the study of patients with suspected atrophic or degenerative changes in the spinal cord. Current soluble contrast agents have less acute and chronic neurotoxicity than previously used agents and do not need to be removed. In the case presented it was not possible to obtain information as to why the contrast agent was not removed after the procedure.
Ethical disclosuresProtection of human and animal subjectsThe authors declare that no experiments were performed on humans or animals for this study.
Confidentiality of dataThe authors declare that no patient data appear in this article.
Right to privacy and informed consentThe authors declare that no patient data appear in this article.
Conflicts of interestThe authors have no conflicts of interest to declare.









