Pericardial cysts are rare benign congenital malformations, usually small, asymptomatic and detected incidentally on chest X-ray as a mass located in the right costophrenic angle. Giant pericardial cysts are very uncommon and produce symptoms by compressing adjacent structures. In this report, the authors present a case of a symptomatic giant pericardial cyst incorrectly diagnosed as dextrocardia on chest X-ray.
Os quistos pericárdicos são malformações congênitas benignas raras. Habitualmente. são de pequena dimensão, assintomáticos e detectados de forma acidental na telerradiografia de tórax, como uma massa localizada no ângulo costofrênico direito. Grandes quistos pericárdicos são ainda mais raros e produzem sintomas por compressão de estruturas adjacentes. Neste artigo, os autores apresentam um caso clínico de um quisto pericárdico gigante e sintomático previamente diagnosticado como uma dextrocardia em telerradiografia de tórax.
A 30-year-old man reported dysphagia and weight loss (15 kg) during the previous four months. Palpitations and chest pain unrelated to physical or emotional stress began two months later. A routine annual visit to the occupational medicine clinic revealed normal physical examination and laboratory tests. The chest X-ray (Figure 1A) suggested a diagnosis of dextrocardia that was not observed on previous annual chest X-rays, and the ECG (Figure 1B) was normal. Outpatient echocardiography was also normal. The patient was referred to the cardiology department for further investigation.
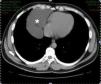
Computed tomography (CT) scan (Figure 2) showed a large well-defined mass 11.2 cm × 7.4 cm in diameter projecting into the right costophrenic angle, suggesting a diagnosis of pericardial cyst or bronchogenic cyst.
Echocardiography (Figure 3) was repeated and revealed an echo-free structure containing a septum, pushing on the right atrium and visualized only from subcostal view, which showed a large pericardial cyst, and no other abnormal findings.
Magnetic resonance imaging (MRI) (Figure 4) identified a non-enhanced, well-defined bilobed mass in the right costophrenic angle containing clear fluid with a volume of 70.4 ml, compatible with a giant pericardial cyst.
The patient underwent surgical excision of the mass (Figure 5) without complications. Histological examination confirmed the diagnosis of pericardial cyst. After three months of follow-up, he was symptom-free and the chest X-ray (Figure 6) showed no signs of dextrocardia.
DiscussionPericardial cysts are rare benign structures, most frequently located in the right costophrenic angle, but may also appear in the left costophrenic angle, hilum and superior mediastinum. They may be unilocular or multilocular with diameters ranging between 1 and 5 cm.1 In our case the pericardial cyst was very large, almost 9 cm in diameter, which makes it even more rare. The incidence of pericardial cysts is 1:100000 and they represent 6–7% of total mediastinal masses.2 They must be differentiated from cardiac chamber enlargement, diaphragmatic hernia, malignant tumors and bronchogenic cysts.
Pericardial cysts are usually asymptomatic and discovered incidentally on chest X-ray or echocardiography,3 while MRI and CT can differentiate between pericardial cyst and other solid mediastinal masses.1,2 The former appears as a thin-walled, well-defined mass filled with clear fluid without intravenous contrast enhancement.
Giant pericardial cysts may cause chest pain, dyspnea and cough secondary to airway compression. They may produce symptoms mimicking tricuspid stenosis, pulmonary stenosis or constrictive pericarditis.4 Atrial fibrillation,5 cardiac tamponade6 and even sudden death after a stress test7 have been reported. To the best of our knowledge, symptoms of dysphagia and significant weight loss, as in our case, have not previously been reported.
Treatment for symptomatic patients with large cysts includes surgical excision or percutaneous aspiration and alcohol sclerosing injection to prevent recurrence. Asymptomatic patients should be followed to monitor for possible future symptoms.
Ethical disclosuresProtection of human and animal subjectsThe authors declare that the procedures followed were in accordance with the regulations of the relevant clinical research ethics committee and with those of the Code of Ethics of the World Medical Association (Declaration of Helsinki).
Confidentiality of dataThe authors declare that they have followed the protocols of their work center on the publication of patient data and that all the patients included in the study received sufficient information and gave their written informed consent to participate in the study.
Right to privacy and informed consentThe authors have obtained the written informed consent of the patients or subjects mentioned in the article. The corresponding author is in possession of this document.
Conflicts of interestThe authors have no conflicts of interest to declare.










