A insuficiência cardíaca aguda na estenose aórtica grave com compromisso da função sistólica global tem um prognóstico reservado, com opções terapêuticas limitadas.
Os autores descrevem o caso clínico de um doente admitido por enfarte agudo do miocárdio sem supradesnivelamento de ST, no qual o estudo complementar revelou estenose aórtica grave, com boa função ventricular esquerda, e doença coronária de 2 vasos. O desenvolvimento de choque cardiogénico, com compromisso grave da função sistólica global, ao quarto dia de internamento, alterou a estratégia terapêutica, optando-se por realizar valvuloplastia aórtica com balão e revascularização miocárdica percutânea completa, com vista a posterior referenciação para cirurgia valvular. Após a alta, apresentou novo quadro de choque cardiogénico em contexto de insuficiência cardíaca aguda e paragem cardiorrespiratória. Por dificuldade na extubação, iniciou perfusão de levosimendan, com franca melhoria clínica e ecocardiográfica. Posteriormente, o doente foi submetido com sucesso a implantação de prótese valvular aórtica.
Este caso demonstra o desafio que caracteriza a estabilização e o tratamento destes doentes. A valvuloplastia aórtica com balão e o levosimendan foram eficazes e seguros no tratamento da insuficiência cardíaca aguda e permitiram estabelecer a ponte para a cirurgia.
Acute heart failure in patients with severe aortic stenosis and left ventricular systolic dysfunction is well known for its dire prognosis and limited therapeutic options.
The authors describe the case of a man admitted for non-ST-elevation myocardial infarction. Diagnostic exams revealed severe aortic stenosis, with good left ventricular systolic function, and two-vessel coronary artery disease. The development of cardiogenic shock with left ventricular systolic dysfunction on day four led to changes in the therapeutic strategy. Percutaneous aortic balloon valvuloplasty coupled with complete myocardial revascularization was performed with a view to future surgical intervention. After discharge, the patient was readmitted with acute pulmonary edema, cardiogenic shock and cardiopulmonary arrest. Ventilator weaning was not possible due to acute heart failure and so it was decided to administer levosimendan, which resulted in substantial clinical and echocardiographic improvement. The patient subsequently underwent successful aortic valve replacement.
This case highlights the challenge that characterizes the management of patients with concomitant coronary artery disease, left ventricular systolic dysfunction and severe aortic stenosis. Percutaneous aortic balloon valvuloplasty and levosimendan were safe and effective in the treatment of acute heart failure, acting as a bridge to surgery.
A estenose aórtica (EAo) grave de etiologia degenerativa é a doença valvular mais prevalente nos países desenvolvidos (4,6% em doentes com mais de 75 anos)1, sendo expectável um aumento da sua incidência com o progressivo envelhecimento da população. Caracteriza-se por uma elevada taxa de mortalidade quando se torna sintomática, sendo prioritária a referenciação para cirurgia de substituição valvular2. O risco cirúrgico associado a esta intervenção é geralmente baixo, sendo os resultados a longo prazo excelentes, uma vez que a curva de sobrevivência se aproxima da população geral. Contudo, o prognóstico mantém-se reservado nos doentes com disfunção ventricular esquerda, nomeadamente naqueles que se apresentam com insuficiência cardíaca aguda (ICA). Estes doentes são frequentemente excluídos dos ensaios clínicos, tornando a evidência clínica nesta área muito parca, sendo as estratégias terapêuticas limitadas.
A valvuloplastia aórtica percutânea (VAP) com balão foi descrita pela primeira vez em 1986 por Cribier et al.3, como um tratamento alternativo à cirurgia. Apesar do entusiasmo inicial, os resultados a médio-longo prazo foram dececionantes, com uma elevada taxa de reestenose (> 70% após o primeiro ano), sem efeito benéfico no curso natural da doença4. Atualmente, é encarada como uma terapêutica paliativa ou como ponte para um tratamento mais definitivo5.
O levosimendan é um fármaco que alia o seu efeito inotrópico positivo à ação vasodilatadora, sem aumentar o consumo miocárdico de oxigénio6. O seu tempo de ação é promovido pelo seu metabolito ativo (OR1896), prolongando-se ao longo de 7 a 9 dias7. Tradicionalmente, os fármacos vasodilatadores estão contraindicados na EAo grave, tendo este conceito sido desafiado recentemente8.
Os autores apresentam um caso clínico que pretende demonstrar o desafio terapêutico que constitui um doente com EAo grave e choque cardiogénico. A VAP e o levosimendan foram duas opções terapêuticas que se revelaram seguras e eficazes.
Caso clínicoHomem de 67 anos, com antecedentes de hipertensão arterial, diabetes mellitus tipo 2 insulinotratado, hipertrigliceridemia, obesidade e síndrome de apneia obstrutiva do sono. Noção de mau cumprimento terapêutico.
Admitido no Serviço de Urgência por clínica dor torácica com características anginosas com cerca de seis meses de evolução e agravamento nas últimas duas semanas (classe CCS II-III). Ao exame objetivo: hemodinamicamente estável (pressão arterial 107/43mmHg, frequência cardíaca 60 bpm); auscultação cardíaca com sopro sistólico grau iii/vi, mais audível no foco aórtico com irradiação carotídea, em crescendo-decrescendo; sem sinais de insuficiência cardíaca. Eletrocardiograma (ECG) em ritmo sinusal, com critérios de voltagem de hipertrofia ventricular esquerda, com alterações da repolarização da parede lateral (padrão de sobrecarga e/ou isquemia miocárdica) e deficiente progressão da onda R V1-V4. Analiticamente, discreta elevação isolada da troponina i (0,071-0,102ng/mL).
O doente foi internado na Unidade de Cuidados Intensivos Cardíacos com o diagnóstico de enfarte agudo do miocárdio sem supradesnivelamento do segmento ST, classe Killip-Kimball I.
O ecocardiograma transtorácico (Figura 1) mostrou ventrículo esquerdo não dilatado, com ligeira hipertrofia do septo interventricular, com boa função sistólica global (FSG) e segmentar; válvula aórtica fibrocalcificada com gradiente transvalvular máximo de 74 e médio de 49mmHg e área calculada por equação de continuidade de 0,77cm2.
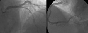
A coronariografia (Figura 2) revelou doença coronária de 2 vasos (lesão de 75% no segmento médio da descendente anterior e lesão de 90% na origem da descendente posterior). O estudo hemodinâmico determinou um gradiente transvalvular aórtico de 97mmHg.
Perante o diagnóstico de EAo grave e doença coronária de 2 vasos, planeou-se tratamento cirúrgico com implantação de prótese valvular aórtica e revascularização miocárdica.
Contudo, ao quarto dia de internamento, o doente apresentou episódio de angor em repouso, com dispneia e agitação associado a instabilidade hemodinâmica (pressão arterial 80/60mmHg; taquicardia sinusal e sinais de má perfusão periférica). Perante o diagnóstico de choque cardiogénico, foi iniciada terapêutica médica otimizada com ventilação mecânica e suporte aminérgico em doses elevadas (noradrenalina 20μg/min e dobutamina 15μg/kg/min).
O ECG evidenciou taquicardia sinusal, com acentuação do infradesnivelamento de ST (2mm) na parede lateral. O ecocardiograma revelou acinésia apical com compromisso moderado a grave da FSG, com gradiente valvular aórtico médio de 44mmHg. Analiticamente, verificou-se subida da troponina i (12ng/mL) e agravamento da função renal.
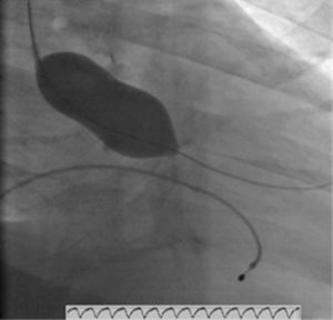
Atendendo ao quadro de instabilidade hemodinâmica com choque cardiogénico, foi decidida a realização de valvuloplastia aórtica (Figura 3) com balão NUCLEUS 20mm, sob ritmo de pacing a 220 bpm, verificando-se uma redução do gradiente de 97 para 46mmHg. Ao mesmo tempo, foi feita revascularização miocárdica completa com colocação de dois stents sem fármaco. A aortografia revelou insuficiência aórtica moderada, pelo que se optou pela não colocação de balão intra-aórtico.
Verificou-se melhoria clínica progressiva, com suspensão de suporte aminérgico às 48 h e extubação às 72 h. Analiticamente, o valor máximo de troponina i foi de 144 ng/mL, com descida progressiva; melhoria gradual da função renal e ausência de redução significativa da hemoglobina. O internamento foi prolongado por pneumonia nosocomial, sem agente identificado.
O doente teve alta ao 24.° dia de internamento, em classe NYHA II. No ecocardiograma transtorácico à data de alta apresentava compromisso moderado a grave da FSG (Figura 4), gradiente valvular aórtico médio de 31mmHg e área valvular de 1,06cm2. Programou-se cirurgia cardíaca, após cumprimento de um mês de dupla antiagregação plaquetar.
Cerca de um mês após a alta, o doente foi novamente admitido no Serviço de Urgência por quadro de edema agudo do pulmão, em provável relação com incumprimento terapêutico. Na Sala de Emergência, verificou-se paragem cardiorrespiratória em fibrilhação ventricular. Após 30 min de manobras de suporte avançado de vida, recuperou pulso, objetivando-se quadro de choque cardiogénico. O doente permaneceu sob ventilação mecânica e suporte aminérgico com noradrenalina. Dos exames complementares destaca-se: ECG e ecocardiograma sobreponíveis ao da alta e elevação da troponina i (10,4ng/mL) (valor máximo).
A suspensão de noradrenalina foi realizada em menos de 24h. Contudo, o doente manteve quadro de ICA, dificultando o processo de extubação, com várias tentativas sem sucesso. Ao oitavo dia de internamento, foi decidida terapêutica com levosimendan em perfusão (sem dose de carga, dose de manutenção de 0,1mcg/kg/min), que decorreu sem intercorrências. Houve melhoria clínica significativa, com extubação cerca de 24h depois. O ecocardiograma evidenciou melhoria da função ventricular esquerda (fração de ejeção de 40%), com gradiente valvular aórtico médio de 47mmHg.
Após estabilidade clínica e hemodinâmica, o doente foi transferido para o Serviço de Cirurgia Cardiotorácica, onde foi submetido a cirurgia de substituição valvular aórtica, com implantação de prótese biológica Carpentier Edwards. O ecocardiograma do Serviço de Cirurgia Cardiotorácica revelou ventrículo esquerdo com compromisso moderado da FSG.
Avaliado ao terceiro mês após a cirurgia: o doente apresenta insuficiência cardíaca classe NYHA II, sem queixas de angor.
DiscussãoA ICA em contexto de EAo grave e compromisso grave da FSG tem um prognóstico reservado, com opções terapêuticas limitadas e pouca evidência clínica.
No caso clínico descrito destaca-se o recurso à valvuloplastia aórtica com balão e ao levosimendan.
A VAP surgiu na década de 80 como uma alternativa ao tratamento cirúrgico3. Apesar do entusiasmo inicial com um aumento da área valvular e da redução do gradiente aórtico, com melhoria da função ventricular esquerda9, os resultados a longo prazo foram insatisfatórios, sendo o procedimento abandonado em muitas instituições4. A taxa de complicações agudas também não era desprezável (3% de mortalidade, 25% de complicações hemodinâmicas ou arrítmicas)9.
A introdução da implantação próteses valvulares aórticas percutâneas veio reavivar o papel da VAP.
Associadamente houve também uma melhoria da técnica no que respeita ao tipo de balão utilizado com a necessidade de introdutores de menores dimensões com menos complicações vasculares10, e o recurso ao pacing ventricular rápido (180-220 bpm) com um eletrocateter temporário. Wrizke et al.11, avaliaram a segurança e eficácia deste último, demonstrando que permite um posicionamento mais preciso e estável do balão, embora com menor aumento da área valvular.
Assim, atualmente a VAP pode ser considerada uma ponte para uma intervenção mais definitiva (substituição valvular cirúrgica ou percutânea) ou um tratamento paliativo em doentes de elevado risco cirúrgico ou sem acesso/indicação para colocação de prótese percutânea5.
A instabilidade hemodinâmica é também uma indicação para a utilização de VAP, contudo com um baixo nível de recomendação (iib) e evidência (C)2, devendo ser encarada como um procedimento eventualmente life-saving, com uma morbimortalidade não desprezável5.
Um dos maiores registos encontrados na literatura do recurso à VAP em doentes em choque cardiogénico pertence a Moreno et al.5, com 21 doentes. A taxa de mortalidade hospitalar foi de 43% (n = 9): 2 durante o procedimento, 2 por ICA refratária e 5 por comorbilidades.
Buchwald et al.12 avaliaram 14 doentes submetidos a VAP por EAo grave complicada de choque cardiogénico. A taxa de mortalidade intra-hospitalar foi elevada (71%; n = 10). Em análise multivariada, apenas um intervalo de tempo superior a 48 h entre o início do choque e a VAP esteva associado a um desfecho fatal. Todos os doentes tratados nas primeiras 24 h estavam vivos no primeiro ano de follow-up, independentemente de terem realizado ou não cirurgia de substituição valvular.
No caso clínico apresentado, o facto de o doente ter sido submetido a VAP nas primeiras 24 h, com uma área valvular final de cerca de 1cm2 poderá ter contribuído favoravelmente para o prognóstico.
Existe alguma informação na literatura sugerindo que o tratamento combinado com VAP e angioplastia coronária em doentes que recusam cirurgia ou com elevado risco operatório pode ser realizado de um modo seguro e eficaz. McKay et al.13 descreveram 9 doentes com doença coronária de um vaso e EAo severa submetidos a procedimento combinado. Aos 6 meses, 7 dos 9 doentes mantinham melhoria clínica.
Os doentes com ICA secundária a EAo grave com compromisso da função ventricular esquerda representam um desafio, exigindo simultaneamente o tratamento da ICA e a estabilização perioperatória. Na ausência de tratamento cirúrgico, o prognóstico destes doentes é sombrio; contudo, a intervenção associa-se a elevada taxa de morbimortalidade14.
Este caso clínico evoca ainda, e de um modo pertinente, a questão do timing ideal para a cirurgia de substituição valvular aórtica após a realização da VAP num doente com disfunção ventricular esquerda. A resposta mais consensual é o mais brevemente possível após estabilização clínica do doente. Contudo, nesta situação específica,– doente com choque cardiogénico complicado de pneumonia nosocomial, que ficou com compromisso moderado da FSG – houve a opção de não acrescentar o risco hemorrágico dado pela dupla antiagregação plaquetar, protelando a intervenção cirúrgica em quatro semanas.
O levosimendan é um sensibilizador dos canais de cálcio, caracterizando-se pelo seu efeito inotrópico positivo (sem aumento do consumo miocárdico de oxigénio) e vasodilatador arterial6. Está bem documentado o seu efeito benéfico no tratamento da ICA com compromisso da FSG15. Os doentes com EAo grave foram excluídos destes ensaios clínicos, uma vez que tradicionalmente, o uso de vasodilatadores na EAo grave está contraindicado, pelo receio de hipotensão. Recentemente, este conceito foi desafiado por estudos que mostraram a segurança aliada a um efeito hemodinâmico benéfico do nitroprussiato de sódio em doentes com ICA e EAo grave com compromisso da FSG8, explicado pelo efeito de redução da pós-carga à qual o ventrículo esquerdo é particularmente sensível.
Existe pouca evidência clínica relativa ao uso de levosimendan nesta população16, contudo, os resultados são sobreponíveis e apontam para um adequado perfil de segurança e eficácia, com melhoria clínica. Estes mesmos estudos apontam para um efeito benéfico do uso do levosimendan no pré e pós-operatório de doentes de elevado risco, contribuindo para a melhoria da FSG, através do recrutamento de miocárdio hibernante, permitindo assim uma recuperação mais rápida.
A hipotética ação benéfica do levosimendan nos doentes com EAo grave e compromisso da FSG poderá ser explicada pela redução da pré e da pós-carga, aliada à melhoria do fluxo coronário e função cardíaca15,17. Na presença de disfunção sistólica, o ventrículo esquerdo é particularmente sensível ao aumento da pós-carga e, assim, a redução das resistências vasculares periféricas poderá proporcionar um aumento do débito cardíaco, sem uma redução significativa da pressão arterial.
Com base no mecanismo de ação do fármaco, alguns artigos publicados extrapolam que o uso de levosimendan poderá permitir a avaliação de reserva contrátil nestes doentes, com um menor risco de isquemia miocárdica em comparação com a dobutamina15.
De modo semelhante, também é escassa a literatura relativa ao recurso ao levosimendan no processo de extubação de doentes com disfunção ventricular esquerda e dependentes do ventilador18,19.
Sterba et al.18 avaliaram 12 doentes considerados dependentes do ventilador e com compromisso da FSG a quem foi realizada perfusão de levosimendan durante 24 h. Verificaram uma melhoria da FSG e da insuficiência respiratória, conseguindo extubar 7 dos 12 doentes após o tratamento.
Mais recentemente, Ouanes-Besbes et al.19 fizeram um estudo sobre os efeitos hemodinâmicos do levosimendan e da dobutamina em 10 doentes com doença pulmonar obstrutiva crónica dependentes do ventilador e com aumento das pressões de enchimento ventricular. Constataram que ambos os fármacos reduziram a pressão de encravamento capilar pulmonar, contudo, com um efeito mais acentuado observado com o levosimendan.
No caso clínico descrito, o levosimendan foi introduzido perante várias tentativas de extubação sem sucesso, num doente com ICA refratária. O seu efeito inotrópico positivo e vasodilatador poderá ter contribuído para o sucesso da extubação e melhoria da função sistólica global. Não se registaram intercorrências durante a administração do fármaco, nomeadamente hipotensão ou disritmia ventricular complexa.
ConclusõesEste caso pretende destacar o desafio clínico que constitui tratar o doente com EAo grave e doença coronária, nomeadamente quando esta se acompanha de disfunção ventricular esquerda. A utilização de valvulotomia aórtica percutânea com balão e levosimendan revelaram-se duas opções terapêuticas seguras e eficazes como ponte para a cirurgia, o tratamento definitivo que urge nestes doentes.
Responsabilidades éticasProteção de pessoas e animaisOs autores declaram que para esta investigação não se realizaram experiências em seres humanos e/ou animais.
Confidencialidade dos dadosOs autores declaram ter seguido os protocolos de seu centro de trabalho acerca da publicação dos dados de pacientes e que todos os pacientes incluídos no estudo receberam informações suficientes e deram o seu consentimento informado por escrito para participar nesse estudo.
Direito à privacidade e consentimento escritoOs autores declaram ter recebido consentimento escrito dos pacientes e/ou sujeitos mencionados no artigo. O autor para correspondência deve estar na posse deste documento.
Conflito de interessesOs autores declaram não haver conflito de interesses.








