A endocardite a Streptococcus agalactiae é uma entidade clínica rara. A sua apresentação clínica geralmente tem início agudo, com presença de vegetações de grandes dimensões, rápida destruição valvular e complicações frequentes, nomeadamente embolização. A mortalidade permanece elevada quando é apenas adotada terapêutica médica. Os autores apresentam um caso clínico de uma doente jovem com endocardite a Streptococcus agalactiae tratada com uma estratégia cirúrgica precoce e fazem uma revisão da literatura considerada pertinente.
Streptococcus agalactiae endocarditis is a rare clinical entity that is generally characterized by acute onset, the presence of large vegetations, rapid valvular destruction and frequent complications, particularly embolization. Mortality is high with medical therapy alone. The authors present a case report of Streptococcus agalactiae endocarditis in a young patient treated by prompt surgery. The literature is reviewed.
A endocardite bacteriana a Streptococcus agalactiae (S. agalactiae) é uma entidade clínica rara1.
A sua incidência tem, no entanto, vindo a aumentar nos últimos anos1, particularmente em idades avançadas, e no contexto de doenças imunossupressoras crónicas nas quais se incluem o alcoolismo, diabetes mellitus, neoplasias e infeção por HIV2.
Aproximadamente 2 a 9% das bacteriémias a S. agalactiae apresenta-se como endocardite3–5.
O perfil clínico da endocardite causada por este microorganismo ainda permanece relativamente desconhecido, por ausência de dados na literatura atual.
Caso clínicoOs autores apresentam o caso clínico de uma doente do sexo feminino de 22 anos de idade, que recorreu ao Serviço de Urgência do hospital local por um quadro de febre, tosse seca, epistaxis, prostração e mialgias com 8 dias de evolução. Referia queixas de dispneia de início recente com agravamento progressivo. Não havia história de antecedentes pessoais conhecidos relevantes, nomeadamente hábitos toxicofílicos ou imunodeficiência.
Ao exame físico a doente encontrava-se sonolenta, polipneica (FR: 40cpm), taquicárdica (FC: 127bpm), normotensa, febril (temperatura axilar: 37,8°C), com hepatoesplenomegalia e edema maleolar bilateral. Analiticamente, destacava-se: anemia normocítica normocrómica (Hb: 9,1g/dL), trombocitopenia grave (11×103u/L), parâmetros infecciosos elevados (leucócitos: 11,2×103u/L, neutrofilia: 84,5% e PCR: 17,89mg/dL), ligeira elevação da fosfatase alcalina, gama-glutamiltransferase e na gasimetria com alterações compatíveis com insuficiência respiratória hipoxémica grave. A função renal, coagulação e sedimento urinário não tinham alterações significativas.
A radiografia de tórax evidenciava um padrão intersticial difuso bilateral.
Durante a permanência no Serviço de Urgência houve agravamento do quadro respiratório com necessidade de ventilação assistida. Foi colocada a hipótese de sépsis com ponto de partida respiratório e foi admitida na Unidade de Cuidados Intensivos Polivalentes, sendo iniciada antibioterapia empírica e terapêutica de suporte.
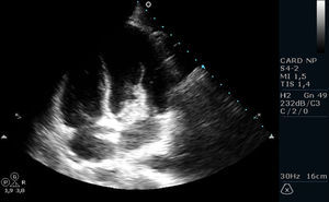
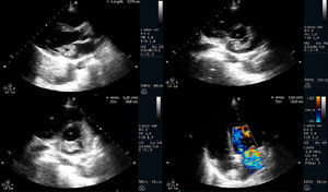
No 2.° dia de internamento, após deteção de sopro sistólico 2/6 no bordo esternal esquerdo, e em contexto de síndrome febril, foi realizado ecocardiograma transtorácico, que revelou válvula mitral com vegetação aderente à face auricular do folheto anterior, pediculada, hipermóvel, de grandes dimensões (30mm maior eixo), condicionando insuficiência mitral moderada a grave; PSAP estimada de 15mmHg (Figuras 1 e 2). Para melhor caracterização do mecanismo de insuficiência valvular e para exclusão de complicações perivalvulares, realizou ecocardiograma transesofágico, que confirmou a presença de vegetação volumosa, bem como insuficiência mitral grave, por interferência da vegetação na coaptação dos folhetos valvulares e excluiu abcesso, fístula, pseudoaneurisma ou perfuração.
As hemoculturas identificaram S. agalactiae, com elevada sensibilidade à penicilina, tendo-se ajustado antibioterapia.
Por suspeita de gravidez, foi pedido doseamento de beta-HCG, que foi positivo (45 mUI/mL). A doente foi observada pela ginecologia, que realizou ecografia pélvica. Não se visualizava saco gestacional, o que foi interpretado como aborto decorrido.
Foram realizadas tomografias axiais de crânio, abdómen e tórax que excluíram embolização séptica. As serologias virais excluíram imunodeficiência adquirida.
Pelas dimensões da vegetação, elevado risco embólico e insuficiência valvular grave, foi transferida para centro cirúrgico, onde foi submetida a implantação de prótese Mitral St. Jude n.° 27 e reconstrução de anel valvular com patch pericárdico, sem complicações no pós-operatório.
DiscussãoO S. agalactiae é uma bactéria gram-positiva beta-hemolítica que coloniza o trato genital feminino, orofaringe, e reto. Geralmente, está associado a infeções neonatais e puerperais7.
A endocardite é uma apresentação rara da infeção sistémica por S. agalactiae. A doente típica na era pré-antibiótica era uma doente jovem, com doença mitral, que estava grávida3–5.
Segundo a evidência na literatura atual, a endocardite a S. agalactiae caracteriza-se por apresentação aguda, presença de vegetações de grandes dimensões, rápida destruição valvular e frequente aparecimento de complicações7. Uma das complicações possíveis é a de embolização sistémica, sendo que existem séries que descrevem uma taxa de cerca de 50%. Esta complicação muitas vezes é mesmo a primeira manifestação de doença. Pensa-se que o tamanho das vegetações possa explicar a elevada taxa de eventos embólicos4,5,8.
O seu curso clínico, com comportamento agressivo, assemelha-se mais a uma endocardite causada por Staphylococcus do que por outros Streptococcus, nomeadamente Viridans7. No entanto, ao contrário da endocardite por Staphylococcus, esta entidade raramente foi reportada no contexto de endocardite de prótese valvular4,5. Na literatura dos últimos 40 anos apenas foram descritos 5 casos de endocardite de prótese6.
Em geral, o S. agalactiae é uniformemente suscetível à penicilina (MIC≤0,1μg/mL)2,5, porém, os seus serotipos são ligeiramente mais resistentes à penicilina do que outros Streptococcus, pelo que poderá ser indicado manter terapêutica com aminoglicosídeo durante 4 a 6 semanas9–10.
Nas séries mais antigas presentes na literatura, chega a atingir uma mortalidade de 20% quando é utilizada uma terapêutica combinada médico-cirúrgica, e de 40 a 50% se utilizada terapêutica médica isoladamente4–5. Rollán et al., mais recentemente, numa série de 9 doentes, descrevem taxas de mortalidade global de 56%, e de 33% quando submetidos a cirurgia precoce, sendo que nenhum dos doentes submetidos apenas a terapêutica médica sobreviveu, pelo que os autores propõem que seja adotada uma estratégia cirúrgica precoce7.
Este caso clínico pretende alertar para uma etiologia rara de endocardite, com incidência crescente, que, como o nosso caso caracteriza, geralmente se associa a vegetações de grandes dimensões, com rápida destruição valvular, podendo condicionar insuficiência valvular grave e elevado risco embólico. Uma estratégia de terapêutica médica poderá ser insuficiente, e a hipótese de cirurgia precoce deve ser considerada, para melhorar o prognóstico.
Conflito de interessesOs autores declaram não haver conflito de interesses.






