O teste de desfibrilhação efetuado durante a implantação de cardiodesfibrilhador (CDI) avalia a eficácia do dispositivo na deteção e interrupção de fibrilhação ventricular (FV). A margem de segurança considerada adequada é de 10 Joules (J) acima do valor mínimo testado. Mais recentemente, a utilidade deste teste tem sido contestada por diversos autores no contexto de prevenção primária.
Apresentamos as imagens de um caso, raro na atualidade, de um doente com necessidade de implantação de eletrocateter de choque adicional em localização subcutânea no hemitórax esquerdo por impossibilidade de interrupção de FV durante o teste de desfibrilhação.
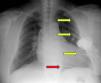
Doente do sexo masculino, de 60 anos, com antecedentes de hipertensão arterial e enfarte agudo do miocárdio (EAM) anterior extenso em 1997. Seis anos após o EAM e na sequência de episódio sincopal, foi documentada a presença de taquicardia ventricular (TV) monofórmica com intervalo R-R de 320 milisegundos (ms). O ecocardiograma revelou ventrículo esquerdo dilatado, de paredes não espessadas com deficiente função sistólica global (fração de ejeção de 35%) e presença de discinésia apical, acinesia dos segmentos medianos e hipocinésia dos segmentos basais da parede anterior e septo anterior. No cateterismo cardíaco verificou-se oclusão crónica proximal da descendente anterior e estenose de 25% do segmento proximal da circunflexa. Implantou CDI Guidant® MINI II para prevenção secundária. Durante a implantação do CDI, constataram-se limiares de desfibrilhação elevados, o que levou à necessidade de implantação de um elétrodo de choque adicional subcutâneo array para alargamento da área de aplicação do choque (Figuras 1–3).
Em 2002, foi submetido, eletivamente, a substituição de gerador por exaustão com implantação de CDI CPI Prizm 2 VR, tendo efetuado testes de desfibrilhação com sucesso com choque de 20 Joules.
Conflito de interessesOs autores declaram não haver conflito de interesses.







