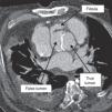
A 68-year-old man with a history of systemic hypertension and chronic renal failure was admitted to our emergency department with chest pain and dyspnea. He had undergone tube graft replacement of the ascending aorta due to an acute type A aortic dissection 10 years previously. On admission he was hypertensive and tachycardic with a continuous murmur at the left upper sternal border. The electrocardiogram revealed nonspecific repolarization abnormalities and the transthoracic echocardiogram showed a severely dilated aortic root with an intimal flap and continuous turbulent flow from the aortic root toward the right ventricle (Figures 1 and 2). There was moderate aortic regurgitation caused by poor leaflet coaptation. The right chambers were slightly dilated and both ventricles had normal systolic function. Chest computed tomography confirmed aortic root dissection with a fistula between the aortic false lumen and right ventricle (Figures 3 and 4). The coronary arteries were not involved. The patient was rejected for surgery due to very high surgical risk and died a few days later after sudden hypotension.
Aorto-right ventricular fistula is a very rare complication of aortic dissection. A significant proportion of patients with aortic dissection complicated by a fistula to the cardiac chambers have a history of prior cardiac surgery, predominantly aortic valve surgery. Postoperative pericardial adhesions may prevent free aortic rupture into the pericardial space, increasing the predisposition to penetrate into a neighboring cardiac chamber.
Ethical disclosuresProtection of human and animal subjectsThe authors declare that no experiments were performed on humans or animals for this study.
Confidentiality of dataThe authors declare that they have followed the protocols of their work center on the publication of patient data.
Right to privacy and informed consentThe authors have obtained the written informed consent of the patients or subjects mentioned in the article. The corresponding author is in possession of this document.
Conflicts of interestThe authors have no conflicts of interest to declare.








