A implantação clássica de pacemaker definitivo (PMD) em posição antepeitoral e por via transvenosa pode ser impossibilitada por obstrução dos acessos venosos à veia cava superior ou pela presença de infeção recente no mesmo local. Quando estas barreiras são bilaterais e, concomitantemente, há contraindicação ou dificuldade técnica para uma abordagem por toracotomia para implantação de um eletrocateter epicárdico, a via femoral venosa, embora raramente utilizada, pode constituir uma alternativa viável.
Descrevemos o caso de uma doente submetida a implantação de pacemaker definitivo monocamaral por via femoral direita por apresentar obstrução de ambos os acessos subclávios e limitações importantes à realização de minitoracotomia ou videotoracoescopia para posicionamento de um elétrodo epicárdico.
The classic transvenous implantation of a permanent pacemaker in a pectoral location may be precluded by obstruction of venous access through the superior vena cava or recent infection at the implant site. When these barriers to the procedure are bilateral and there are also contraindications or technical difficulties to performing a thoracotomy for an epicardial approach, the femoral vein, although rarely used, can be a viable alternative.
We describe the case of a patient with occlusion of both subclavian veins and a high risk for mini‐thoracotomy or videothoracoscopy, who underwent implantation of a permanent single‐chamber pacemaker via the right femoral vein.
Doente de 52 anos, sexo feminino, transferida do hospital da área de residência para implantação de pacemaker definitivo (PMD) no contexto de bloqueio auriculoventricular (BAV) de 2:1, sintomático e intermitente.
Tinha antecedentes de hipotiroidismo controlado com terapêutica de substituição hormonal e linfoma de Hodgkin em remissão, operado em 1986, sendo posteriormente submetida a quimioterapia e radioterapia com seguimento regular em consulta de hematologia.
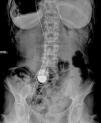
A doente referia história de maior cansaço com dispneia para pequenos esforços e episódios de tonturas com três dias de evolução, tendo recorrido por estes motivos ao serviço de urgência do hospital da sua área de residência. Na admissão apresentava pulso arrítmico a 53ppm e ECG com BAV de 2:1 (Figura 1). Analiticamente não tinha alterações iónicas ou da função tiroideia e não havia referência à utilização de fármacos que interferissem com a condução auriculoventricular. No exame objetivo era de salientar a presença de extensa circulação venosa superficial, tanto ao nível da parede abdominal como torácica.
A tentativa de implantação de PMD utilizando os acessos venosos convencionais não foi conseguida, tendo‐se documentado oclusão extensa de ambas as veias subclávias com exuberante rede venosa vicariante superficial e profunda (Figura 2).
Com vista à realização do procedimento por outra abordagem, a doente foi submetida a avaliação cardiológica complementar.
No ecocardiograma transtorácico há a destacar sinais de fisiologia constritiva, nomeadamente movimento protodiastólico do septo com notch para o ventrículo esquerdo e variabilidade dos fluxos transtriscúspide superior a 25% com a respiração.
A TAC torácica de alta resolução com contraste (Figura 3) mostrou marcada colateralidade venosa, aspeto que se deve à interrupção da veia cava superior por obstrução, associando‐se a marcada fibrose pulmonar apical à direita e desvio do mediastino para o mesmo lado. Apresentava mínimo espaço entre a face posterior do esterno e as estruturas vasculares, nomeadamente ao nível da emergência dos troncos supra‐aórticos onde não excedia os 3mm, estando em contacto a nível da janela aorto‐pulmonar e ao nível da parede livre do ventrículo direito. A região subxifoideia apresentava‐se em contacto com a face anterior do lobo esquerdo hepático.
A ressonância magnética nuclear cardíaca confirmou a fisiologia de constrição e excluiu espessamento pericárdico.
Em função das alterações detetadas nos exames efetuados, nomeadamente as alterações fibróticas difusas ao nível do tórax, foi excluída em reunião médico‐cirúrgica a possibilidade de implantação de elétrodo epicárdico.
Após se ter confirmado por TAC a permeabilidade dos acessos vasculares inferiores (veia cava inferior), decidiu‐se realizar a implantação do PMD por via femoral direita.
Dadas as características intermitentes do BAV, o risco embólico inerente à presença de dois cateteres intravasculares num território extenso (da veia femoral à veia cava inferior e cavidades direitas) num doente com predisposição potencial para tromboembolismo venoso, bem como o reconhecimento do risco de deslocamento do elétrodo auricular, optou‐se por implantar um PMD monocameral.
ProcedimentoA intervenção foi realizada sob anestesia geral tendo‐se abordado a veia femoral direita imediatamente abaixo do ligamento inguinal. Foi feita uma incisão longitudinal sobre a veia femoral ao nível da virilha direita, alguns centímetros abaixo do ligamento inguinal, permitindo assim a sua visualização (Figura 4). A veia foi puncionada utilizando a técnica de Seldinger. Um fio‐guia foi inserido no espaço intravascular de forma a permitir a inserção de um introdutor 7Fr (Medtronic Inc., Minneapolis, Minnesota, EUA). O elétrodo bipolar CapSureFix® Novus (4076‐85) (Medtronic Inc., Minneapolis, Minnesota, EUA) de fixação ativa, com um diâmetro de 5,7Fr e 85cm de comprimento foi introduzido através do introdutor previamente posicionado em posição septal apical.
Após posicionamento do elétrodo em posição apical, a fixação adequada foi verificada pela deteção de uma corrente de lesão superior a 4mV ao nível do eletrograma ventricular direito.
Obtiveram‐se limiares de sensing e de estimulação satisfatórios (sensing 6,6mV; impedância 630; limiar 0,5mV a 0,4ms) e foi removido o introdutor, deixando ansa suficiente no elétrodo, por forma a evitar deslocamento por estiramento. O elétrodo foi fixado com fio de sutura não reabsorvível na fáscia do músculo subjacente, usando as mangas de ancoragem. A loca do pacemaker foi construída no tecido subcutâneo, sob o reto abdominal inferior, do mesmo lado do abdómen, através de uma segunda incisão suficientemente acima do ligamento inguinal, de forma a evitar o desconforto local (Figura 5). O elétrodo foi depois tunelizado por via subcutânea sobre o ligamento femoral partindo da incisão infrainguinal para a loca e posteriormente conectado ao gerador de pacemaker (Adapta ‐ Medtronic Inc., Minneapolis, Minnesota, EUA).
O procedimento decorreu sem complicações tendo a doente iniciado deambulação cerca de 48h depois. O PMD foi programado em VVIR com uma frequência de base de 50bpm apresentando com esta programação 35% de pacing ventricular após dois anos de seguimento em consulta.
Durante um período de seguimento de dois anos em consulta de cardiologia e pacing cardíaco, o sistema manteve boas condições de funcionamento e a doente manteve‐se assintomática relativamente às queixas de insuficiência cardíaca previamente referidas. Nunca referiu desconforto ou complicações no local do implante.
DiscussãoA oclusão unilateral da veia subclávia ou inominada após a implantação de pacemaker ou desfibrilador não é rara e ocorre em cerca de 10% dos implantes sem complicações. Oclusão bilateral pode às vezes ser encontrada quando ambos os acessos subclávios foram previamente utilizados para implantação1. A abordagem epicárdica é a forma alternativa habitualmente preconizada de estimulação cardíaca quando os acessos subclávios estão ocluídos.
A estimulação ventricular epicárdica pode ser instituída por meio de uma pequena incisão subxifoidal ou lateral esquerda, quando a anatomia torácica assim o permite. A videotoracoescopia pode ser utilizada como auxílio durante a implantação epicárdica permitindo assim realizar procedimentos minimamente invasivos.
No entanto, uma toracotomia é essencial para posicionar um elétrodo auricular quando o objetivo é manter a sincronia atrioventricular, essencial em situações em que se quer minimizar a possibilidade de desencadear síndrome de portador de pacemaker.
A longevidade funcional de um elétrodo epicárdico, em média, pode ser inferior à de um elétrodo endocárdico2,3.
Como alternativa para a estimulação epicárdica, a recanalização da veia subclávia em doentes com elétrodos previamente implantados pode ser obtida durante a extração de elétrodos com os métodos de dilatação mecânica ou laser, servindo o elétrodo não funcionante de guia, permitindo a manutenção do acesso venoso clássico4,5. No entanto, os riscos de perfuração venosa ou avulsão poderão ser elevados quando se trata de uma oclusão em territórios submetidos a radioterapia.
Há cerca de 33 anos, El Gamal e Van Gelder descreveram pela primeira vez o acesso venoso femoral utilizando o elétrodo Helifix5 para estimulação atrial.
No caso descrito utilizámos o acesso direto à veia femoral e inserimos o elétrodo claramente abaixo da prega inguinal de forma a evitar o desconforto da cicatriz. Criámos uma loca ao nível da parede abdominal, separada da zona de inserção, evitando assim o desconforto do gerador na vizinhança da zona de flexão da coxa.
Ellestad et al. utilizaram igualmente uma loca ao nível da parede abdominal não tendo sido detetadas quaisquer complicações em 95 implantes7. Mathur et al. utilizaram uma incisão ao nível da prega inguinal para introduzir os elétrodos na veia femoral formando depois a loca cranial a essa incisão. Contudo, nesta série foram relatadas erosões da pele em dois dos 27 pacientes8.
Tendo em conta a necessidade de formar um ângulo agudo no elétrodo entre o local do acesso venoso e a loca seria de esperar um aumento da incidência de fraturas do mesmo elétrodo. No entanto, esta complicação não tem sido mencionada na literatura. A região inguinal é provavelmente uma área menos móvel do que a área subpeitoral, principalmente em pacientes idosos, tendo como vantagem o facto de não ocorrerem lesões por esmagamento como acontece ao nível do peitoral com a clavícula.
O deslocamento de elétrodos auriculares é uma preocupação real e uma das razões pela qual nesta doente se optou por um pacemaker monocamaral. Ellestad et al. e Mathur et al. relataram, apesar da utilização de elétrodos de fixação ativa6,7, uma taxa de deslocamento de 21 e 20%, respetivamente.
A gravidade exerce um papel importante em todo o comprimento do elétrodo que é inicialmente suspenso apenas a partir do seu ponto de fixação no miocárdio, ao contrário do que acontece quando é inserido a partir da zona peitoral. É por isso importante um correto posicionamento do elétrodo. Elétrodos de fixação ativa só devem ser considerados fixos de uma forma segura após se verificar a presença de uma corrente de lesão adequada9.
A opção tomada relativamente ao posicionamento do eletrocateter em posição septal apical teve como principal objetivo aumentar a porção de elétrodo alojado na cavidade ventricular de forma a aumentar a sua sustentação e maximizar a área passível de posteriores aderências tornando assim o elétrodo mais estável a longo prazo e reduzindo o risco de deslocamento.
Em conclusão, a via femoral constitui uma boa alternativa quando os acessos vasculares subclávios não estão disponíveis. Tem uma baixa morbilidade e é uma técnica relativamente fácil de implementar em comparação com outras abordagens alternativas.
Responsabilidades éticasProteção dos seres humanos e animaisOs autores declaram que os procedimentos seguidos estavam de acordo com os regulamentos estabelecidos pelos responsáveis da Comissão de Investigação Clínica e Ética e de acordo com os da Associação Médica Mundial e da Declaração de Helsinki.
Confidencialidade dos dadosOs autores declaram ter seguido os protocolos de seu centro de trabalho acerca da publicação dos dados de pacientes e que todos os pacientes incluídos no estudo receberam informações suficientes e deram o seu consentimento informado por escrito para participar nesse estudo.
Direito à privacidade e consentimento escritoOs autores declaram ter recebido consentimento escrito dos pacientes e/ ou sujeitos mencionados no artigo. O autor para correspondência deve estar na posse deste documento.
Conflito de interessesOs autores declaram não haver conflito de interesses.









