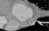
An anomalous aortic origin of the coronary arteries is rare, with a reported incidence of 0.3–1.3%. An anomalous left coronary artery from the right sinus with an interarterial course has a prevalence of 0.17% and is associated with a high risk of sudden cardiac death during or after strenuous exertion. We present the case of a 45-year-old woman with no relevant medical history referred for cardiology consultation due to tachycardia. She reported no other relevant cardiovascular symptoms, including fatigue, dyspnea, dizziness or syncope. Initial examination including electrocardiogram, laboratory tests including thyroid function, echocardiography and 24-hour Holter revealed no significant changes. She performed a treadmill exercise test (7 min 30 s with the Bruce protocol), reaching the maximum predicted heart rate with no angina or arrhythmias, but with ST-segment depression of 1.5 mm in the inferior leads. Given the low likelihood of coronary artery disease, a cardiac computed tomography scan was requested to rule it out, which revealed an anomalous origin of the left coronary artery from the right sinus of Valsalva (Figures 1 and 2) with interarterial course between the aorta and the pulmonary artery (Figures 3 and 4). Her calcium score was 0. Although there is still disagreement on the subject, the AHA/ACC guidelines recommend surgical coronary revascularization in patients with anomalous left coronary artery arising from the right sinus of Valsalva and coursing between the aorta and pulmonary artery (class I recommendation, level of evidence B). After discussion with the patient, the case was referred to our cardiac surgery center.
The authors declare that no experiments were performed on humans or animals for this study.
Confidentiality of dataThe authors declare that they have followed the protocols of their work center on the publication of patient data.
Right to privacy and informed consentThe authors declare that no patient data appear in this article.
Conflicts of interestThe authors have no conflicts of interest to declare.








