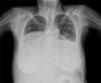
A 55-year-old woman arrived at the emergency room with dyspnea and generalized edema. The patient had as relevant medical history, a mechanical mitral valve, severe tricuspid regurgitation, pericardiectomy apparently due to recurrent pericardial effusion, atrial fibrillation and a pacemaker for complete atrioventricular block. Physical examination revealed signs of right-sided heart failure and tricuspid regurgitation. The chest X-ray (Figure 1), echocardiography and computed tomography (Figure 2) revealed a giant right atrium (18 cm×15.3 cm×16.3 cm) and giant left atrium (13.1 cm×9.6 cm×9.1 cm). Right and left ventricles had normal size and function. She also had severe tricuspid regurgitation and a normally functioning mitral prosthesis. The atria were so large that they were causing pulmonary restriction and dyspnea that was difficult to manage. The patient presented progressive deterioration during hospitalization and despite heart failure treatment she died.
Primary funders: Hospital Universitario San Vicente Fundación and Universidad de Antioquia.
Conflicts of interestThe authors have no conflicts of interest to declare.






