A patologia da aorta é muito variada no que diz respeito à morfologia, apresentação clínica e etiologia.
Apresenta‐se o caso de um homem baleado aos 12 anos, tendo ficado paraplégico. Posteriormente foi detetado um sopro cardíaco e, aos 25 anos, um pseudoaneurisma da aorta torácica descendente, com fistulização para a artéria pulmonar esquerda. Mantido inicialmente em seguimento, com bom status funcional, observa‐se aos 35 anos aumento do volume do ventrículo esquerdo, associado a taquicardia e diminuição da função sistólica. Neste contexto, foi decidida intervenção percutânea, com colocação de prótese aórtica percutânea (TEVAR). Atualmente, com 41 anos, permanece assintomático do ponto de vista cardíaco, mantendo‐se bom resultado da implantação da prótese.
Aortic disease can be highly variable in terms of lesion morphology, clinical presentation and etiology.
We present the case of a young man who suffered a gunshot injury at the age of 12, resulting in paraplegia. Later a murmur was detected and at age 25 a pseudoaneurysm was diagnosed, with fistulization to the left pulmonary artery. Given his good functional status, he was initially managed by a conservative strategy, with regular follow‐up. At age 35 left ventricular dilatation was observed with tachycardia and systolic dysfunction, and he was referred for transcatheter aortic valve replacement. Currently, at age 41, he is well in cardiovascular terms, with a good procedural result and professionally active.
A patologia da aorta é muito variada no que diz respeito à morfologia, apresentação clínica e etiologia. O pseudoaneurisma da aorta torácica é uma patologia pouco frequente, tendo como principais fatores predisponentes a cirurgia torácica e o trauma. A apresentação clínica é variável, dependendo do tamanho, velocidade de instalação e envolvimento de estruturas adjacentes, podendo apresentar‐se como clínica sugestiva de síndrome aórtica ou coronária aguda, morte súbita ou ser completamente assintomática.
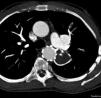
Caso clínicoJovem de 12 anos, baleado acidentalmente na face anterior do tórax (4.°‐5.° espaço intercostal), com traumatismo medular do qual resultou paraplegia. Manteve autonomia funcional, deslocando‐se em cadeira de rodas. Aos 15 anos, em consulta de rotina, foi detetado ligeiro sopro cardíaco, estando assintomático do ponto de vista cardiovascular. Aos 25 anos, apesar de não ter novas queixas, tendo‐se notado um agravamento do sopro (contínuo), foi referenciado a consulta de cardiologia. Durante o estudo etiológico detetou‐se em radiografia do tórax hipodensidade na área para‐hilar esquerda. Este achado foi estudado por TC, que revelou pseudoaneurisma da aorta torácica descendente (Figura 1), com fistulização para a artéria pulmonar esquerda (Figuras 2 e 3).
O caso foi discutido em reunião médico‐cirúrgica e, tendo em conta risco de intervenção e presente estabilidade clínica do doente, optou‐se por não intervir, mantendo seguimento em consulta de cardiologia.
O doente manteve boa atividade, com vida profissional ativa e sem queixas cardíacas durante o período de seguimento em consulta. Em 2007, aos 32 anos, observou‐se aumento da dimensão e diminuição da função sistólica do ventrículo esquerdo (fração de ejeção 41%), provavelmente no contexto do alto débito provocado pela fístula. Tendo em conta esta evolução, o caso foi novamente discutido e decidiu‐se avançar para intervenção. Foi implantada percutaneamente uma prótese aórtica Valiant Thoracic 28mmx100mm, procedimento que decorreu sem intercorrências. Manteve seguimento em consulta de cardiologia, observando‐se boa evolução clínica do ponto de vista cardiovascular, havendo recuperação da função sistólica do ventrículo esquerdo (fração de ejeção estabilizada em 53%).
Neste momento, aos 41 anos, e seis anos após a intervenção, mantém bom resultado da implantação da prótese (Figuras 4 e 5) e continua assintomático do ponto de vista cardiovascular.
Discussão e conclusãoEste caso ilustra a importância de vários simples fatores que podem fazer a diferença para o desfecho de um caso clínico:
- ‐
a clínica (sopro de novo ou com características novas), que foi o ponto de partida e é de importância primordial na avaliação do doente, mesmo num tempo em que dispomos de tecnologias avançadas;
- ‐
novas tecnologias, úteis para a confirmação ou estabelecimento de diagnósticos e ajuda na decisão terapêutica, neste caso a TC e RMN;
- ‐
trabalho de equipa, neste caso a decisão inicial de protelar qualquer intervenção, considerando que o benefício não compensava o risco;
- ‐
TEVAR, uma técnica que tem vindo a assumir uma importância crescente e que se apresentou como uma excelente opção neste doente.
Os autores declaram que para esta investigação não se realizaram experiências em seres humanos e/ou animais.
Confidencialidade dos dadosOs autores declaram ter seguido os protocolos do seu centro de trabalho acerca da publicação dos dados de pacientes.
Direito à privacidade e consentimento escritoOs autores declaram ter recebido consentimento escrito dos pacientes e/ou sujeitos mencionados no artigo. O autor para correspondência deve estar na posse deste documento.


