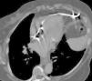
Mulher de 74 anos, com colocação de pacemaker definitivo (VDD) há cerca de 2 anos por BAV de 3.° grau, sem intercorrências, recorre à consulta de pacemaker de rotina. Não apresentava qualquer sintomatologia. Foi detetada disfunção do pacemaker (undersensing e falhas de captura), tendo-se realizado radiograma do tórax em incidência póstero-anterior que mostrou projeção extracardíaca da extremidade do eletrocateter (Figura 1). A doente foi submetida a tomografia computorizada (TC) torácica, com aquisição espiral multidetetores (TCMD 16 cortes) e reconstruções multiplanares 2D (RMP) e 3D que confirmou a localização extracardíaca da extremidade do eletrocateter, com topografia intratorácica justadiafragmática (Figuras 2–4).
TCMD com RMP em plano axial oblíquo demonstrando o trajeto do eletrocateter, parcialmente intraventricular, atravessando depois o miocárdio da parede livre do ventrículo direito e com topografia da sua extremidade na gordura paracardíaca esquerda, próximo da parede torácica. Ausência de derrame pericárdico ou de alterações valorizáveis da gordura mediastínica.
A perfuração do miocárdio por eletrocateter de pacemaker é uma complicação major do uso destes dispositivos, sendo, contudo, pouco frequente, com incidência reportada de 0,3-1,2%.
As perfurações são classificadas como agudas, subagudas ou tardias. As perfurações agudas ocorrem 5-7 dias após a implantação do dispositivo e as subagudas entre 7-30 dias. As perfurações tardias são habitualmente definidas como aquelas que ocorrem mais de 30 dias após implantação. A maioria dos casos descritos na literatura ocorre no primeiro ano.
Na maioria das vezes, a perfuração do miocárdio apresenta-se sintomaticamente com queixas de dor torácica, dispneia, hipotensão ou disfunção do pacemaker. É também possível, embora mais raramente, a ocorrência de sintomas decorrentes da estimulação dos músculos da parede torácica ou soluços por estimulação do diafragma. Mais raramente, como no presente caso, pode ser totalmente assintomática, sendo necessário um elevado índice de suspeição. A radiologia convencional e TC podem confirmar o diagnóstico e documentar o trajeto do eletrocateter.
Responsabilidades éticasProteção de pessoas e animaisOs autores declaram que para esta investigação não se realizaram experiências em seres humanos e/ou animais.
Confidencialidade dos dadosOs autores declaram que não aparecem dados de pacientes neste artigo.
Direito à privacidade e consentimento escritoOs autores declaram que não aparecem dados de pacientes neste artigo.
Conflito de interessesOs autores declaram não haver conflito de interesses.








