A angio-TC pulmonar é o método de escolha para o diagnóstico de tromboembolismo pulmonar (TEP). Estudos têm demonstrado que a gravidade do TEP poderá ser estimada com sistemas de quantificação de carga embólica.
ObjetivoAvaliar a correlação entre um score de carga embólica angiográfica (Qanadli score – QS), com os parâmetros de disfunção ventricular direita (DVD), em pacientes com TEP.
MétodosEstudo retrospetivo de 107 pacientes (feminino – 60%), admitidos por TEP (intermédio/elevado risco) numa UCIC (1/1/2007-30/9/2011). Revistas as imagens de angio-TC de 102 pacientes (TCMD-16C) e quantificado o QS. Estabelecido cut-off de 18 pontos por curva ROC. Constituídos 2 grupos (G) (A<18 versus B≥18 pontos) e comparados os parâmetros clínicos, analíticos, ECG, ecocardiográficos e de angio-TC. Análise estatística com SPSS.
ResultadosA idade média foi de 61,4. Nos sintomas de admissão, verificou-se no GB uma prevalência de queixas de cansaço, dor torácica e síncope/lipotimia (p-0,017) bem como score de Geneva, Wells e Shock-index superiores.
No ECG, a FC média, percentagem de BCRD, inversão da onda T (V1-V3) e de S1Q3T3 (p-0,034) foram superiores no GB, assim como o ECG score (p-0,009).
Analiticamente, o GB apresentou valores de troponina e PDF mais elevados com ClCrMDRD e ratio PO2/fiO2 inferiores. No ecocardiograma, os valores de PSAP foram superiores no GB. Na angio-TC, o GB apresentou diâmetros do VD, ratio VD/VE (p-0,002), veia cava (VC) superior, veia ázigos e seio coronário, superiores. Os diâmetros da artéria pulmonar (AP) e o ratio AP/aorta foram semelhantes. A percentagem de sobrecarga no septo IV e refluxo na VC inferior foram superiores no GB, revelando-se o QS>18 preditor independente de DVD (VD/VE > 1) (OR:10,85; p<0,001) (AUC-ROC: 0,79; p<0,001). A percentagem de tratamento fibrinolítico foi superior no GB (p-0,045), sendo a taxa de mortalidade intra-hospitalar (global-4,9%) idêntica entre grupos.
ConclusõesUm QS>18 pontos revelou-se preditor independente de DVD no TEP, correlacionando-se linearmente com multivariáveis associadas a morbi/mortalidade mais elevada.
Pulmonary angiography by computed tomography (CT) is the method of choice for the detection of acute pulmonary embolism (PE). Studies have shown that the severity of PE can be estimated by clot burden scores.
ObjectiveTo evaluate the correlation between an angiographic clot burden score (Qanadli score - QS) and parameters of right ventricular dysfunction (RVD) in patients admitted for PE.
MethodsWe performed a retrospective study of 107 patients (60% female) admitted to an intensive care unit for PE (intermediate/high risk) between January 1, 2007 and September 30, 2011. Images from 16-slice multidetector CT angiography were reviewed in 102 patients and the QS calculated. Based on a cut-off of 18 points established by ROC curve analysis, two groups were formed (A<18 points vs. B ≥18 points) and the clinical, laboratory, ECG, echocardiographic and CT angiography parameters were compared. The statistical analysis was performed using SPSS.
ResultsThe overall mean age was 61.4 years. With regard to symptoms at admission, there was a greater prevalence in group B of fatigue, chest pain and syncope (p=0.017), with higher Geneva and Wells scores and shock index.
In terms of ECG parameters, heart rate and percentage of right bundle branch block, T-wave inversion (V1-V3) and S1Q3T3 pattern (p=0.034) were higher in group B, as was the ECG score (p=0.009).
Laboratory tests revealed that group B had higher troponin and d-dimers, with lower creatinine clearance by the MDRD formula (p=0.020) and PO2/FiO2 ratio. Echocardiography showed higher pulmonary artery systolic pressure in group B, and CT angiography revealed larger right ventricular (RV) diameters and higher RV/LV ratio (p=0.002), and greater superior vena cava, azygos vein and coronary sinus diameters in this group. Pulmonary artery (PA) diameter and the PA/aorta ratio were similar. Interventricular septal bowing and reflux of contrast into the inferior vena cava (p=0.001) were greater in group B, and QS>18 was an independent predictor of RVD (RV/LV ratio>1) (OR: 10.85; p<0.001) (area under the curve on ROC analysis: 0.79; p<0.001). The percentage of patients receiving fibrinolytic treatment was higher in group B (p=0.045), and in-hospital mortality was similar in both groups (overall 4.9%).
ConclusionsQS >18 points proved to be an independent predictor of RVD in PE, and correlated linearly with variables associated with higher morbidity and mortality.
Artéria aorta
Artéria pulmonar
Bloqueio completo de ramo direito
Bloqueio incompleto ramo direito
Clearance creatinina
Disfunção ventricular direita
Electrocardiograma
Ecocardiograma
Frequência cardíaca
Pressão arterial diastólica
Pressão arterial sistólica
Pressão sistólica artéria pulmonar
Qanadli Score
Seio Coronário
Septo interventricular
Serviço de urgência
Tomografia computorizada multidetectores
Tromboembolismo pulmonar agudo
Troponina
Trombose venosa profunda
Unidade de cuidados intensivos cardíacos
Veia ázigos
Veia cava inferior
Veia cava superior
Ventrículo direito
Ventrículo esquerdo
O tromboembolismo pulmonar agudo (TEP) é uma doença comum e potencialmente fatal, possuindo uma taxa de mortalidade entre 2-7%, mesmo quando tratada com anticoagulação adequada1.
A introdução da angio-TC pulmonar multidetetores (TCMD) tem modificado consideravelmente a abordagem do TEP, sendo atualmente o método de escolha para o seu diagnóstico devido à sua conveniência, velocidade, sensibilidade, visualização direta de coágulos e capacidade de fornecer diagnósticos alternativos2.
Perante pacientes com choque/hipotensão na sequência de TEP, a ecocardiografia é recomendada como um exame de primeira linha para diagnosticar os sinais de disfunção ventricular direita (DVD)3,4. Contudo, uma proporção substancial dos pacientes normotensos com TEP (40%) poderá apresentar sinais ecocardiográficos de DVD. Estes pacientes com compromisso hemodinâmico latente possuem um risco de 10% para desenvolvimento de choque e uma taxa de mortalidade intra-hospitalar de 5%3,5. No entanto, sendo a TCMD a técnica de primeira linha no diagnóstico de TEP, a avaliação de DVD através desta técnica imagiológica facilitaria a estratificação do risco de todos os pacientes3.
Em pequenos estudos utilizando a tomografia helicoidal computorizada, a relação entre os diâmetros do ventrículo direito versus ventrículo esquerdo (VD/VE curto eixo) tem sido proposto como um sinal preciso para a presença de DVD6–9. Além deste, outros critérios têm sido propostos no âmbito da TCMD, incluindo o desvio do septo interventricular (SIV), o ratio dos diâmetros da artéria pulmonar (AP) versus artéria aorta (AO), diâmetros da veia cava superior (VCS), veia ázigos (VA) e seio coronário (SC). O refluxo de contraste na VC inferior e VA é também um sinal associado a DVD10,11.
Além dos sinais diretos e indiretos de sobrecarga VD, a extensão do TEP (quantificada em scores embólicos) tem sido proposta ao longo dos anos, como um importante parâmetro preditor de DVD8,12–14. Tipicamente, um index de obstrução entre 40-60% relaciona-se com TEP de intermédio/elevado risco. Todavia, a sua relação global com os parâmetros clínicos, analíticos, eletrocardiográficos (ECG) ecocardiográficos (ECO) e com a dimensão das estruturas cardíacas não se encontra esclarecida na literatura atual.
Assim sendo, o objetivo do nosso estudo foi avaliar a correlação entre um score de carga embólica angiográfica previamente estabelecido (Qanadli score – QS), com os parâmetros de DVD (clínicos e de exames complementares de diagnóstico), em pacientes admitidos por TEP.
Materiais e métodosRegisto globalO nosso estudo consistiu numa análise retrospetiva de 107 pacientes, admitidos com o diagnóstico de TEP (intermédio ou elevado risco) numa unidade de cuidados intensivos cardíacos (UCIC) num período compreendido entre janeiro de 2007 a setembro de 2011.
Foram revistas as imagens de angio-TC de 102 pacientes (TAC multidetetores (TCMD) 16 cortes), sendo excluídos doentes em que a angio-TC não se apresentava disponível no sistema informático ou em que a sua qualidade de imagem impedisse uma avaliação precisa. Determinou-se as dimensões das estruturas cardíacas e vasculares relacionadas com a patologia embólica em estudo, sendo quantificada a carga embólica na árvore vascular pulmonar através de um score previamente estabelecido e validado (QS)12.
A colheita de análises e do eletrocardiograma (ECG) foi efetuada no momento de admissão no serviço de urgência (SU) e, posteriormente, durante o internamento em ambiente de UCIC. O ecocardiograma foi efetuado no momento de admissão na referida unidade.
PacientesApós a determinação do valor da carga embólica, foi estabelecido um cut-off de 18 pontos por curva ROC (Figura 1).
Foram constituídos 2 grupos, grupo A (n=39) < 18 pontos versus grupo B (n=63)≥18 pontos, e compararam-se os parâmetros clínicos, analíticos, de ECG, ecocardiográficos e de angio-TC.
Estudo imagiológicoAs imagens de TCMD foram adquiridas na direção craniocaudal (colimação de 1,25mm), permitindo uma avaliação precisa das artérias pulmonares principais, lobares, segmentares e subsegmentares, ao nível dos lobos inferiores, médios e superiores.
Um bólus de 120mL de contraste iodado (concentração de 350mg/mL) foi injetado na veia antecubital esquerda (quando possível) a uma taxa de 4ml/s, utilizando um injetor automático.
As imagens foram revistas por 2 radiologistas numa workstation de modo independente, desconhecendo as variáveis clínicas, exames complementares e prognóstico intra-hospitalar dos pacientes.
Para definir o índice de obstrução na TCMD, a árvore arterial de cada pulmão foi considerada como tendo 10 artérias segmentares (3 para os lobos superiores, 2 para o lobo médio e língula e 5 para os lobos inferiores), atribuindo-se 1 ponto a cada artéria obstruída12. No caso das embolias que envolviam uma artéria pulmonar principal ou lobar, atribuiu-se uma pontuação referente ao número de artérias segmentares não vascularizadas.
Para fornecer informações adicionais acerca da perfusão distal residual, um fator de ponderação foi atribuído a cada valor dependendo do grau de obstrução vascular presente (obstrução total=2 pontos) (Tabela 1), obtendo-se um score máximo possível de 40 pontos.
Qanadli score
| N.° artérias avaliadas | Ponderação | Score máximo (pontos) | |
| Qanadli et al.12 | 10 artérias segmentares em cada pulmão (n=20) | 0-normal1-parcial2-total | 40 |
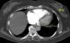
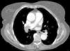
Para além da avaliação da carga embólica na TCMD, foram efetuadas medições quantitativas dos diâmetros das estruturas vasculares (VCS e VA) e cardíacas (VD, VE, ratio VD/VE; SC, AP, Ao, ratio Ap/Ao) relacionadas com a árvore pulmonar. O desvio do SIV e o refluxo de contraste na veia cava inferior (VCI) foram avaliados qualitativamente, de forma a definir os sinais de DVD (Figuras 2-5).
ECG score modificadoO ECG foi efetuado em todos os pacientes, como parte de uma avaliação clínica inicial aquando da admissão no SU. Foi calculado um ECG score (modificado), com base num ECG score previamente validado15 (Tabelas 2 e 3).
ECG score
| Características ECG | Score |
| Taquicardia (>100bpm) | 2 |
| Bloqueio incompleto de ramo direito (BIRD) | 2 |
| Bloqueio completo de ramo direito (BCRD) | 3 |
| Inversão T V1- V4 | 4 |
| Inversão de onda T V1(mm) | |
| <1 | 0 |
| 1-2 | 1 |
| >2 | 2 |
| Inversão de onda T V2(mm) | |
| <1 | 1 |
| 1-2 | 2 |
| >2 | 3 |
| Inversão de onda T V3(mm) | |
| <1 | 1 |
| 1-2 | 2 |
| >2 | 3 |
| Onda S em DI | 0 |
| Onda Q em DIII | 1 |
| Inversão onda T DIII | 1 |
| S1Q3T3presente | 2 |
| Total | 21 |
Fonte: Daniel KR et al.15.
Q3: Onda Q em DIII; S1Q3T3: S1-Onda S em DI; T3: inversão de onda T em DIII.
Foram excluídas algumas variáveis do ECG score prévio e ajustados os pontos atribuídos a cada variável. Foi removida a quantificação dos milímetros de inversão de onda T de V1-V3, visto considerarmos que a presença de inversão de onda T nestas derivações já era alvo de avaliação qualitativa no ECG score. Além disso, somente se atribuiu significado ao padrão de S1Q3T3 quando todas as suas componentes estavam presentes.
Análise estatísticaOs resultados obtidos derivam de análise estatística com o programa SPSS, sendo apresentados na forma de médias (com desvio padrão-SD) e percentagens globais. As variáveis em análise foram comparadas usando os testes chi-squared e independent t-test. Foram traçadas curvas ROC para estabelecimento do melhor valor de corte para o QS. Um valor de p<0,05 foi considerado como estatisticamente significativo.
ResultadosPopulação globalDos 102 pacientes incluídos (com média de idade global de 61,5 anos), 36,7% constituíam o grupo A e 63,3% o grupo B (Tabela 4), ocorrendo um predomínio global do sexo feminino (63,3%), o qual se manteve em ambos os grupos (Figuras 6 e 7). A carga embólica média foi de 18,46 pontos.
Da análise dos fatores de risco para TEP, não se verificaram diferenças na percentagem de TVP. A cirurgia recente preponderou no grupo A, com os restantes fatores de risco a predominarem no grupo B (sem significado estatístico).
Nos sintomas de admissão, verificou-se no grupo B uma prevalência de queixas de cansaço, dor torácica e sincope/lipotimia (p-0,017) bem como score de Geneva, Wells e Shock index (p-0,006) superiores (Tabela 5).
Características clínicas na admissão hospitalar (subgrupos)
| Subgrupos (Qanadli score) | |||
| QS<18 (n=39) | QS>18 (n=63) | Valor p | |
| Idade média | 61,4 | 59,1 | 0,57 |
| Fatores de risco | |||
| TVP | 23,5% | 23,3% | 0,640 |
| Cirurgia (< 1 mês) | 35,3% | 16,7% | |
| Fratura óssea (<1 mês) | 5,9% | 10% | |
| Neoplasia | 11,8% | 16,7% | |
| Anticoncetivos orais | 5,9% | 13,3% | |
| Antecedentes de TEP | 0% | 6,7% | |
| Lúpus/doenças autoimunes | 0% | 3,3% | |
| Gravidez | 0% | 3,3% | |
| Sintomas de admissão | |||
| Dispneia/polipneia | 75,8% | 70,2% | 0,376 |
| Astenia | 30,3% | 38,6% | 0,288 |
| Dor torácica | 48,5% | 57,9% | 0,260 |
| Síncope/lipotimia | 21,2% | 45,9% | 0,017* |
| Tosse | 18,2% | 17,5% | 0,576 |
| Hemoptises | 6,1% | 3,5% | 0,468 |
| Scores clínicos | |||
| Score Geneva | 5,7 (±3,4) | 6,3 (±1,9) | 0,457 |
| Score Wells | 4,2 (±2,4) | 4,5 (±1,8) | 0,529 |
| Perfis tensionais | |||
| PAS (mmHg) | 127,3 (±22,4) | 113,3 (±24,2) | 0,008* |
| PAD (mmHg) | 75,9 (±15,3) | 72 (±18) | 0,293 |
| Shock index (FC/PAS) | 0,78 (±0,24) | 0,97 (±0,31) | 0,006* |
PAD: pressão arterial diatólica; PAS: pressão arterial sistólica; TVP: trombose venosa profunda.
No ECG, a frequência cardíaca (FC) média foi superior no GB. Neste mesmo grupo, as percentagens de bloqueio completo de ramo direito (BCRD), inversão da onda T (V1-V3) e de S1Q3T3 (p-0,034) foram superiores, traduzindo-se em média de ECG score modificado mais elevada (Tabela 6).
Características eletrocardiográficas, analíticas, ecocardiográficas e de angio-TC (subgrupos)
| Subgrupos (Qanadli score) | |||
| QS<18 (n=39) | QS>18 (n=63) | Valor p | |
| Eletrocardiograma | |||
| FC média (bpm) | 96,9 (±23,1) | 105 (±22,1) | 0,102 |
| Fibrilhação auricular (%) | 12,1% | 5,3% | 0,220 |
| BCRD (%) | 12,1% | 15,8% | 0,489 |
| INV T (V1-V3) (%) | 36,4% | 52,6% | 0,101 |
| S1Q3T3 (%) | 15,2% | 35,1% | 0,034* |
| ECG score | 3,34 (±3,7) | 5,63(±3,9) | 0,009* |
| Analiticamente | |||
| ClCr MDRD (ml/min) | 82,9 (±32,6) | 66,5 (±29) | 0,02* |
| PO2/FiO2 | 280,3 (±61,3) | 262,4 (±67,4) | 0,237 |
| D-Dímeros (ng/ml) | 6729 (±10500) | 8467 (±15506) | 0,574 |
| Troponina máx. (ng/ml) | 0,37 (±1,33) | 0,82 (±1,26) | 0,142 |
| Ecocardiograma | |||
| PSAP (mmHg) | 47,7 (±12,9) | 53,8 (±14,8) | 0,262 |
| Angio-TC | |||
| Diâmetro VD (mm) | 41,8 (±7,9) | 47,3 (±7,1) | 0,001* |
| Ratio VD/VE | 1,18 (±0,47) | 1,48 (±0,39) | 0,002* |
| Diâmetro AP (mm) | 30,2 (±5,5) | 29,6 (±3,4) | 0,513 |
| Ratio AP/Ao | 0,86 (±0,16) | 0,92 (±0,17) | 0,115 |
| Diâmetro VCS (mm) | 21 (±4,9) | 22,4 (±3,8) | 0,133 |
| Diâmetro VA (mm) | 9,6 (±2,67) | 10,1 (±2,2) | 0,41 |
| Diâmetro SC (mm) | 10,5 (±2,17) | 11,5 (±3,18) | 0,107 |
| Sobrecarga SIV (%) | 61,8% | 86,2% | 0,008* |
| Refluxo VCI (%) | 21,9% | 57,1% | 0,001* |
ClCr: clearance creatinina
Analiticamente, o grupo B apresentou valores de troponina e d-dimeros mais elevados, com clearance de creatinina (ClCrMDRD) (p-0,020) e ratio PO2/fiO2 inferiores. No ecocardiograma, os valores de pressão sistólica artéria pulmonar (PSAP) foram superiores no GB (Tabela 6).
Na angio-TC, o grupo B apresentou diâmetros do VD, ratio VD/VE (p-0,002), VCS, VA e SC superiores. Os diâmetros da AP e o ratio AP/aorta foram semelhantes.
A percentagem de sobrecarga no septo IV e refluxo na VC inferior (p-0,001) foram superiores no GB, revelando-se o QS > 18 pontos, preditor independente de DVD (VD/VE > 1) (OR:10,85 [CI 3,20-36,77]; p<0,001) (AUC ROC: 0,79; p<0,001) com uma sensibilidade estimada em 78,4% e especificidade em 79% (Figura 1, Tabela 7).
Preditores independentes de DVD
| Preditores independentes de DVD | |||
| OR | CI | Valor p | |
| Síncope/lipotimia | 1,70 | 1,36-2,12 | 0,001 |
| Taquipneia | 1,61 | 1,05-2,46 | 0,042 |
| S1Q3T3 | 8,77 | 1,11-69,4 | 0,011 |
| ECG score> 5 | 2,85 | 1,04-8,61 | 0,048 |
| Troponina I> 0,10ng/ml | 4,98 | 1,47-16,8 | 0,006 |
| QS>18 pontos | 10,85 | 3,20-36,7 | < 0,001 |
| SC>10mm | 2,93 | 1,03-8,32 | 0,037 |
| Sobrecarga do SIV | 10,19 | 3,43-30,2 | < 0,001 |
| Refluxo na VCI | 10,55 | 2,29-48,5 | < 0,001 |
Na restante análise univariada, identificaram-se igualmente como preditores de DVD: síncope/lipotimia; taquipneia; padrão de S1Q3T3; ECG score modificado> 5; pico de troponina i>0,10ng/ml; abaulamento do SIV; refluxo de constraste na VCI e diâmetro do SC >10mm (Tabela 7). Da avaliação comparativa das curvas ROC, verificou-se que o QS apresentou uma AUC superior à troponina máxima, cuja associação a DVD se encontra fortemente estabelecida (Figura 1).
A percentagem de tratamento fibrinolítico foi superior no grupo B (p-0,049) sendo a taxa de mortalidade intra-hospitalar (global – 4,9%; n=5) idêntica entre os grupos (Figura 8).
DiscussãoExistem variadas razões para definir e calcular o score da carga embólica visualizada na TCMD. Em primeiro lugar, a TCMD é um método preciso no diagnóstico de TEP. Através da definição de um índice de obstrução específico, teremos um score objetivo e reprodutível que pode ser usado na comunicação interdisciplinar entre a clínica e a imagiologia.
Em segundo lugar, o grau da obstrução vascular permitirá estratificar o risco dos pacientes, identificando candidatos a terapêuticas mais agressivas. Em terceiro lugar, o score de carga embólica estabelecido permitirá monitorizar de forma não invasiva (com estudos imagiológicos subsequentes) os efeitos da terapêutica efetuada12.
Encontram-se descritos na literatura alguns scores de carga embólica possuindo diferentes sistemas de avaliação da árvore pulmonar e, consequentemente, diferentes pontuações2,12,14,16,17. O uso do Qanadli score como referência deve-se ao facto de o termos considerado o mais fácil de calcular em termos imagiológicos, facilitando a menor variabilidade interobservador na medida em que o seu fator de ponderação o torna mais objetivo (Tabela 1). A título comparativo, ao avaliar-se o Mastora score14 (Tabela 8) nos estudos imagiológicos realizados, verificou-se uma maior dificuldade e demora no seu cálculo devido a um sistema de ponderação mais complexo, tendo-se abandonado a sua utilização.
No seu estudo, Qanadli et al. não estabeleceram uma relação linear entre o score de carga embólica e outros parâmetros de DVD (clínicos e de exames complementares de diagnóstico) de forma a potenciar os resultados obtidos, situação que se mantém na literatura atual.
No entanto, os resultados do nosso registo sugerem forte interação entre o QS com os parâmetros clínicos, de ECG, ecocardiográficos e de angio-TC, aos quais já se encontra atribuído individualmente forte valor preditivo de DVD, conferindo uma sensibilidade e especificidade importantes ao score em causa para TEP de intermédio/elevado risco (Figura 1).
Carga embólica e clínica de admissão (Tabela 5)Reportámos no nosso registo uma percentagem de obstrução de 46,15% (QS médio de 18,46 pontos), superior à descrita por Wu et al.13 e Qanadli et al.12, justificado pelas características clínicas da população em estudo, visto somente envolver pacientes de intermédio ou elevado risco.
Em termos globais, os grupos estabelecidos apresentaram-se homogéneos em termos etários, com um predomínio do sexo feminino em ambos os grupos. Apesar de não existirem diferenças significativas ao nível dos fatores de risco, verificou-se forte associação de sintomas de síncope/lipotimia a QS mais elevados (p-0,017), relacionando-se com o impacto da carga embólica nas pressões pulmonares e na função VD. Os scores clínicos (Geneva e Wells) foram ligeiramente superiores no grupo B, revelando-se neste um shock index superior (p-0,006) conferindo maior morbilidade a um QS > 18 pontos.
Carga embólica e eletrocardiograma (Tabela 6)Um variado número de alterações no ECG têm sido associadas à severidade do TEP. O valor do ECG score desenvolvido por Daniel et al.15 (Tabela 2) aumenta com a severidade da hipertensão pulmonar associado ao TEP, identificando pacientes com maior percentagem de defeitos de perfusão.
A análise do ECG revelou FC médias mais elevadas e percentagem de BCRD ligeiramente superior no grupo B. Contudo, foi ao nível da percentagem de inversão de onda T (V1-V3), S1Q3T3 (p-0,034) e nos valores médios do ECG score modificado (p-0,009) que se revelaram as diferenças mais significativas (predominando estas alterações dinâmicas no grupo B) traduzindo uma correlação linear entre a carga embólica pulmonar e as perturbações ventriculares direitas de superfície.
Carga embólica e valores analíticos (Tabela 6)Os resultados obtidos no nosso estudo potenciam a relação entre a carga embólica e preditores analíticos independentes para gravidade da TEP, revelando a interação multiorgânica do QS. Deste modo, verificou-se que um QS>18 pontos se associou a ClCr MDRD inferiores (p-0,02), ratio PO2/FiO2 inferiores e valores de TnI máxima superiores.
Neste contexto, vários estudos potenciam a forte interação dos valores de TnI e a gravidade de DVD no TEP, atribuindo a este fator forte impacto no risco e prognóstico4,18,19. Da análise dos nossos resultados e após calcular a AUC por curvas ROC, verificou-se que o QS possui uma AUC superior à TnI para DVD (Figura 1), com a análise univariada a revelar um OR mais elevado para este score (Tabela 7), atribuindo ao QS forte valor na estratificação de risco no TEP.
Carga embólica e imagiologia (Tabela 6)A nível ecocardiográfico verificou-se que o grupo B possuiu valores de PSAP tendencialmente mais elevados na admissão na UCIC, não sendo as diferenças significativas (facto já descrito por Qanadli et al. e Miller et al.). Em doentes com TEP, a obstrução da árvore arterial pulmonar é o fator principal no aumento da resistência vascular, resultando em hipertensão pulmonar. No entanto, o perfil hemodinâmico poderá depender da existência prévia de doença pulmonar12. Deste modo, uma melhor correlação entre a pressão arterial pulmonar média e a severidade da obstrução foi reportada num grupo selecionado de pacientes sem patologia pulmonar prévia, comparativamente a pacientes não selecionados (como é o caso do nosso estudo)20. Os restantes parâmetros de DVD não foram incluídos nos resultados, por não estarem disponíveis em todos os pacientes e pela variabilidade interobservador.
Na angio-TC, o QS correlacionou-se linearmente com os parâmetros de DVD avaliados (diâmetros do VD, VCS, VA e SC; ratio VD/VE e AP/Ao; percentagem de sobrecarga no SIV e de refluxo na VCI), conferindo à carga embólica avaliada por QS um potencial multiparâmetros que ainda não se encontrava descrito na literatura.
Avaliando a curva ROC para DVD, determinou-se um cut-off de 45% de obstrução vascular pulmonar para a ocorrência de sinais de DVD (com sensibilidade e especificidade significativas), sendo um valor intermédio ao obtido por Qanadli et al. (40%)12 e Mastora et al. (49%)14.
Através de análise univariada identificaram-se como fatores independentes para DVD a presença de síncope na admissão, taquipneia, padrão de S1Q3T3, ECG score> 5 pontos, TnI>0,10ng/ml, QS>18 pontos, SC>10mm, sobrecarga do SIV e refluxo de contraste na VCI, possuindo o QS o OR mais elevado (Tabela 7).
Carga embólica e mortalidadeA taxa de mortalidade intra-hospitalar foi de 4,9%, não existindo diferenças entre os grupos.
Embora outros estudos tenham reportado uma fraca relação entre scores de carga embólica e a mortalidade a curto prazo em pacientes com TEP, não existem estudos na literatura atual (do nosso conhecimento) que potenciem a associação entre a carga embólica na admissão hospitalar e outcomes a longo prazo (mortalidade a 12 meses)1.
Existem 2 pequenos estudos retrospetivos que sugerem correlação entre a carga embólica angiográfica e a mortalidade a curto prazo3,13. Wu et al.13 reportaram que pacientes com uma carga embólica superior a 60% possuíram taxas de mortalidade mais elevadas. Contudo, estes autores e Van der Meer et al.3 estabeleceram uma relação entre o QS e a taxa de mortalidade, facto não potenciado pelos nossos resultados.
LimitaçõesO nosso estudo possui algumas limitações que devem ser descritas.
Em primeiro, trata-se de uma população selecionada com TEP de intermédio e elevado risco possuindo inerentemente cargas embólicas elevadas (QS médio de 18,46) não ocorrendo comparação com uma população de baixo risco.
Em segundo lugar, a presença de cardiopatia estrutural ou doença pulmonar prévias não foi alvo de análise, o que influencia as pressões pulmonares e as dimensões das cavidades cardíacas obtidas na angio-TC.
Em terceiro lugar, as imagens de angio-TC foram revistas por 2 radiologistas, não existindo qualquer avaliação do grau de concordância entre observadores, ficando os resultados dependentes da variabilidade associada.
ConclusõesO nosso estudo revelou que a avaliação da carga embólica pulmonar através de um score reprodutível e objetivo é uma ferramenta de forte impacto clínico e imagiológico, permitindo estratificar os pacientes numa escala de risco, selecionando «candidatos» a terapêuticas mais agressivas. Através dos nossos resultados estabeleceu-se um cut-off para o QS de 18 pontos, o qual se revelou um forte preditor independente de DVD no TEP, correlacionando-se linearmente com multivariáveis associadas a morbi/mortalidade mais elevada. De salientar que os dados descritos não seriam possíveis de alcançar sem a interação entre radiologistas e clínicos, permitindo uma racionalização de tempo/recursos perante uma patologia de morbilidade e mortalidade elevada.
Conflito de interessesOs autores declaram não haver conflito de interesses.




















