A miocardiopatia em dentes de serra é uma forma rara de displasia ventricular esquerda, com apenas três casos descritos na literatura. O seu fenótipo peculiar, constituído por projeções de miocárdio compacto, levou alguns autores a considerarem‐na uma variante da não compactação ventricular esquerda.
Apresentamos o caso de um doente do sexo masculino, atualmente com 21 anos, enviado ao nosso serviço ao mês de vida por quadro de insuficiência cardíaca congestiva. Antecedentes familiares irrelevantes para patologia do foro cardiovascular. O ecocardiograma inicial demonstrou dilatação das cavidades esquerdas e disfunção sistólica severa. A investigação etiológica realizada excluiu cardiopatia estrutural e as causas infeciosa, metabólica, genética e neuromuscular.
Após o episódio inaugural, o doente manteve seguimento regular em consulta de cardiologia pediátrica.
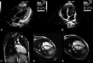
Aos 16 anos, o ecocardiograma mostrava numerosas projeções miocárdicas ecodensas com morfologia em «dentes de serra» na parede inferior, lateral e septo posterior do ventrículo esquerdo (VE), com protusão para a sua cavidade (painéis A e B).
Painel A – ecocardiograma transtorácico bidimensional, projeção apical quatro câmaras modificada, demonstrando projeções miocárdicas ecodensas com morfologia em «dentes de serra».
Painel B – ecocardiograma transtorácico bidimensional, projeção apical quatro câmaras modificada, demonstrando projeções miocárdicas ecodensas com morfologia em «dentes de serra».
Painel C – ressonância magnética cardíaca, eixo longo duas câmaras, demonstrando projeções de miocárdio aparentemente compacto com origem na parede inferior do VE.
Painel D – ressonância magnética cardíaca, corte axial quatro câmaras, demonstrando projeções de miocárdio aparentemente compacto com origem na parede lateral do VE e na face esquerda do septo interventricular.
Painel E – ressonância magnética cardíaca, corte axial quatro câmaras, demonstrando projeções de miocárdio aparentemente compacto com origem na parede lateral do VE e na face esquerda do septo interventricular.
Para melhor esclarecimento morfológico e funcional, o doente foi submetido a ressonância magnética cardíaca. Observaram‐se numerosas projeções de miocárdio aparentemente compacto com origem nas paredes inferior e lateral do VE, e na face esquerda do septo interventricular (painéis C, D e E). Diminuição marginal da função sistólica global, com áreas de hipocinesia de distribuição não coronária, no septo interventricular e ápex do VE. Ausência de realce tardio miocárdico, após administração de gadolínio.
Apesar da semelhança fenotípica com não compactação ventricular esquerda, não se cumpriam critérios imagiológicos para o diagnóstico desta entidade.
Responsabilidades éticasProteção de pessoas e animaisOs autores declaram que para esta investigação não se realizaram experiências em seres humanos e/ou animais.
Confidencialidade dos dadosOs autores declaram ter seguido os protocolos do seu centro de trabalho acerca da publicação de dados de pacientes.
Direito à privacidade e consentimento escritoOs autores declaram que não aparecem dados que permitam a identificação de pacientes neste artigo.
Conflito de interessesOs autores declaram não haver conflito de interesses.





