Mulher de 77 anos, com antecedentes de hipertensão arterial, angioplastia da descendente anterior, acidente vascular cerebral isquémico, estenose mitral reumática e fibrilhação auricular. Foi submetida a cirurgia ginecológica, sendo efetuado o switch de varfarina para enoxaparina; aquando da alta hospitalar, apresentava INR infraterapêutico, tendo já reiniciado varfarina em sobreposição com enoxaparina em dose profilática.
Duas semanas após o procedimento, foi admitida na urgência por desconforto torácico, apresentando‐se hipotensa e com sinais de hipoperfusão periférica. No eletrocardiograma, apresentava fibrilhação auricular com bloqueio auriculoventricular completo e supradesnivelamento ST nas derivações inferiores.
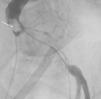
Foi orientada para angioplastia primária, não sendo passível a sua execução por via radial pela tortuosidade da artéria subclávia (Figura 1A). O acesso femoral foi dificultado pela ausência de pulso, sendo a punção guiada por contraste (Figura 1B e 1C); constatou‐se oclusão da ilíaca externa, ultrapassada utilizando uma guia hidrofílica. Observou‐se oclusão do segmento médio da coronária direita por trombo (Figura 2A), sendo realizada trombectomia (Figura 2B).
Cateterismo esquerdo: (A) cateterização por via radial impossibilitada pela tortuosidade da artéria subclávia, que impedia a progressão do fio‐guia; (B) punção da artéria femoral esquerda guiada por contraste; (C) durante a cateterização por via femoral, era aparente uma estrutura (seta) filiforme e móvel, sugestiva de trombo.
Após reperfusão, a doente mantinha sinais de hipoperfusão restritos aos membros inferiores. Este achado, aliado ao difícil acesso femoral, motivou a realização de aortografia, que evidenciou oclusão trombótica da aorta abdominal infrarrenal com extensão às ilíacas (Figura 3). No ecocardiograma visualizava‐se uma massa na aurícula esquerda, compatível com trombo (Figura 4). Foi efetuada tromboembolectomia do eixo ilíaco esquerdo e pontagem femoro‐femoral; contudo, a doente evoluiu com quadro de disfunção multiorgânica com desfecho fatal.
Este caso reporta uma «catástrofe» cardioembólica com embolização coronária e sistémica, salientando a importância da orientação adequada da hipocoagulação no perioperatório.
Responsabilidades éticasProteção de pessoas e animaisOs autores declaram que para esta investigação não se realizaram experiências em seres humanos e/ou animais.
Confidencialidade dos dadosOs autores declaram ter seguido os protocolos do seu centro de trabalho acerca da publicação dos dados de pacientes.
Direito à privacidade e consentimento escritoOs autores declaram ter recebido consentimento escrito dos pacientes e/ou sujeitos mencionados no artigo. O autor para correspondência deve estar na posse deste documento.
Conflito de interessesOs autores declaram não haver conflito de interesses.








