A 65-year-old Caucasian female with a prior history of mitral valve replacement with a mechanical prosthesis was admitted to the emergency room of our hospital complaining of exertional dyspnea and left eye amaurosis fugax. A laboratory panel showed her international normalized ratio to be suboptimal (1.8).
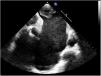
A transthoracic echocardiogram (TTE) showed a normally functioning prosthetic mitral valve and a huge left atrium (volume approximately 500 ml) (Figure 1a, *); moving from the apex to the midaxillary line from an off-axis view (Figure 1b, +), a giant left atrial appendage (LAA) appeared presenting severe enlargement with smoke and a massive thrombosis of the fundus (Figure 2).
Computed tomography of the brain and of the chest was performed soon after to exclude ischemic stroke or pulmonary embolism, with a negative result and confirming the TTE findings (Figure 3).
The patient was diagnosed with a transient ischemic attack and LAA thrombosis and admitted to our intensive care unit to be started on heparin infusion.
Conflicts of interestThe authors have no conflicts of interest to declare.







