Epicardial fat necrosis is a rare condition that should be considered in the differential diagnosis of chest pain. It is a benign self-limited disease of unknown etiology with a good prognosis. The presenting symptom is left-sided pleuritic chest pain and it appears in previously healthy individuals. Computed tomography (CT) or magnetic resonance imaging can confirm the diagnosis.
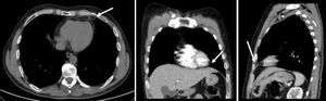
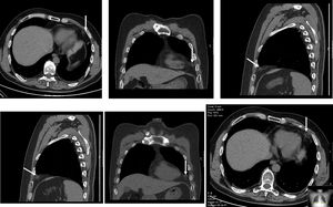
A healthy 50-year-old man was admitted to the emergency department for sudden intense pain located in the lower left anterior part of the chest, worsened by deep inspiration and with 10 hours of duration. The patient had had no similar episodes previously. He presented with tachypnea (29 cpm), tachycardia (heart rate 110 bpm) and diaphoresis. The electrocardiogram showed sinus tachycardia, without ischemic changes. Results of blood studies, arterial blood gas testing, cardiac markers, transthoracic echocardiogram and chest radiography were normal. Thoracic CT (Figure 1) showed an ovoid encapsulated mediastinal (epipericardial) fatty lesion in the left cardiophrenic angle with a soft tissue rim and intrinsic and surrounding soft tissue stranding, without pleural effusion. During hospitalization, the patient remained stable under analgesic therapy and was discharged with medication for symptomatic relief (non-steroidal anti-inflammatory drugs). After two and five months, thoracic CT showed a reduction of the lesion (Figures 2 and 3).
Epicardial fat necrosis is an uncommon condition that should be considered in healthy patients presenting with chest pain. At admission, these patients can mimic emergent conditions, such as pulmonary embolism or acute coronary syndrome. Our goal is to raise the awareness of clinicians and radiologists for this condition.
Conflicts of interestThe authors have no conflicts of interest to declare.







