Doente do género masculino, de 50 anos de idade, ex-toxicodependente, admitido no Serviço de Cardiologia por endocardite fúngica da válvula aórtica complicada de insuficiência aórtica grave, enfartes cerebrais e pseudoaneurisma da artéria ilíaca comum direita. Enquanto aguardava transferência para o serviço de cirurgia cardiotorácica, o doente apresentou isquemia arterial aguda do membro inferior esquerdo, tendo realizado tromboembolectomia femuro-distal esquerda. Posteriormente, foi submetido à substituição da válvula aórtica por prótese biológica. Após catorze dias de internamento foi internado no Serviço de Cirurgia Vascular, tendo o internamento de 4 meses sido complicado com amputação da perna esquerda. Quatro meses após a alta, o doente recorreu ao serviço de urgência por febre e dor abdominal. Foi-lhe diagnosticada recorrência de endocardite fúngica complicada por enfartes esplénicos e renais e êmbolo no tronco celíaco. O doente foi transferido de urgência para o Serviço de Cirurgia Cardiotorácica. Antes da intervenção cirúrgica apresentou paragem cardiorrespiratória.
A 50-year-old man with a history of drug addiction was admitted to the cardiology department for aortic valve fungal endocarditis complicated by severe aortic regurgitation, cerebral infarcts and right common iliac artery pseudoaneurysm. While awaiting transfer to the cardiothoracic surgery department, the patient presented acute arterial ischemia of the left leg, and distal left patellofemoral embolectomy was successfully performed. The patient was then transferred to the cardiothoracic center and the aortic valve was replaced by a bioprosthetic valve. After fourteen days he was referred for vascular surgery, where the four-month hospitalization was complicated by left leg amputation. Four months after discharge, the patient was admitted to the emergency department for recurrent fungal endocarditis complicated by multiple renal and splenic infarcts and celiac trunk embolization. He was transferred to the cardiothoracic surgery department, but suffered cardiac arrest before surgical intervention.
A endocardite fúngica é uma entidade nosológica rara, com uma mortalidade elevada apesar da terapêutica médica e cirúrgica combinadas1–4. São fatores de risco a cirurgia valvular e antibioterapia prévias, toxicodependência, cateteres intravasculares e estado de imunossupressão3,4. As espécies de Candida são os agentes etiológicos mais frequentes. A intervenção cirúrgica precoce, logo após o início de antibioterapia antifúngica, nomeadamente a anfotericina B, é o tratamento de eleição1,4. A sua recorrência é frequente, encontrando-se na literatura referências tão elevadas quanto 30-40%3.
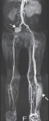
Caso clínicoDoente do género masculino, de 50 anos de idade, com antecedentes médicos de tabagismo, toxicodependência e hepatite C crónica, recorreu ao serviço de urgência por astenia, febre e cefaleia com um mês de evolução e dor abdominal desde há 2 dias. Ao exame objetivo o doente apresentava febre e a auscultação cardíaca evidenciou um sopro diastólico agudo, em decrescendo, grau iii/vi, ao nível do bordo esquerdo do esterno. O doente não apresentava sinais de insuficiência cardíaca. O estudo analítico demonstrou insuficiência renal aguda (Cr 2,5mg/dl, Ureia 60mg/dl, valores normais em análises efetuadas uma semana antes), elevação da proteína c-reativa (77,5mg/L) e anemia normocítica e normocrómica (Hb 11,2g/dl). Realizou tomografia computorizada (TC) abdominal que evidenciou esplenomegalia, não se visualizando áreas de enfarte, e hidroureteronefrose direita condicionada por aneurisma da artéria ilíaca comum direita com 42mm de maior diâmetro. Efetuado ecocardiograma transtorácico no qual se observou uma vegetação de 15mm na cúspide não coronariana da válvula aórtica (Figura 1) e insuficiência aórtica severa (Figura 2), com compromisso moderado a grave da função sistólica do ventrículo esquerdo (fração de ejeção de 35%), achados confirmados por ecocardiograma transesofágico. O doente foi internado no Serviço de Cardiologia, tendo iniciado antibioterapia empírica com vancomicina e meropenem. Foi decidido não introduzir aminoglicosídeo atendendo à taxa de filtração glomerular baixa, estimada em 20ml/min/1,73m2. No 2.° dia de internamento verificou-se lentificação cognitiva do doente, sem alterações neurológicas focais, tendo-se requisitado ressonância magnética (RM) cerebral, na qual foi possível observar múltiplos enfartes cerebrais recentes. As hemoculturas isolaram Candida albicans (C. albicans) sensível à anfotericina lipossómica, tendo-se iniciado terapêutica antifúngica e contactado o centro cirúrgico no sentido de transferir o doente para substituição valvular aórtica. Enquanto aguardava transferência, o doente iniciou dor súbita intensa no membro inferior esquerdo, com arrefecimento e perda de pulsos, constituindo um quadro de isquemia aguda do membro, de provável causa cardioembólica (vegetação micótica). Foi transferido para o centro de cirurgia vascular com urgência, onde realizou tromboembolectomia arterial femuro-distal esquerda. Posteriormente foi transferido para o centro de cirurgia cardiotorácica onde se procedeu à substituição da válvula aórtica por prótese biológica. O exame microbiológico da válvula aórtica e do êmbolo retirado da artéria femoral esquerda demonstraram crescimento de C. albicans. O ecocardiograma transtorácico pós-operatório evidenciou prótese aórtica normofuncionante, tendo sido transferido para o Serviço de Cardiologia deste hospital 14 dias depois. Durante o internamento apresentou febre e subida dos marcadores de inflamação. Repetiu o ecocardiograma transtorácico que confirmou a presença de prótese normofuncionante, sem evidência de vegetações. Realizou angio-ressonância magnética abdominal e dos membros inferiores, tendo sido identificado: volumoso pseudoaneurisma do eixo arterial ilíaco direito com oclusão da artéria ilíaca externa distal ao pseudoaneurisma; múltiplas tumefações compatíveis com abcessos na região inguinal e coxa esquerdas (local da abordagem cirúrgica vascular prévia); e abecedação do compartimento muscular ântero-lateral da perna esquerda (Figura 3). Atendendo à existência de foco infeccioso e ao ecocardiograma transtorácico sem evidência de endocardite, decidiu-se não repetir o ecocardiograma transesofágico. O paciente foi transferido para o Serviço de Cirurgia Vascular, tendo sido submetido a tratamento cirúrgico: aneurismectomia total com realização de pontagem femuro-femoral cruzada esquerda-direita com veia grande safena direita invertida, associado a exploração e drenagem dos abcessos na coxa e na perna esquerdas. O exame microbiológico do pseudoaneurisma evidenciou crescimento de Staphylococcus epidermidis (S. epidermidis). Durante o internamento no Serviço de Cirurgia Vascular o doente manteve febre intermitente e deterioração progressiva do estado geral. Repetiu hemoculturas que demonstraram crescimento de S. epidermidis, tendo iniciado antibioterapia de largo espectro com vancomicina e meropenem. Realizou TC pélvico e das coxas identificando-se 2 novos pseudoaneurismas: na artéria ilíaca interna esquerda e na artéria femoral superficial esquerda. O paciente foi novamente submetido a tratamento cirúrgico: durante o procedimento constatou-se a rápida progressão da situação clínica, havendo rotura do pseudoaneurisma femoral esquerdo, com extensa infiltração hemorrágica e abcedação da coxa. Procedeu-se a laqueação das artérias ilíaca interna esquerda e femoral superficial esquerda, associado a desbridamento alargado de tecidos desvitalizados e de coleções purulentas. Em tempo cirúrgico deferido procedeu-se a amputação transfemoral aberta, por ter havido progressão para gangrena da perna. Durante o internamento prolongado no Serviço de Cirurgia Vascular, de cerca de 4 meses, o doente manteve sempre terapêutica antifúngica e foi submetido a reamputação transfemoral e a vários desbridamentos cirúrgicos de abcessos do coto. Após o encerramento parcial do coto o doente obteve alta, clinicamente estável, tendo-se decidido não manter antifúngico devido à hepatite C crónica que o doente apresentava e à possível toxicidade hepática dos antifúngicos.
Cerca de 4 meses após a alta, o doente foi admitido no serviço de urgência por febre e dor abdominal. Realizou TC abdominal que evidenciou múltiplos enfartes renais e esplénicos e trombo/êmbolo no tronco celíaco (Figura 4). Realizou ecocardiograma transtorácico que demonstrou vegetação de 8mm ao nível da prótese aórtica e insuficiência aórtica moderada. Foi transferido para o centro de cirurgia cardiotorácica para cirurgia emergente, tendo apresentado paragem cardiorrespiratória antes de entrar no bloco. As hemoculturas que o doente realizou no serviço de urgência evidenciaram crescimento de C. albicans.
DiscussãoA endocardite fúngica envolve doentes numa faixa etária relativamente nova, com uma idade média de cerca de 40 anos de idade, embora os doentes com endocardite de prótese valvular sejam mais velhos2,5. A sua marca ecocardiográfica são vegetações de grandes dimensões, estando inerente a esta característica um elevado risco de embolização central e periférica. A embolização, incluindo oclusão de artérias dos membros, alterações neurológicas e insuficiência cardíaca são as suas complicações mais frequentes1. A intervenção cirúrgica precoce, logo após o início de antifúngico, é o tratamento de eleição.
Na literatura existe alguma indefinição quanto à terapêutica antifúngica a utilizar e sobretudo quanto à sua duração.
A incidência de infeção fúngica de próteses valvulares, apesar de rara, é maior do que a de válvula nativa, sendo o fungo mais frequentemente envolvido a Candida. Boland et al., da clínica Mayo, apresentaram uma série de endocardites de prótese valvular de etiologia fúngica no espaço de 40 anos; foram descritos 21 casos, com uma mortalidade de 57%, com isolamento de C. albicans na maior parte dos casos; a maior parte dos doentes eram imunocompetentes; a válvula aórtica a mais frequentemente afetada; 43% dos doentes apresentaram a endocardite um ano após implantação de válvula; todos os doentes receberam terapêutica antifúngica, em 95% dos casos a anfotericina B5.
Um dos primeiros estudos prospetivos sobre endocardite foi o estudo italiano de endocardite de Falcone et al., um estudo multicêntrico que envolveu 903 casos de endocardite. A endocardite por Candida foi diagnosticada em 15 doentes; cerca de 66,6% dos doentes foram tratados com caspofungina isoladamente ou em combinação com outros antifúngicos. A evidência em estudos in vitro da redução da atividade da anfotericina B e da sua difícil penetração nos coágulos e vegetações em detrimento da maior atividade da caspofungina, tornam a última um antifúngico promissor. Este estudo demonstrou também, de acordo com a metanálise de Steinbach et al., que independentemente do antifúngico utilizado, a pedra basilar da terapêutica da endocardite fúngica é a cirurgia precoce6.
Mais recentemente, Smego et al., apresentaram uma metanálise sobre a utilização de fluconazol em doentes não candidatos a substituição valvular. Concluíram que nestes doentes a utilização de fluconazol isoladamente está associada a uma elevada prevalência de recorrência ou morte (42%) e como tal não deve ser utilizada isoladamente. Contudo, doentes tratados com fluconazol em associação com outro antifúngico apresentaram cura ou melhoria clínica em 88 e 68% dos doentes com endocardite fúngica de válvula nativa ou prótese, respetivamente. Nesta metanálise, os melhores resultados foram obtidos com a terapia supressiva crónica com fluconazol durante pelo menos 6 meses7.
As recomendações de 2009da sociedade americana de doenças infecciosas preconizam nas situações de endocardite infecciosa por Candida a cirurgia de substituição valvular associada à terapêutica antifúngica, especificamente a terapêutica com anfotericina B lipossómica (3-5mg/kg/dia) associada ou não a flucitosina (25g/kg 4 vezes ao dia), dando como alternativa o uso de anfotericina B desoxicolato (0,6-1mg/kg/dia) associada ou não à flucitosina ou uma equinocandina (de que é exemplo a caspofungina numa dose de 50-150mg por dia). Recomendam que a terapêutica antifúngica deve ser mantida por 6 semanas após substituição valvular e deve ser mantida durante mais tempo em caso de abcessos perivalvulares ou outras complicações. Nos doentes que não possam ser submetidos a substituição valvular, a terapêutica de supressão a longo prazo com fluconazol 400-800mg (6-12mg/kg) por dia é recomendada. Para a endocardite fúngica de prótese valvular as recomendações são as mesmas. Contudo, nas situações em que a prótese não é substituída, a terapêutica supressiva para toda a vida é recomendada.8
No caso concreto deste doente foi decidido não prolongar a terapêutica antifúngica devido ao risco elevado de toxicidade hepática num doente já com patologia hepática previamente conhecida.
ConclusõesA endocardite fúngica é uma patologia rara, embora com uma incidência crescente. Apresenta uma elevada taxa de mortalidade, sendo as bases do seu tratamento uma intervenção cirúrgica precoce associada a um curso longo de antibioterapia anti-fúngica.
Conflito de interessesOs autores declaram não haver conflito de interesses.








