Menina de seis anos, natural da Guiné‐Bissau, com antecedentes de dispneia para pequenos esforços, infeções respiratórias de repetição e insuficiente aquisição ponderal. Foi admitida em centro de referência em Portugal por suspeita de tetralogia de Fallot para possível intervenção cirúrgica. Ao exame objetivo com cianose basal com baqueteamento digital, oximetria de pulso entre 30‐50%, auscultação pulmonar sem sopros e pulsos normais.
Fez ecocardiograma que revelou cardiopatia complexa cianótica caracterizada por transposição das grandes artérias (TGA), atrésia pulmonar, comunicação interventricular de entrada grande e artérias colaterais sistémico‐pulmonares, sem artérias pulmonares visualizáveis e persistência de veia cava superior esquerda, com seio coronário dilatado (Figura 1).
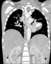
O cateterismo cardíaco confirmou a existência de colaterais com origem nos troncos supra‐aórticos, a ausência de artérias pulmonares centrais e a justaposição esquerda dos apêndices auriculares (Figura 2). A angiotomografia mostrou três major aortopulmonary collateral arteries (MAPCAs), destacou‐se uma com origem na vertente superior do arco aórtico, com estenose grave na sua origem e dilatação pós‐estenótica. Revelou ainda ausência de artérias pulmonares, comunicação interventricular de 25mm e normal drenagem das veias pulmonares na aurícula esquerda (Figura 3).
Os autores apresentam uma cardiopatia complexa rara, com diagnóstico tardio, que continua a ser uma realidade em países com menos recursos. A presença de MAPCAs permitiu a sobrevivência. Contudo, tal como é evolução natural, a sua estenose condicionou agravamento progressivo.
A resolução cirúrgica depende da unifocalização de MAPCAs, é de complexidade elevada, atende à completa ausência de artérias pulmonares e TGA, pelo que o seu prognóstico é muito reservado.
Conflitos de interesseOs autores declaram não haver conflitos de interesse.







