O ventrículo esquerdo não compactado (VENC) tem sido reconhecido como uma forma distinta de miocardiopatia com uma apresentação clínica e história natural próprias. As manifestações comuns de VENC são insuficiência cardíaca, arritmias ventriculares e eventos embólicos. A presença de perturbações da condução auriculoventricular de maior gravidade encontra-se raramente descrita na literatura. Os autores descrevem o caso clínico de uma paciente com 40 anos de idade, que recorreu ao Serviço de Urgência por síncope. O ECG revelou bloqueio completo de ramo esquerdo do feixe de His e bloqueio auriculoventricular (BAV) 2:1, tendo sido internada para implantação de pacemaker. Durante o internamento, desenvolve fenómenos de torsade de pointes e de BAV completo com aumento do intervalo QTc. O ecocardiograma revelou imagens compatíveis com VENC. Com este caso, os autores fornecem evidência adicional de que a presença de VENC pode ser complicada por BAV 2:1 (ou completo), perturbações da condução intraventricular (BCRE) e da repolarização (QT longo), alterações eletrocardiográficas concomitantes pouco descritas na literatura. Descreve-se uma série de pacientes afetados, com foco nas características eletrocardiográficas.
Left ventricular noncompaction (LVNC) is now recognized as a distinct form of cardiomyopathy with a clinical presentation and natural history of its own. Common manifestations of LVNC include heart failure, ventricular arrhythmias and embolic events, but serious atrioventricular conduction disturbances are rarely reported in the literature. The authors describe the case of a 40-year-old woman who went to the emergency department due to syncope. The ECG revealed left bundle branch block (LBBB) and 2:1 atrioventricular block (AVB) and the patient was admitted for pacemaker implantation. During hospitalization she developed torsade de pointes and complete AVB with increased QTc. The echocardiogram showed images compatible with LVNC. This case provides additional evidence that LVNC may be complicated by 2:1 (or complete) AVB, intraventricular conduction disturbances (LBBB) and repolarization abnormalities (long QT). This combination of electrocardiographic changes has rarely been reported in the literature. We describe a series of affected patients, focusing on electrocardiographic characteristics.
O ventrículo esquerdo não compactado (VENC) é uma miocardiopatia pouco frequente, inicialmente reportada em crianças1,2, mas cujas características fenotípicas têm sido documentadas cada vez mais em adultos3–7. Os sintomas clínicos mais frequentes do VENC são insuficiência cardíaca congestiva (ICC), arritmias ventriculares e eventos embólicos. Perturbações da condução auriculoventricular encontram-se raramente reportadas na literatura8–10.
Caso clínicoDoente de 40 anos de idade, do sexo feminino, trazida ao serviço de urgência por síncope (sem pródromos, de recuperação espontânea, durante a refeição), associado a um quadro progressivo de cansaço desde há cerca de um mês, negando dor torácica ou dispneia. Relativamente aos seus antecedentes pessoais, de realçar a presença de bloqueio completo de ramo esquerdo do feixe de His (BCRE) detetado em eletrocardiograma (ECG) de rotina realizado no âmbito da Medicina Ocupacional, há cerca de três meses. Sem história familiar de morte súbita. Sem medicação habitual.
Ao exame objetivo, a paciente encontrava-se eupneica, sem sinais de dificuldade respiratória. A auscultação cardíaca revelou sons rítmicos, mas com bradicardia de 40bpm, não sendo audíveis sopros. A auscultação pulmonar não revelou alterações. A pressão arterial obtida era de 100/75mmHg. O restante exame objetivo revelou-se normal.
Analiticamente sem alterações de relevo, nomeadamente ao nível do hemograma e bioquímica, com biomarcadores de necrose miocárdica normais.
Foi efetuado um ECG de 12 derivações, revelando bloqueio auriculoventricular (BAV) do 2.° grau 2:1 com resposta ventricular de ± 45bpm com BCRE, pelo que foi internada para colocação de pacemaker (Figura 1).
Durante o internamento, desencadeou quadro de paragem cardiorrespiratória por torsade de pointes (TdP) (Figura 2) revertida com murro precordial. O ECG posterior revelou BAV 2:1 (com período de BAV completo) com frequência cardíaca (FC) de ± 45bpm, e alargamento do intervalo QT corrigido (QTc) (Figura 3).
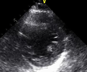
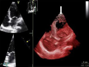
Monitorizada em ambiente de unidade de cuidados intensivos cardíacos, realizou ecocardiograma, que revelou ventrículo esquerdo de dimensões normais com fracção de ejecção do ventrículo esquerdo (FEVE) global ligeiramente deprimida (FEVE ± 45%) e imagens compatíveis com VENC a nível apical (trabeculações exuberantes com relação camada trabeculada/não trabeculada superior a dois e com fluxo detetado por Doppler de cor ao nível das mesmas) (Figuras 4 e 5). Foi efetuada coronariografia, revelando ausência de doença coronária.
Neste contexto foi implantado cardioversor desfibrilhador implantável (CDI) de dupla câmara como prevenção secundária de morte súbita.
A paciente teve alta clinicamente estável. Atualmente, encontra-se bem, sem sinais clínicos de ICC. Encontra-se dependente da função pacing do CDI de dupla câmara, sem choques detetados. O rastreio de familiares diretos revelou ECG normais, com os ecocardiogramas dos seus filhos a revelarem imagens sugestivas de não compactação miocárdica inferior e lateral (Figura 6) (com o ECG de alta resolução dos mesmos a não revelar alterações). Aguarda-se atualmente o estudo genético da paciente.
DiscussãoOs pacientes com VENC possuem normalmente função sistólica ventricular esquerda deprimida, apresentando-se habitualmente com manifestações de insuficiência cardíaca1,2,4. Outras anomalias cardíacas concomitantes são a formação de coágulos endocárdicos (com embolias sistémicas) e arritmias. A elevada incidência de arritmias no VENC ainda não foi explicada por uma anomalia morfológica precisa. No entanto, tem sido sugerido que a isquémia miocárdica pode desempenhar um papel crucial no desenvolvimento de disfunção sistólica e de arritmias ventriculares nesses pacientes, semelhante ao que ocorre na miocardiopatia isquémica11.
Perturbações diversas do ritmo têm sido relatadas em pacientes com VENC, sendo as arritmias ventriculares as formas mais comuns, podendo ser resistentes ao tratamento médico, culminando num destino fatal1–4,11–15.
De acordo com a literatura, 88-94% dos pacientes com VENC revelam perturbações no ECG basal2,3,16. Na série de Oechslin et al.4, 94% dos 34 adultos estudados apresentavam ECG anormais, sendo que 56% possuíam defeitos na condução intraventricular, maioritariamente identificados nos indivíduos falecidos. Na série de Steffel et al.16 (n=78), somente 13% dos pacientes possuíam ECG normais, com a presença de dois casos (3%) de BAV completo, 19% de BCRE, sendo que em 50% se verificava aumento do intervalo QTc.
A síndrome de Wolff-Parkinson-White (WPW) e taquicardias associadas foram também reportadas em associação ao VENC1,2,14,17. Ichida et al.2 relataram a síndrome de WPW em 4 dos 27 pacientes com VENC. No seu relatório, esta associação é explicada a partir de uma falha na regressão anatómica e da continuidade ao nível do tecido de condução, durante o desenvolvimento embriológico auriculoventricular no miocárdio não compactado. Deste modo, taquicardias supraventriculares associadas à síndrome de WPW poderão promover taquicardia e fibrilhação ventricular fatais, em pacientes com VENC1,17.
Na nossa série de doentes6 (n=20) (Tabela 1) verificou-se um caso de BAV 2:1/completo intermitente, três casos de BCRE, identificando-se seis casos de aumento do intervalo QTc. A apresentação clínica como taquicardia ventricular verificou-se em dois casos. Somente dois doentes (10%) apresentavam ECG normais, percentagem idêntica à série descrita por Oechslin et al. Não foi reportado nenhum caso de WPW.
Perturbações no ECG na nossa série de doentes com VENC (n=20; idade média de 52,8 anos; 71% homens)
| Frequência | Percentagem | |
| Ritmo | ||
| Sinusal | 15 | 75% |
| Fibrilhação auricular | 5 | 25% |
| Disritmia ventricular na admissão | ||
| Não | 18 | 90% |
| Sim | 2 | 10% |
| Perturbações da condução AV | ||
| Não | 15 | 75% |
| BAV .1.° grau | 4 | 20% |
| BAV 2.° grau/completo | 1 | 5% |
| Perturbações da condução intraventricular | ||
| Não | 13 | 65% |
| Hemibloq. anterior esquerdo | 3 | 15% |
| BIRD | 1 | 5% |
| BCRE | 3 | 1% |
| Perturbações da repolarização – sobrecargaa | ||
| Não | 10 | 50% |
| Sobrecarga | 7 | 35% |
| Perturbações da repolarização – isquémiaa | ||
| Não | 13 | 65% |
| Isquémia | 4 | 20% |
| Prolongamento do QTc | ||
| Não | 14 | 70% |
| Sim | 6 | 30% |
| Sinais de hipertrofia ventricular esquerda (HVE)a | ||
| Não | 14 | 70% |
| HVE | 3 | 15% |
A causa de perturbações da condução intraventricular e da repolarização é desconhecida. Ichida et al.2 sugerem que as perturbações da condução (como o BCRE) e da repolarização (aumento do QTc) resultam de fibrose endocárdica progressiva no VENC, sendo observadas frequentemente na população adulta devido às alterações fibróticas que se desenvolvem gradualmente8.
Relativamente às perturbações da condução AV descritas neste caso clínico (BAV 2.° grau/completo intermitente), suspeita-se que concomitantemente ao processo fibrótico endomiocárdico, se desenvolvam alterações histológicas no próprio sistema de condução8, promovendo os fenómenos descritos.
No entanto, é necessário realçar que a ocorrência de QT longo complicando a presença de BAV (com disritmias ventriculares [TdP] concomitantes) é também uma descrição clássica para a ocorrência de perturbações da condução de qualquer etiologia, podendo estar potenciada na presença de VENC pelas razões descritas anteriormente.
A probabilidade de desenvolver prolongamento do intervalo QTc e TdP em doentes sob medicação antiarrítmica e/ou alterações iónicas (não sendo o caso da nossa paciente) é aumentada por bradicardia devido à inversão da dependência da utilização dos canais de potássio18. Contudo, é menos claro o efeito da bradicardia per si na génese da TdP19,20. Este fenómeno foi abordado num estudo de 14 pacientes19 com bloqueio atrioventricular completo, seis dos quais tinham uma história de TdP. Os dois grupos não diferiram no respeitante à taxa de ritmo de escape ventricular; contudo, o intervalo QTc foi significativamente maior naqueles que haviam desenvolvido TdP (0,59 versus 0,48 s). Após a implantação de pacemaker, o intervalo QTc foi novamente superior nos pacientes que desenvolveram TdP, independentemente de a lower rate limit ser fixada em 60 bpm (0,55 versus 0,50 s) ou 50 bpm (0,70 versus 0,53 s).
ConclusãoO diagnóstico de VENC é muitas vezes difícil de estabelecer, sendo necessária uma sensibilidade clínica elevada devido ao seu prognóstico clínico reservado.
Pelo nosso conhecimento da literatura atual, este é o primeiro caso descrito de VENC conjugando simultaneamente BCRE, BAV 2.° grau/completo intermitente, disritmia ventricular e aumento do intervalo QTc. Deste modo, propomos que o diagnóstico de VENC deva ser equacionado em indivíduos «jovens» cuja apresentação clínica curse com BAV de alto grau e BCRE (enquadrando-se a história clínica do paciente).
Responsabilidades éticasProteção de pessoas e animaisOs autores declaram que para esta investigação não se realizaram experiências em seres humanos e/ou animais.
Confidencialidade dos dadosOs autores declaram ter seguido os protocolos de seu centro de trabalho acerca da publicação dos dados de pacientes e que todos os pacientes incluídos no estudo receberam informações suficientes e deram o seu consentimento informado por escrito para participar nesse estudo.
Direito à privacidade e consentimento escritoOs autores declaram que não aparecem dados de pacientes neste artigo.
Conflito de interessesOs autores declaram não haver conflito de interesses.











