Amorphous cardiac tumor is a rare non-neoplastic mass that mimics malignancy and can cause symptoms due to flow obstruction or embolization of calcific fragments. The histological findings are characteristic, including calcification and amorphous fibrinous material. Its exact etiology is unknown.
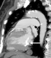
A 79-year-old woman was referred to our department because of suspected angina. The electrocardiogram showed ventricular repolarization abnormalities in the lateral wall. Transthoracic echocardiography showed preserved biventricular systolic function, without wall motion abnormalities, a mitral valve with normal functional area and marked calcification of the annulus, and on the ventricular side a hyperechoic, threadlike and highly mobile mass, protruding into the left ventricular outflow tract, causing a dynamic gradient of 24 mmHg (Video 1). Transesophageal echocardiography (TEE) showed a mass adjacent to the posterior annulus of the mitral valve, measuring about 25 mm×5 mm (Figure 1; Video 2 and 3). Computed tomography confirmed a large calcified mass attached to the ventricular side of the mitral valve (Figure 2). No mass was observed on cardiac magnetic resonance imaging, probably due to its marked mobility. Myocardial perfusion scintigraphy showed evidence of inferolateral ischemia and cardiac catheterization revealed left main and three-vessel disease. Bypass surgery was performed and the intraventricular tumor was removed (Figure 3). Histology confirmed the diagnosis of calcified amorphous tumor (Figure 4).
Calcified amorphous tumor is a rare cardiac lesion with an excellent outcome. The clinical presentation is similar to other cardiac tumors, and surgical removal and histopathological examination are essential for an accurate diagnosis.
Ethical disclosuresProtection of human and animal subjectsThe authors declare that no experiments were performed on humans or animals for this study.
Confidentiality of dataThe authors declare that no patient data appear in this article.
Right to privacy and informed consentThe authors declare that no patient data appear in this article.
Conflicts of interestThe authors have no conflicts of interest to declare.








