Total anomalous pulmonary venous connection (TAPVC) with direct connection of the pulmonary veins to the morphologically right atrium is exceedingly rare other than in the setting of isomerism of the right atrial appendages. We present an interesting case of TAPVC in a patient with situs solitus that connected to the right atrium via a broad-mouthed common chamber.
As variantes de retorno venoso pulmonar anómalo total (RVPAT) que resultam de conexão e de drenagem direta das veias pulmonares à aurícula morfologicamente direita são extremamente raras, exceto no caso de presença de isomerismo direito. Apresentamos um caso de RVPAT, com drenagem à aurícula direita através de um coletor comum, num doente com situs solitus.
Total anomalous pulmonary venous connection (TAPVC) with direct connection of the pulmonary veins to the morphologically right atrium is exceedingly rare other than in the setting of isomerism of the right atrial appendages.1 We present an interesting case of TAPVC that connected to the right atrium via a broad-mouthed common chamber.
A 42-day-old male baby born at term, weighing 3.5 kg, presented with history of feeding difficulty and oxygen saturation of 94% on room air. On evaluation he was diagnosed to have TAPVC to the right atrium with a mildly restrictive atrial septal defect (ASD) and severe pulmonary hypertension. There was no dysmorphism and no family history of congenital heart disease.
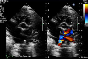
Echocardiography confirmed situs solitus and levocardia. All four pulmonary veins were imaged forming a confluence which opened directly into the right atrium with a mean gradient of 8 mmHg (Figures 1–3). There was no vertical vein and the coronary sinus was normal. Individual pulmonary veins were adequately sized. The ASD was of ostium secundum type, measuring 4.7 mm, with mildly restrictive peak and mean gradients of 5 and 1 mmHg, respectively. Surgical exploration revealed all pulmonary veins draining to the right atrium with a shelf over the opening of the left pulmonary veins. The patient underwent primary sutureless TAPVC repair and closure of the ASD with a tanned pericardial patch, and is doing well.
Supracardiac TAPVC draining into the innominate vein or other channels that connect into the systemic venous atrium is the most common type.2 Classical cardiac-type TAPVCs drain into the coronary sinus. TAPVC with direct connection of the pulmonary veins to the morphological right atrium is exceedingly rare except in the setting of isomeric right atrial appendages.3 In our patient, the muscle-deficient confluence formed by the pulmonary veins draining to the right atrial roof was totally unexpected in the setting of normal atrial situs and normal coronary sinus anatomy. The gradient at the pulmonary venous confluence to the right atrium was flow-related, although the ASD was restrictive. The nomenclature of this defect is itself a point of debate – though anatomically intracardiac, embryologically it drains into the supracardinal venous system, mimicking a supracardiac TAPVC. Computed tomography is useful to delineate the size of individual pulmonary veins and the dimensions of the common chamber and its drainage in TAPVC.4 Magnetic resonance imaging is rarely considered in sick neonates, despite its excellent accuracy, owing to the long duration of the study. However the same information can be obtained fairly reliably in most neonates with TAPVC from careful transthoracic echocardiography. In the case presented, the surgeon was confident of the size of the common chamber and the individual pulmonary veins from the echocardiographic images.
In primary sutureless surgical repair, as performed in our case, the proximity of the common chamber to both atria facilitates excellent results with primary surgical repair. While the initial surgical steps are similar, the required pericardial patch to close the original connection to the right atrium is considerably smaller than with other types of TAPVC. It is to be noted that pulmonary venous drainage from the right lung tracks right beneath this patch.5
ConclusionsCardiac TAPVC draining to the right atrium is a rare variant with good surgical results. Anomalous connections to the right atrium can be diagnosed if there is no ascending or descending vein, the coronary sinus is of normal size and the pulmonary veins can be followed to their site of entry to the right atrium. Though it connects directly to the right atrium, embryologically it should be considered a supracardiac TAPVC. Systematic preoperative workup of TAPVC by a detailed echocardiographic assessment including the size of all individual pulmonary veins, the common chamber and ASD, screening for potential flow obstruction, can obviate the need for additional imaging.
Conflicts of interestThe authors have no conflicts of interest to declare.





