Implantable cardioverter-defibrillators (ICDs) are among the most effective interventions for the prevention of sudden cardiac death. However, traditional transvenous systems are associated with venous access and intracardiac lead complications. Subcutaneous ICDs (S-ICD), which were developed to overcome these complications, are unable to provide anti-tachycardia pacing (ATP) or pause prevention pacing. The extravascular ICD (EV-ICD) is a recent technological innovation designed to mitigate these limitations by enabling cardioversion, defibrillation and pacing without entering the central venous system. Our aim was to assess the initial experience with the new EV-ICD system, as a valid alternative to transvenous ICD and S-ICDs, including patient selection, implantation technique, procedure feasibility and safety, functional parameters, and immediate clinical outcomes.
MethodsWe conducted an observational study of all patients who underwent EV-ICD implantation between November 2024 and June 2025 at two centers. Demographic, clinical, imaging, pharmacologic and procedural data were analyzed.
ResultsA total of 11 patients were included, with a mean age of 36.3 years (range 19–59); 27% were female. Main diagnoses included hypertrophic cardiomyopathy (n=3), left ventricular non-dilated cardiomyopathy (n=3), dilated cardiomyopathy (n=2), Brugada syndrome (n=1), polymorphic ventricular tachycardia (n=1) and arrhythmogenic right ventricular cardiomyopathy (n=1). There were no procedural or peri-procedural complications. The mean procedure duration (“skin-to-skin”) was 68.2 minutes (range 60–78). Median fluoroscopy time was 3.9 minutes (range 2.5–6.2). Defibrillation threshold (DFT) testing was successful in all cases. During the follow-up, two patients received an inappropriate shock, one due to sinus tachycardia and the other due to oversensing of myopotentials.
ConclusionsOur initial experience with the EV-ICD confirms the feasibility and safety of the procedure. This novel system may offer an effective alternative for selected populations, especially young patients with extended life expectancy and high cumulative device exposure. The rate of inappropriate shocks remains a concern and improvements are required to reduce these events.
Os cardioversores-desfibrilhadores implantáveis (CDI) estão entre as intervenções mais eficazes para a prevenção da morte súbita cardíaca. No entanto, os sistemas transvenosos tradicionais estão associados a complicações relacionadas com o acesso venoso e com os elétrodos intracardíacos. Por outro lado, o CDI subcutâneo (S-ICD), desenvolvido para ultrapassar estas complicações, não permite realizar pacing anti-taquicardia (ATP) nem pacing para prevenção de pausas. O CDI extravascular (EV-ICD) é uma inovação tecnológica recente, concebida para mitigar estas limitações, permitindo cardioversão, desfibrilhação e pacing sem necessidade de acesso ao sistema venoso central. O nosso objetivo foi a avaliação da experiência inicial com o novo sistema EV-ICD como alternativa válida ao CDI transvenoso e ao S-ICD, incluindo seleção dos doentes, técnica de implantação, viabilidade e segurança do procedimento, parâmetros funcionais e resultados clínicos imediatos.
MétodosEstudo observacional de todos os doentes submetidos a implantação de EV-ICD entre novembro de 2024 e junho de 2025, em dois centros. Foram analisados dados demográficos, clínicos, imagiológicos, farmacológicos e procedimentais.
ResultadosForam incluídos 11 doentes, com idade média de 36.3 anos (intervalo 19–59); 27% eram do sexo feminino. Os principais diagnósticos incluíram miocardiopatia hipertrófica (n=3), miocardiopatia não dilatada do ventrículo esquerdo (n=3), miocardiopatia dilatada (n=2), síndrome de Brugada (n=1), taquicardia ventricular polimórfica (n=1) e miocardiopatia arritmogénica do ventrículo direito (n=1). Não ocorreram complicações procedimentais ou peri-procedimentais. A duração média do procedimento (“skin-to-skin”) foi de 68.2 minutos (intervalo 60–78). O tempo mediano de fluoroscopia foi de 3.9 minutos (intervalo 2.5–6.2). Os testes de limiar de desfibrilhação (DFT) foram bem-sucedidos em todos os casos. Durante o seguimento, dois doentes receberam um choque inapropriado, um devido a taquicardia sinusal e outro por oversensing de miopotenciais.
ConclusõesA nossa experiência inicial com o EV-ICD confirma a viabilidade e segurança do procedimento. Este novo sistema poderá constituir uma alternativa eficaz para populações selecionadas, especialmente doentes jovens, com expectativa de vida prolongada e elevada exposição cumulativa a dispositivos. A taxa de choques inapropriados permanece uma preocupação, justificando melhorias para reduzir estes eventos.
Sudden cardiac death remains one of the leading causes of mortality among patients with structural or electrical heart disease. Since the introduction of implantable cardioverter-defibrillator (ICD) therapy, survival rates for patients at high risk for ventricular tachyarrhythmias have significantly improved. Nonetheless, traditional transvenous systems carry long-term risks, including cardiac perforation, venous thrombosis, device infection, lead failure, and complex extraction procedures.1,2 Furthermore, long-term integrity of transvenous leads remains a concern, particularly in younger patients who have longer life expectancy and high cumulative device exposure.
To reduce these complications, the subcutaneous ICD (S-ICD) was developed, offering an alternative without transvenous leads. However, the S-ICD has functional limitations, notably its inability to provide anti-tachycardia pacing (ATP) or prevent significant pauses, and its higher energy requirements.3,4
The recently approved extravascular ICD (EV-ICD) is a significant technological advancement as it combines the non-intracardiac nature of the S-ICD with the functional capabilities of transvenous systems. This novel system utilizes a retrosternal lead positioned through the anterior mediastinum, thus avoiding venous access while enabling both defibrillation and pacing capabilities, including ATP and limited bradycardia pacing.5–8
Certain limitations have been reported in the initial clinical experience with EV-ICDs. Inappropriate shocks due to supraventricular rhythms, particularly sinus tachycardia, were observed in up to 10% of patients during follow-up in the Pivotal study.6 While this rate is comparable to early transvenous systems, it highlights the importance of optimal patient selection, device programming optimization, and concomitant pharmacologic therapy.
In Portugal, experience with the EV-ICD is still at an early stage, which reflects the recent regulatory approval and limited availability of this device. The implementation of a novel technology in electrophysiology requires not only technical expertise, but also institutional support, multidisciplinary coordination, and long-term outcome tracking.
This topic is also aligned with the National Strategic Plan for Cardiovascular Health, recently published by the Portuguese Society of Cardiology, which identifies the prevention of sudden cardiac death as a key public health priority. The plan emphasizes the need to improve access to ICD therapy, structured follow-up, and professional education across the country.9 These goals further highlight the relevance of early national experience with emerging ICD technologies such as the EV-ICD.
ObjectivesThis study describes the initial experience of a multidisciplinary team with the EV-ICD, focusing on patient selection, implantation technique, device programming, and short-term outcomes.
MethodsA multidisciplinary medical team operating at two hospitals (a tertiary hospital center and a private hospital) conducted this observational study of consecutive patients. The study assesses the feasibility, safety, and early clinical performance of the EV-ICD system in the initial cohort of patients implanted at our centers following regulatory approval and clinical availability. Institutional ethics board approval was obtained, and all patients provided written informed consent prior to implantation and data collection.
All patients who underwent implantation of the EV-ICD system between November 2024 and June 2025 were included. Selection was based on standard indications for ICD therapy in the primary or secondary prevention of sudden cardiac death, in line with the 2022 ESC guidelines.10 Inclusion criteria were:
- •
Class I or IIa indication for ICD therapy.
- •
Absence of need for permanent bradycardia pacing or cardiac resynchronization therapy.
- •
Screening for S-ICD failure.
Exclusion criteria included severe thoracic deformities, prior full sternotomy or anatomical contraindications to retrosternal tunneling as assessed by physical exam and pre-procedural imaging.
EV-ICD implantation procedureAll procedures were performed in a dedicated electrophysiology laboratory under general anesthesia. Prophylactic antibiotics (cefazolin or vancomycin, based on allergy status) were administered intravenously 30 to 60 minutes prior to the skin incision.
The implantation technique followed the manufacturer's recommended procedure.6 A subxiphoid horizontal 2 cm incision was made to access the retrosternal space using blunt dissection. The lead delivery sheath was advanced into the anterior mediastinum along the posterior sternum, under anteroposterior and lateral fluoroscopic guidance (Figure 1). The dedicated substernal lead was then tunnelled and positioned to maximize R-wave sensing and shock vector efficacy. The generator was implanted subcutaneously in the left mid axillary region, below the level of the maximal dimension of the heart, as assessed in the anteroposterior fluoroscopic view. Lead connection and system integrity testing were performed before wound closure. Hemostasis was ensured and wounds were closed in multiple layers.
Positioning of the dedicated substernal lead during one of the implant procedures. (A) Dedicated sternal tunneling tool; (B) positioning of the tunneling tool in the incision site; (C) the tunneling rod was advanced under fluoroscopic guidance; (D) the lead delivery sheath was positioned in the anterior mediastinum along the posterior sternum; (E) the lead was then tunneled and positioned to maximize R-wave sensing and shock vector efficacy; (F) the final lead position was in close proximity with the posterior sternum.
The operators were a cardiologist and a cardiac surgeon and both had prior proctoring and training in substernal anatomy and the EV-ICD delivery system. Radiation exposure and procedure duration were recorded for all cases.
Device programming and testingFollowing implantation, devices were programmed according to the patient's arrhythmic risk profile and institutional protocol. At least two therapy zones were defined:
- •
Monitor zone (>160 bpm): no therapy delivered, arrhythmia logging only.
- •
Ventricular tachycardia zone (182–200 bpm): ATP followed by shock if necessary.
- •
Ventricular fibrillation (VF) zone (>200 bpm): shock therapy.
Anti-tachycardia pacing was enabled when sustained monomorphic ventricular tachycardia discrimination was deemed reliable. Shock energy was initially set at 30 J, with a maximum capacity of 40 J. Morphology-based discrimination algorithms and sensing parameters were adjusted according to signal quality and baseline rhythm evaluation.
All patients underwent intraoperative defibrillation testing (DFT) with induction of VF via 50 Hz burst pacing. Successful termination of VF with a single shock at 30 J was defined as a positive DFT. If the first attempt failed, a second shock at 40 J was delivered and, if unsuccessful, external cardioversion would have been applied at 200 J.
Follow-up and outcomesPatients were monitored in-hospital for at least 24 hours post-implantation. Device interrogation, lead measurements, and chest radiographs were obtained prior to discharge. Follow-up visits were scheduled at one and three months post-implantation, including clinical evaluation, device interrogation and imaging as needed.
Outcomes evaluated included:
- •
Procedural success (defined as successful implantation and completion of DFT).
- •
Procedure duration and fluoroscopy time.
- •
Peri-procedural complications (bleeding, infection, lead dislodgement, device site discomfort).
Device-related adverse events and inappropriate therapies during follow-up.
Statistical analysisContinuous variables are presented as mean±standard deviation. Categorical variables are expressed as counts and percentages.
ResultsBaseline patient characteristicsA total of eleven patients (three female, eight male) underwent implantation of the EV-ICD system. The mean age was 36.3±11.3 years (range: 19–59 years). Baseline demographic and clinical characteristics are detailed in Table 1.
Patient demographic and clinical characterization.
| Patient | Age | Sex | Secondary prevention | NYHA | BMI | LVEF (%) | Co-morbidities | Medication | Diagnosis |
|---|---|---|---|---|---|---|---|---|---|
| 1 | 19 | M | No | I | 19,4 | 48 | No | B-blocker | ARVC |
| 2 | 33 | M | No | I | 28,0 | 55 | No | None | Brugada I |
| 3 | 59 | M | No | II | 28,1 | 23 | No | B-blocker | DCM |
| 4 | 46 | F | No | I | 17,7 | 68 | No | B-blocker | HCM |
| 5 | 46 | F | No | I | 21,9 | 65 | No | B-blocker | HCM |
| 6 | 40 | M | No | I | 22,5 | 50 | No | B-blocker | DCM |
| 7 | 34 | M | No | I | 25,7 | 48 | No | None | NDLVC |
| 8 | 34 | M | No | I | 23,0 | 56 | No | B-blocker | HCM |
| 9 | 23 | M | Yes | I | 21,6 | 54 | No | B-blocker | NDLVC |
| 10 | 28 | F | Yes | II | 17,2 | 55 | Severe asthma | Calcium channel antagonist | Polymorphic VT |
| 11 | 37 | M | No | I | 25,7 | 47 | No | B-blocker | NDLVC |
ARVC: arrhythmogenic right ventricular cardiomyopathy; BMI: body mass index; DCM: dilated cardiomyopathy; HCM: hypertrophic cardiomyopathy; LVEF: left ventricular ejection fraction; NDLVC: left ventricle non-dilated cardiomyopathy; VT: ventricular tachycardia.
The underlying diagnoses included hypertrophic cardiomyopathy (n=3), left ventricular non-dilated cardiomyopathy (n=3), dilated cardiomyopathy (n=2), Brugada syndrome (n=1), polymorphic ventricular tachycardia (n=1) and arrhythmogenic right ventricular cardiomyopathy (n=1). All patients had preserved or mildly to moderately reduced left ventricular ejection fraction (mean: 51.7±11.7%). Comorbidities were minimal, with one patient presenting with severe asthma. One patient had previously undergone surgery to remove a thymoma and had a partial sternotomy. None had a history of prior ICD therapy or cardiac surgery. Eight patients were on chronic beta-blocker therapy, and one was on verapamil at the time of implantation.
Cardiac magnetic resonance had been performed in ten of the eleven patients as part of their diagnostic routine. Late gadolinium enhancement was present in all patients with hypertrophic cardiomyopathy, in patients with dilated cardiomyopathy, and in two of the left ventricular non-dilated cardiomyopathy. Eight patients had a computed tomography scan before implantation. No significant anterior mediastinal abnormalities were identified.
Procedural dataAll implantations were completed successfully without intraoperative complications. The average total procedure duration was 68.2±6.6 minutes (range: 60–78 minutes).
No conversions to transvenous or subcutaneous ICD systems were required. There were no cases of significant bleeding, pneumothorax, cardiac tamponade or injury to adjacent structures. There were also no peri-procedural infections or pocket hematomas. Mean fluoroscopy time was 3.9±1.4 minutes.
Table 2 summarizes the key procedural characteristics and device parameters.
Procedure characteristics.
| Procedure time (“skin-to-skin”), MinutesMean±SDRange | Fluoroscopy time, minutesMean±SDRange | Final r-wave amplitudea (mV)Mean±SDRange | DFT testing | Shock impedance (Ohm)Mean±SDRange |
|---|---|---|---|---|
| 68.2±6.7 | 3.9±1.4 | 2.7±1.0 | 30J in 10P | 63.9±11,3 |
| 60–78 | 2.5–6.2 | 1.5–4.2 | 40J in 1P | 53–83 |
DFT: defibrillation threshold; SD: standard deviation.
All patients underwent intraoperative DFT immediately following lead and generator placement. VF was induced using 50 Hz burst pacing.
- •
Ten patients had successful defibrillation with a 30 J shock on the first attempt.
- •
One patient required a second attempt at 40 J after unsuccessful 30 J delivery.
- •
No test terminations required external rescue defibrillation.
- •
Mean shock impedance during DFT was 63.9±11.3 Ohm.
All patients were monitored in-hospital for at least 24 hours post-implantation. No immediate device-related complications were observed. Four of the eleven patients described moderate to intense retrosternal discomfort, exacerbated by deep breathing, in the first 24 hours post-implantation and were managed with higher doses of analgesic treatment besides paracetamol or metamizole, including intravenous tramadol and pethidine.
Chest X-rays confirmed stable lead and generator positioning in all cases. A minor posterior tilting of the lead or a discrete shifting to the right side was noted in two patients, one of them with previous partial sternotomy. Wound healing was uneventful and no infections were documented during hospitalization or during follow-up.
Follow-up at three monthsAt three-month follow-up, all patients were alive and clinically stable. Device interrogation revealed:
- •
No sustained ventricular arrhythmias in all patients.
- •
Two patients, both diagnosed with left ventricular non-dilated cardiomyopathy, experienced an inappropriate shock: one due to sinus tachycardia during stress; and the other due to myopotential oversensing.
The first patient, a 34-year-old male, had no previous history of paroxysmal supraventricular tachycardia. He had baseline sinus bradycardia and for that reason was not on beta-blocker therapy. He reported that the episode occurred in the context of intense emotional stress. Device logs revealed rapid sinus rhythm (200 bpm) entering the fast ventricular tachycardia (FVT) detection zone, with misclassification as monomorphic VT, triggering ATP and subsequent shock delivery (Figure 2). Following this event, beta-blocker therapy was initiated, and device programming was adjusted by increasing the VT detection threshold to >214 bpm and extending detection delay intervals. No further inappropriate therapies were recorded.
EGM of EV-ICD shock. The EGM analysis showed a regular narrow tachycardia, cycle 280 ms (214 bpm), labeled as fast ventricular tachycardia (FVT). The device delivered ATP but the tachycardia persisted within the same cycle length (270–290 ms). A second burst was delivered, followed by a shock of 31 J.
The second patient was a 37-year-old male and was under beta-blocker at baseline. He reported a sudden “electrical shock” during moderate physical exertion. The ICD interrogations revealed an episode labeled as VF that triggered a single shock. The EGM analysis showed many irregular ventricular signals of low amplitude lasting more than 30 seconds that were interrupted by the shock of the device (Figure 3).
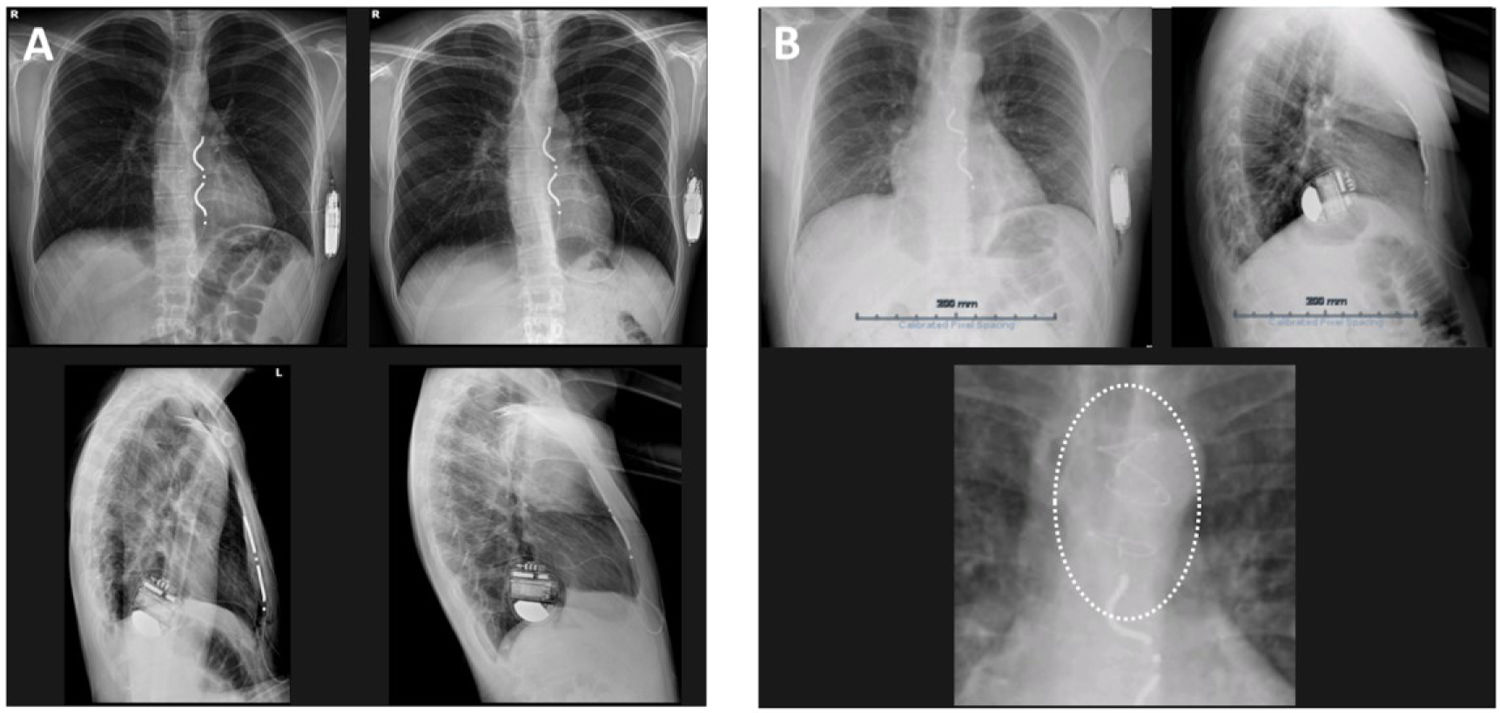
No lead migration, sensing failure, or battery-related issues were observed. Impedance trends and R-wave amplitudes remained stable. Chest x-rays at follow-up confirmed unchanged or minimally changed lead trajectory and generator positioning (Figure 4).
Chest X-ray imaging at follow-up. (A) Anteroposterior and left lateral thoracic radiographs obtained at discharge (images on the left) and at three-month follow-up, confirming unchanged lead trajectory and generator positioning. (B) This patient had a previous partial sternotomy from a previous surgery to remove a thymoma and was selected for an EV-ICD. The chest X-ray shows a minor tilting of the lead towards the right side that did not affect the final parameters.
The introduction of the EV-ICD in clinical practice represents a significant evolution in the field of device-based prevention of sudden cardiac death. By combining the non-intracardiac advantages of subcutaneous systems with selective pacing capabilities, the EV-ICD seeks to fill a long-standing therapeutic gap.1 Our early clinical experience provides real-world insights into the feasibility, safety, and challenges of this novel system in a selected cohort of patients managed by a multidisciplinary team composed of cardiology, cardiac surgery, anesthesiology, nursing team and professionals from cardiopneumology and radiology.
All procedures were successfully completed, with no intraoperative complications, validating the feasibility of EV-ICD implantation when performed by trained operators. These results mirror the findings from the Pivotal study, where implant success was achieved in 90.6% of the 356 enrolled patients.6 Importantly, the retrosternal lead placement was possible in all selected patients without the need for advanced imaging beyond standard fluoroscopy, demonstrating the practical adaptability of this system in real-life settings.
Implantations were performed in a dedicated electrophysiology laboratory, with a cardiac surgeon actively involved in the procedure. No case required surgical conversion or the use of a dedicated cardiac surgery operating room, raising the question of whether the procedure could be safely performed in non-surgical centers once sufficient experience and training protocols are established.
Procedure duration and fluoroscopy times were consistent with the early phase of the learning curve. As noted in recent studies, fluoroscopy time tends to decrease as operator experience increases and anatomical familiarity improves. Our mean fluoroscopy time of 3.9 minutes is lower compared to values reported in the Pivotal study (mean 5.8 minutes),6 supporting the reproducibility of the technique.
The defibrillation success rate in our series was 100%, with ten patients converted with a single 30 J shock and one requiring escalation to 40 J. In this patient, we did not identify any anatomical or procedural abnormalities and the lead and shock vector position were adequate. This event was attributed to individual variability in thoracic impedance rather than device- or anatomy-related factors. These results are aligned with previously published DFT data,6,7 where the average successful DFT was 33.4 J, and >98% of patients were successfully converted with ≤40 J. Notably, the lower DFT requirements of the EV-ICD compared to the S-ICD may offer enhanced safety margins, particularly in patients with larger body habitus or elevated thoracic impedance.
Our experience confirms the reliable delivery of shock therapy through the retrosternal vector, which offers an anatomically favorable position for current dispersion across both ventricles. None of the patients in our cohort required external backup defibrillation or experienced induction-related complications, reinforcing the acute efficacy and safety of the system.
The first patient in our cohort, a 19-year-old male with arrhythmogenic right ventricular cardiomyopathy, was ineligible for an S-ICD due to screening failure; therefore, the EV-ICD was considered a valuable alternative in this case. Pre-implant screening failure for the S-ICD is not uncommon, especially in patients with hypertrophic cardiomyopathy, due to abnormalities in the T wave.2 Having an entirely extravascular device as an alternative to a conventional transvenous system is a significant achievement, especially for younger patients.
A major concern with any ICD system is the occurrence of inappropriate shocks, which can negatively affect patients’ quality of life, lead to more hospitalizations and in some cohorts even correlate with increased mortality.11 In our study, two out of eleven patients (18%) received an inappropriate shock within the first 3 months, both in contexts previously reported in the literature (sinus tachycardia and myopotentials oversensing).12,13 Both of these patients had a diagnosis of left ventricular non-dilated cardiomyopathy. The first was a 34-year-old man, who was not taking betablockers at the time of the episode due to baseline sinus bradycardia. Post-event adjustments, including initiation of beta-blocker therapy and upward adjustment of the FVT threshold to >214 bpm prevented recurrence of inappropriate therapy. The other patient who received an inappropriate shock was a 37-year-old man who had experienced myopotential oversensing, a situation commonly described but that can pose significant challenges.13 In this case, no lead repositioning was required, and the issue was resolved through reprogramming of sensing parameters and detection algorithms. It is worth noting that conventional provocative maneuvers used in transvenous ICDs to reproduce myopotential interference may not have equivalent diagnostic value in the EV-ICD, due to its retrosternal sensing vector. This highlights the need for future studies to define optimal testing and programming strategies to prevent noncardiac oversensing in this system.
This rate of inappropriate therapy is a major concern, especially when compared to the previously reported rate of 9.7% over a median follow-up of 10.6 months.6 It is important to note that the majority of patients in the Pivotal trial6 had either ischemic (40.5%) or non-ischemic (32.3%) cardiomyopathy and the mean age was considerably higher than that of our cohort (53.8±13.1 versus 36.3±11.3). Our population was younger and the spectrum of pathologies were more often associated with higher rates of inappropriate shocks due to supraventricular tachycardia or oversensing.14
Both episodes underscore several key issues. First, sinus tachycardia can mimic monomorphic VT, especially in patients with relatively narrow QRS complexes and high adrenergic tone. Second, the absence of beta-blocker therapy allows for rapid sinus acceleration, which shortens the time frame in which device algorithms can accurately discriminate. Third, a thorough understanding of oversensing mechanisms in EV-ICDs is needed, including their impact on device performance, patient outcomes, quality of life, and clinical management. Initial programming during the early phase may be conservative, prioritizing sensitivity over specificity. Post-hoc analyses of the Pivotal study6 showed that programming refinements significantly reduced the burden of inappropriate therapy during follow-up.
Nowadays, the EV-ICD incorporates multiple new features to prevent noncardiac oversensing, including three features that discriminate noncardiac signals from VT/VF after rate (interval) and duration (number of intervals to detect) criteria are satisfied.12
Our experience reinforces the critical importance of individualized programming in EV-ICD recipients, especially in the early learning curve phase. At least one of the inappropriate therapies in our series could have likely been avoided with the prescription of betablockers and a slightly higher VT threshold. Programming strategies should balance sensitivity to true arrhythmias with specificity to avoid sinus and supraventricular misclassification and oversensing of noncardiac signals.
When compared to early S-ICD inappropriate shock rates of up to 13%,15,16 the EV-ICD appears to perform favorably, particularly when modern discrimination algorithms are applied.12 As the S-ICD evolved, the rate of inappropriate therapy dropped to as low as 3.1% at 1 year17 and a similar trajectory could be expected for the extravascular model. Nevertheless, optimal device function depends not only on contemporary programming and algorithmic filtering but also on physiological rate control. Hence, beta-blockers should be strongly considered in patients with high adrenergic tone. Also, we emphasize the need for future studies that address the performance of EV-ICD sensing in younger and more challenging cohorts.
In this series of eleven patients, no procedural complications, lead dislodgement, infections or system revisions occurred during follow-up. The absence of systemic infections or need for lead extraction is an advantage shared with the S-ICD and reinforces the value of extravascular systems in select populations.18,19
Radiographic follow-up showed excellent lead stability, with no observed major migration or impedance drift, supporting the mechanical integrity of the retrosternal lead placement. A minor posterior tilting of the lead and a small shifting to the right side, as noted in two patients, did not compromise the stability of the parameters, in line with previous descriptions.20 Generator positioning in the subcutaneous pocket remained optimal and well tolerated by patients, as reported earlier.21,22
LimitationsThis study has various limitations. First, the sample size is small. Second, the follow-up period is relatively short (three months), and long-term performance, battery longevity, and lead survival remain unknown. Third, procedural metrics may have been influenced by operator learning curves, and results may differ in centers without structured training or proctoring. Nevertheless, this report represents one of the earliest real-world experiences with the EV-ICD system. While the small sample size and short follow-up period limit the generalizability of the results, the early nature of this series is a strength, offering valuable practical insights for centers initiating this technology and highlighting key technical and clinical considerations relevant for broader adoption.
ConclusionsImplantation of the EV-ICD is feasible and safe, making it a clinically valid option in selected patients with varied arrhythmic substrates. The system demonstrated high procedural success, effective defibrillation thresholds and stable sensing parameters during short-term follow-up. No major procedural complications occurred. The elevated rate of inappropriate therapy remains a concern and requires future studies addressing the performance of EV-ICD sensing in younger and more challenging cohorts.
This report provides important real-world insight into the practical implementation of EV-ICD technology. Studies with larger populations and longer follow-up will be essential to fully understand the long-term durability, complication profile and patient-reported outcomes associated with this novel therapy.
Conflict of interestThe authors have reported that they have no relationships relevant to the contents of this paper to disclose.









